Skip to main content

Lysyl Oxidase Homolog 2/LOXL2 Antibody (2E5) - BSA Free

Novus Biologicals, part of Bio-Techne | Catalog # NBP3-26165

Recombinant monoclonal antibody expressed in HEK293F cells
Novus Biologicals, part of Bio-Techne
Catalog #
Availability
Size / Price
Qty
Loading...
NBP3-26165-100ul
NBP3-26165-50ul

Key Product Details

Species Reactivity

Human, Mouse, Rat

Applications

ELISA, Flow Cytometry, Immunocytochemistry/ Immunofluorescence, Immunohistochemistry, Western Blot

Label

Unconjugated

Antibody Source

Recombinant Monoclonal Rabbit IgG Clone # 2E5 expressed in HEK293

Format

BSA Free

Concentration

Please see the vial label for concentration. If unlisted please contact technical services.

Product Specifications

Immunogen

A synthesized peptide derived from Human Lysyl Oxidase Homolog 2/LOXL2 [UniProt Q9Y4K0]

Clonality

Monoclonal

Host

Rabbit

Isotype

IgG

Description

Novus Biologicals Rabbit Lysyl Oxidase Homolog 2/LOXL2 Antibody (2E5) - BSA Free (NBP3-26165) is a recombinant monoclonal antibody validated for use in IHC, WB, ELISA, Flow and ICC/IF. All Novus Biologicals antibodies are covered by our 100% guarantee.

Scientific Data Images for Lysyl Oxidase Homolog 2/LOXL2 Antibody (2E5) - BSA Free

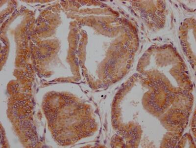
Lysyl Oxidase Homolog 2/LOXL2 Antibody (2E5)

Immunohistochemistry: Lysyl Oxidase Homolog 2/LOXL2 Antibody (2E5) [NBP3-26165] -

Immunohistochemistry: Lysyl Oxidase Homolog 2/LOXL2 Antibody (2E5) [NBP3-26165] - Image of Lysyl Oxidase Homolog 2/LOXL2 Antibody (2E5) diluted at 1:100 and staining in paraffin-embedded human prostate tissue performed. After dewaxing and hydration, antigen retrieval was mediated by high pressure in a citrate buffer (pH 6.0). Section was blocked with 10% normal goat serum 30min at RT. Then primary antibody (1% BSA) was incubated at 4C overnight. The primary is detected by a Goat anti-rabbit IgG polymer labeled by HRP and visualized using 0.05% DAB.
Lysyl Oxidase Homolog 2/LOXL2 Antibody (2E5)

Immunohistochemistry: Lysyl Oxidase Homolog 2/LOXL2 Antibody (2E5) [NBP3-26165] -

Immunohistochemistry: Lysyl Oxidase Homolog 2/LOXL2 Antibody (2E5) [NBP3-26165] - Image of Lysyl Oxidase Homolog 2/LOXL2 Antibody (2E5) diluted at 1:100 and staining in paraffin-embedded human prostate tissue performed. After dewaxing and hydration, antigen retrieval was mediated by high pressure in a citrate buffer (pH 6.0). Section was blocked with 10% normal goat serum 30min at RT. Then primary antibody (1% BSA) was incubated at 4C overnight. The primary is detected by a Goat anti-rabbit IgG polymer labeled by HRP and visualized using 0.05% DAB.
Lysyl Oxidase Homolog 2/LOXL2 Antibody (2E5)

Western Blot: Lysyl Oxidase Homolog 2/LOXL2 Antibody (2E5) [NBP3-26165] -

Western Blot: Lysyl Oxidase Homolog 2/LOXL2 Antibody (2E5) [NBP3-26165] - Positive Western Blot detected in: MCF-7 whole cell lysate, PC3 whole cell lysate, Mouse brain tissue, Rat brain tissue.
All lanes: Lysyl Oxidase Homolog 2/LOXL2 Antibody at 1:2000
Secondary: Goat polyclonal to rabbit IgG at 1/50000 dilution.
Predicted band size: 87 kDa
Observed band size: 53 kDa

Applications for Lysyl Oxidase Homolog 2/LOXL2 Antibody (2E5) - BSA Free

Application
Recommended Usage

Flow Cytometry

1:20-1:200

Immunocytochemistry/ Immunofluorescence

1:20-1:200

Immunohistochemistry

1:50-1:200

Western Blot

1:500-1:5000

Formulation, Preparation, and Storage

Purification

Affinity purified

Formulation

PBS, pH 7.4, 150mM NaCl, and 50% glycerol

Format

BSA Free

Preservative

0.02% Sodium Azide

Concentration

Please see the vial label for concentration. If unlisted please contact technical services.

Shipping

The product is shipped with polar packs. Upon receipt, store it immediately at the temperature recommended below.

Stability & Storage

Store at -20 to -70C. Avoid freeze-thaw cycles.

Background: Lysyl Oxidase Homolog 2/LOXL2

LOXL2 encodes a member of the lysyl oxidase gene family. The prototypic member of the family is essential to the biogenesis of connective tissue, encoding an extracellular copper-dependent amine oxidase that catalyses the first step in the formation of crosslinks in collagens and elastin. A highly conserved amino acid sequence at the C-terminus end appears to be sufficient for amine oxidase activity, suggesting that each family member may retain this function. The N-terminus is poorly conserved and may impart additional roles in developmental regulation, senescence, tumor suppression, cell growth control, and chemotaxis to each member of the family. [provided by RefSeq]

Alternate Names

LOL2, LOXL2

Gene Symbol

LOXL2

Additional Lysyl Oxidase Homolog 2/LOXL2 Products

Product Documents for Lysyl Oxidase Homolog 2/LOXL2 Antibody (2E5) - BSA Free

Certificate of Analysis

To download a Certificate of Analysis, please enter a lot number in the search box below.

Product Specific Notices for Lysyl Oxidase Homolog 2/LOXL2 Antibody (2E5) - BSA Free

This product is for research use only and is not approved for use in humans or in clinical diagnosis. Primary Antibodies are guaranteed for 1 year from date of receipt.

Loading...
Loading...
Loading...
Loading...
Loading...