Skip to main content

Lysozyme Antibody (LYZ/3942)

Novus Biologicals, part of Bio-Techne | Catalog # NBP3-13961

Novus Biologicals, part of Bio-Techne
Catalog #
Availability
Size / Price
Qty
Loading...
NBP3-13961-100ug
NBP3-13961-20ug

Key Product Details

Species Reactivity

Human

Applications

Immunohistochemistry-Paraffin, Western Blot, Protein Array

Label

Unconjugated

Antibody Source

Monoclonal Mouse IgG2b Kappa Clone # LYZ/3942

Concentration

0.2 mg/ml

Product Specifications

Immunogen

Recombinant fragment of human Lysozyme protein (around aa 18-147) (exact sequence is proprietary) (Uniprot: P61626)

Localization

Secreted

Specificity

Lysozyme is an enzyme, commonly referred to as the body s own antibiotic since it kills bacteria. Natural substrate of lysozyme is the bacterial cell wall peptidoglycan (cleaving the beta[1-4]glycosidic linkages between N-acetylmuramic acid and N-acetylglucosamine). Lysozyme is one of the antimicrobial agents found in human milk, and is also present in spleen, lung, kidney, white blood cells, plasma, saliva, and tears. The protein has antibacterial activity against a number of bacterial species. Lysozyme is synthesized predominantly in reactive histiocytes rather than in resting, unstimulated phagocytes. This antibody labels myeloid cells, histiocytes, granulocytes, macrophages and monocytes. It is helpful in the identification of myeloid or monocytic nature of acute leukemia.

Marker

Histiocytoma & Monocytic Acute Leukemia Marker

Clonality

Monoclonal

Host

Mouse

Isotype

IgG2b Kappa

Theoretical MW

17 kDa.
Disclaimer note: The observed molecular weight of the protein may vary from the listed predicted molecular weight due to post translational modifications, post translation cleavages, relative charges, and other experimental factors.

Description

200ug/ml of antibody purified from Bioreactor Concentrate by Protein A or G. Prepared in 10 mM PBS with 0.05% BSA & 0.05% azide. Also available WITHOUT BSA & azide at 1.0 mg/ml. (NBP3-14114)

Antibody with azide - store at 2 to 8C. Antibody without azide - store at -20 to -80 C.

Scientific Data Images for Lysozyme Antibody (LYZ/3942)

Western Blot: Lysozyme Antibody (LYZ/3942) [NBP3-13961]

Western Blot: Lysozyme Antibody (LYZ/3942) [NBP3-13961]

Western Blot: Lysozyme Antibody (LYZ/3942) [NBP3-13961] - Western blot analysis of human spleen tissue and HepG2 cell lysates using Lysozyme Antibody (LYZ/3942).
Immunohistochemistry-Paraffin: Lysozyme Antibody (LYZ/3942) [NBP3-13961]

Immunohistochemistry-Paraffin: Lysozyme Antibody (LYZ/3942) [NBP3-13961]

Immunohistochemistry-Paraffin: Lysozyme Antibody (LYZ/3942) [NBP3-13961] - Formalin-fixed, paraffin-embedded human tonsil stained with Lysozyme antibody (LYZ/3942).
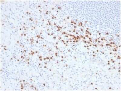
Immunohistochemistry-Paraffin: Lysozyme Antibody (LYZ/3942) [NBP3-13961]

Immunohistochemistry-Paraffin: Lysozyme Antibody (LYZ/3942) [NBP3-13961]

Immunohistochemistry-Paraffin: Lysozyme Antibody (LYZ/3942) [NBP3-13961] - Formalin-fixed, paraffin-embedded human spleen stained with Lysozyme antibody (LYZ/3942). Inset: PBS instead of primary antibody; secondary only negative control.

Applications for Lysozyme Antibody (LYZ/3942)

Application
Recommended Usage

Immunohistochemistry-Paraffin

1-2 ug/ml

Western Blot

1-2 ug/ml
Application Notes
Immunohistochemistry (Formalin-fixed): 1-2ug/ml for 30 minutes at RT. Staining of formalin-fixed tissues requires heating tissue sections in 10mM Tris with 1mM EDTA, pH 9.0, for 45 min at 95C followed by cooling at RT for 20 minutes

Formulation, Preparation, and Storage

Purification

Protein A or G purified

Formulation

10 mM PBS with 0.05% BSA

Preservative

0.05% Sodium Azide

Concentration

0.2 mg/ml

Shipping

The product is shipped with polar packs. Upon receipt, store it immediately at the temperature recommended below.

Stability & Storage

Store at 4C.

Background: Lysozyme

Lysozyme catalyzes the hydrolysis of certain mucopolysaccharides of bacterial cell walls. Specifically, it catalyzes the hydrolysis of the bacterial cell wall beta glycosidic linkages between N acetylmuramic acid and N acetylglucosamine. It is found in spleen, lung, kidney, white blood cells, plasma, saliva, milk, and tears.

Alternate Names

EC 3.2.1.17, lysozyme, lysozyme (renal amyloidosis)1,4-beta-N-acetylmuramidase C, lysozyme C, LZM, renal amyloidosis

Gene Symbol

LYZ

UniProt

Additional Lysozyme Products

Product Documents for Lysozyme Antibody (LYZ/3942)

Certificate of Analysis

To download a Certificate of Analysis, please enter a lot number in the search box below.

Product Specific Notices for Lysozyme Antibody (LYZ/3942)

This product is for research use only and is not approved for use in humans or in clinical diagnosis. Primary Antibodies are guaranteed for 1 year from date of receipt.

Loading...
Loading...
Loading...
Loading...