Skip to main content

LZTS2 Antibody - BSA Free

Novus Biologicals, part of Bio-Techne | Catalog # NBP2-41152

Novus Biologicals, part of Bio-Techne

Key Product Details

Species Reactivity

Validated:

Human, Mouse

Predicted:

Bovine (95%), Rat (95%). Backed by our 100% Guarantee.

Applications

Immunohistochemistry, Immunohistochemistry-Paraffin, Western Blot, ELISA, Immunocytochemistry/ Immunofluorescence

Label

Unconjugated

Antibody Source

Polyclonal Rabbit IgG

Format

BSA Free

Concentration

1 mg/ml

Product Specifications

Immunogen

Antibody was raised against a 19 amino acid synthetic peptide near the amino terminus of human LZTS2. The immunogen is located within amino acids 80 - 130 of LZTS2. Amino Acid Squence: INEDFRTESPPSPSSDVED

Specificity

LZTS2 antibody is predicted to not cross-react with other LZTS family members

Clonality

Polyclonal

Host

Rabbit

Isotype

IgG

Description

Novus Biologicals Rabbit LZTS2 Antibody - BSA Free (NBP2-41152) is a polyclonal antibody validated for use in IHC, WB, ELISA and ICC/IF. All Novus Biologicals antibodies are covered by our 100% guarantee.

Scientific Data Images for LZTS2 Antibody - BSA Free

Western Blot: LZTS2 AntibodyBSA Free [NBP2-41152]

Western Blot: LZTS2 AntibodyBSA Free [NBP2-41152]

Western Blot: LZTS2 Antibody [NBP2-41152] - Analysis of LZTS2 in human kidney tissue lysate with LZTS2 antibody at 1 ug/mL.
Immunohistochemistry-Paraffin: LZTS2 Antibody - BSA Free [NBP2-41152]

Immunohistochemistry-Paraffin: LZTS2 Antibody - BSA Free [NBP2-41152]

Immunohistochemistry-Paraffin: LZTS2 Antibody [NBP2-41152] - Human kidney tissue with LZTS2 antibody at 2.5 ug/mL.

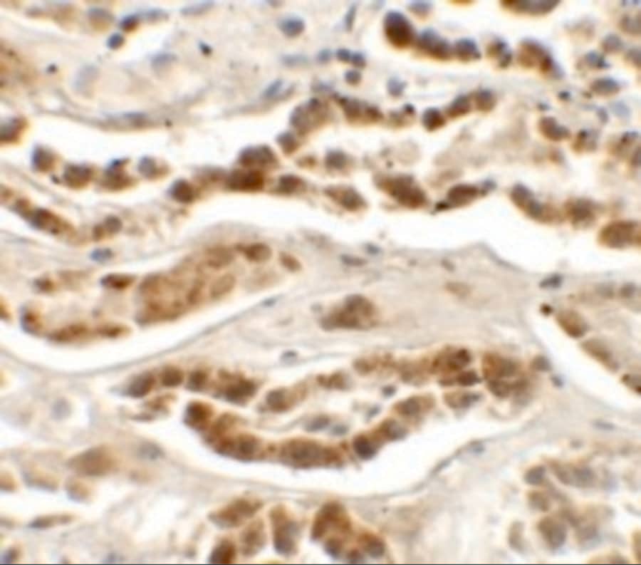
Immunohistochemistry: LZTS2 Antibody [NBP2-41152] -

Immunohistochemistry: LZTS2 Antibody [NBP2-41152] - Human kidney tissue with LZTS2 antibody at 20 ug/mL.

Applications for LZTS2 Antibody - BSA Free

Application
Recommended Usage

Immunocytochemistry/ Immunofluorescence

20 ug/mL

Immunohistochemistry

2.5 ug/ml

Immunohistochemistry-Paraffin

2.5 ug/ml

Western Blot

1 ug/ml

Formulation, Preparation, and Storage

Purification

Peptide affinity purified

Formulation

PBS

Format

BSA Free

Preservative

0.02% Sodium Azide

Concentration

1 mg/ml

Shipping

The product is shipped with polar packs. Upon receipt, store it immediately at the temperature recommended below.

Stability & Storage

Store at 4C short term. Aliquot and store at -20C long term. Avoid freeze-thaw cycles.

Background: LZTS2

LZTS2, also known as leucine zipper putative tumor suppressor 2, is a 72.8 kDa, 669 amino acid protein that is involved in formation of the central spindle during cytokinesis. Current research is being conducted to link the protein to diseases such as ataxia, breast cancer, prostatitis, and Alzheimer's disease. The protein interacts in mitosis and cell division pathways with other proteins such as NINL, CCDC85B, RHOXF2, RBPMS, and ZNF512B.

Alternate Names

hLZTS2, KIAA1813leucine zipper putative tumor suppressor 2, LAPSER1Protein LAPSER1, leucine zipper, putative tumor suppressor 2

Gene Symbol

LZTS2

Additional LZTS2 Products

Product Documents for LZTS2 Antibody - BSA Free

Certificate of Analysis

To download a Certificate of Analysis, please enter a lot number in the search box below.

Product Specific Notices for LZTS2 Antibody - BSA Free

This product is for research use only and is not approved for use in humans or in clinical diagnosis. Primary Antibodies are guaranteed for 1 year from date of receipt.

Loading...
Loading...
Loading...
Loading...