Skip to main content

LZTS1 Antibody - BSA Free

Novus Biologicals, part of Bio-Techne | Catalog # NBP1-83908

Novus Biologicals, part of Bio-Techne
Catalog #
Availability
Size / Price
Qty
Loading...
NBP1-83908
NBP1-83908-25ul

Key Product Details

Species Reactivity

Human

Applications

Immunohistochemistry, Immunohistochemistry-Paraffin, Western Blot, Immunocytochemistry/ Immunofluorescence

Label

Unconjugated

Antibody Source

Polyclonal Rabbit IgG

Format

BSA Free

Concentration

Concentrations vary lot to lot. See vial label for concentration. If unlisted please contact technical services.

Product Specifications

Immunogen

This antibody was developed against Recombinant Protein corresponding to amino acids: TEVNAKASEILGLKAQLKDTRGKLEGLELRTQDLEGALRTKGLELEVCENELQRKKNEAELLREKVNLLEQELQELRAQAALARDMGPPTFPEDVPALQRELERLRAELREERQGHDQMSSGFQHERLVWKE

Reactivity Notes

Immunogen displays the following percentage of sequence identity for non-tested species: Mouse (85%), Rat (86%)

Clonality

Polyclonal

Host

Rabbit

Isotype

IgG

Description

Novus Biologicals Rabbit LZTS1 Antibody - BSA Free (NBP1-83908) is a polyclonal antibody validated for use in IHC, WB and ICC/IF. All Novus Biologicals antibodies are covered by our 100% guarantee.

Scientific Data Images for LZTS1 Antibody - BSA Free

Immunocytochemistry/ Immunofluorescence: LZTS1 Antibody [NBP1-83908]

Immunocytochemistry/ Immunofluorescence: LZTS1 Antibody [NBP1-83908]

Immunocytochemistry/Immunofluorescence: LZTS1 Antibody [NBP1-83908] - Immunofluorescent staining of human cell line SK-MEL-30 shows localization to plasma membrane.
LZTS1 Antibody - BSA Free Immunohistochemistry-Paraffin: LZTS1 Antibody - BSA Free [NBP1-83908]

Immunohistochemistry-Paraffin: LZTS1 Antibody - BSA Free [NBP1-83908]

Staining of human cerebral cortex shows strong cytoplasmic positivity in neurons.
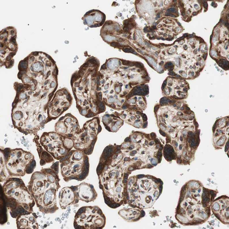
LZTS1 Antibody - BSA Free Immunohistochemistry-Paraffin: LZTS1 Antibody - BSA Free [NBP1-83908]

Immunohistochemistry-Paraffin: LZTS1 Antibody - BSA Free [NBP1-83908]

Staining of human placenta shows strong cytoplasmic positivity in trophoblastic cells.

Applications for LZTS1 Antibody - BSA Free

Application
Recommended Usage

Immunocytochemistry/ Immunofluorescence

0.25-2 ug/ml

Immunohistochemistry

1:200 - 1:500

Immunohistochemistry-Paraffin

1:200-1:500

Western Blot

0.04-0.4 ug/ml
Application Notes
For IHC-Paraffin, HIER pH 6 retrieval is recommended. Immunocytochemistry/Immunofluorescence Fixation Permeabilization: Use PFA/Triton X-100.

Formulation, Preparation, and Storage

Purification

Affinity purified

Formulation

PBS (pH 7.2) and 40% Glycerol

Format

BSA Free

Preservative

0.02% Sodium Azide

Concentration

Concentrations vary lot to lot. See vial label for concentration. If unlisted please contact technical services.

Shipping

The product is shipped with polar packs. Upon receipt, store it immediately at the temperature recommended below.

Stability & Storage

Store at 4C short term. Aliquot and store at -20C long term. Avoid freeze-thaw cycles.

Background: LZTS1

LZTS1, also known as leucine zipper putative tumor suppressor 1, consists of seven isoforms of sizes 66.6 kDa, 63.8 kDa, 62.9 kDa, 59.8 kDa, 55.6 kDa, 22.5 kDa, and 8.6 kDa and is involved in suppressing tumors by regulating cell growth. Diseases and disorder such as breast cancer, ovarian cancer, melanoma, esophagitis, squamous cell carcinoma, lung cancer, and prostatitis are being researched with the protein. The protein interacts in transcription, gene expression, and RNA Polymerase III transcription initiation pathways with CDK1, GTF3A, CDC25C, EEF1G, and GTF3C1.

Alternate Names

F37, F37/esophageal cancer-related gene-coding leucine-zipper motifFez1, FEZ1leucine zipper putative tumor suppressor 1, leucine zipper, putative tumor suppressor 1

Gene Symbol

LZTS1

Additional LZTS1 Products

Product Documents for LZTS1 Antibody - BSA Free

Certificate of Analysis

To download a Certificate of Analysis, please enter a lot number in the search box below.

Product Specific Notices for LZTS1 Antibody - BSA Free

This product is for research use only and is not approved for use in humans or in clinical diagnosis. Primary Antibodies are guaranteed for 1 year from date of receipt.

Loading...
Loading...
Loading...
Loading...