Skip to main content

LYRM7 Antibody - BSA Free

Novus Biologicals, part of Bio-Techne | Catalog # NBP2-14701

Novus Biologicals, part of Bio-Techne
Catalog #
Availability
Size / Price
Qty
Loading...
NBP2-14701-25ul
NBP2-14701

Key Product Details

Species Reactivity

Validated:

Human

Cited:

Human

Applications

Validated:

Immunohistochemistry, Immunohistochemistry-Paraffin

Cited:

Western Blot

Label

Unconjugated

Antibody Source

Polyclonal Rabbit IgG

Format

BSA Free

Concentration

Concentrations vary lot to lot. See vial label for concentration. If unlisted please contact technical services.

Product Specifications

Immunogen

This antibody was developed against a recombinant protein corresponding to the amino acids: KTLHRTRQQVFKNDARALEAARIKINEEFKNNKSETSSKKIEELMKIGSDVELLLRTSVIQGIHTDHNTLKLVPRKDLLVENVPYCDAPTQKQ

Reactivity Notes

Immunogen displays the following percentage of sequence identity for non-tested species: Mouse (85%), Rat (85%).

Clonality

Polyclonal

Host

Rabbit

Isotype

IgG

Scientific Data Images for LYRM7 Antibody - BSA Free

Immunohistochemistry-Paraffin: LYRM7 Antibody [NBP2-14701]

Immunohistochemistry-Paraffin: LYRM7 Antibody [NBP2-14701]

Immunohistochemistry-Paraffin: LYRM7 Antibody [NBP2-14701] - Staining of human Testis shows strong granular cytoplasmic positivity in cells in seminiferous ducts and Leydig cells.
Immunohistochemistry-Paraffin: LYRM7 Antibody [NBP2-14701]

Immunohistochemistry-Paraffin: LYRM7 Antibody [NBP2-14701]

Immunohistochemistry-Paraffin: LYRM7 Antibody [NBP2-14701] - Staining of human Cerebral cortex shows moderate granular cytoplasmic positivity in neuronal cells.
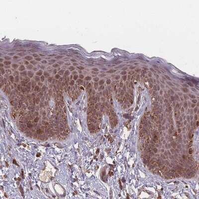
Immunohistochemistry-Paraffin: LYRM7 Antibody [NBP2-14701]

Immunohistochemistry-Paraffin: LYRM7 Antibody [NBP2-14701]

Immunohistochemistry-Paraffin: LYRM7 Antibody [NBP2-14701] - Staining of human Skin shows moderate granular cytoplasmic positivity in squamous epithelial cells.

Applications for LYRM7 Antibody - BSA Free

Application
Recommended Usage

Immunohistochemistry

1:50 - 1:200

Immunohistochemistry-Paraffin

1:50 - 1:200
Application Notes
For IHC-Paraffin, HIER pH 6 retrieval is recommended.

Formulation, Preparation, and Storage

Purification

Affinity purified

Formulation

PBS (pH 7.2) and 40% Glycerol

Format

BSA Free

Preservative

0.02% Sodium Azide

Concentration

Concentrations vary lot to lot. See vial label for concentration. If unlisted please contact technical services.

Shipping

The product is shipped with polar packs. Upon receipt, store it immediately at the temperature recommended below.

Stability & Storage

Store at 4C short term. Aliquot and store at -20C long term. Avoid freeze-thaw cycles.

Background: LYRM7

Alternate Names

C5orf31, LYRM7 Lyrm7 homolog (mouse)

Gene Symbol

LYRM7

Additional LYRM7 Products

Product Documents for LYRM7 Antibody - BSA Free

Certificate of Analysis

To download a Certificate of Analysis, please enter a lot number in the search box below.

Product Specific Notices for LYRM7 Antibody - BSA Free

This product is for research use only and is not approved for use in humans or in clinical diagnosis. Primary Antibodies are guaranteed for 1 year from date of receipt.

Loading...
Loading...
Loading...
Loading...
Loading...