Skip to main content

LYAG/GAA Antibody - BSA Free

Novus Biologicals, part of Bio-Techne | Catalog # NBP2-48576

Novus Biologicals, part of Bio-Techne
Catalog #
Availability
Size / Price
Qty
Loading...
NBP2-48576
NBP2-48576-25ul

Key Product Details

Species Reactivity

Human

Applications

Immunohistochemistry, Immunohistochemistry-Paraffin

Label

Unconjugated

Antibody Source

Polyclonal Rabbit IgG

Format

BSA Free

Concentration

Concentrations vary lot to lot. See vial label for concentration. If unlisted please contact technical services.

Product Specifications

Immunogen

This antibody was developed against a recombinant protein corresponding to amino acids: SSEMGYTATLTRTTPTFFPKDILTLRLDVMMETENRLHFTIKDPANRRYEVPLETPHVHSRAPSPLYSVEFSEEPFGVIVRRQLDGRVLLNTTVAPLFFADQFLQLSTS

Reactivity Notes

Mouse (84%)

Clonality

Polyclonal

Host

Rabbit

Isotype

IgG

Description

Novus Biologicals Rabbit LYAG/GAA Antibody - BSA Free (NBP2-48576) is a polyclonal antibody validated for use in IHC. All Novus Biologicals antibodies are covered by our 100% guarantee.

Scientific Data Images for LYAG/GAA Antibody - BSA Free

LYAG/GAA Antibody - BSA Free Immunohistochemistry-Paraffin: GREB1 Antibody [NBP2-48576]

Immunohistochemistry-Paraffin: GREB1 Antibody [NBP2-48576]

Staining of human epididymis shows strong granular cytoplasmic positivity in glandular cells.
LYAG/GAA Antibody - BSA Free Immunohistochemistry-Paraffin: LYAG/GAA Antibody - BSA Free [NBP2-48576]

Immunohistochemistry-Paraffin: LYAG/GAA Antibody - BSA Free [NBP2-48576]

Staining of human pancreas shows strong cytoplasmic granular positivity in islets of Langerhans.
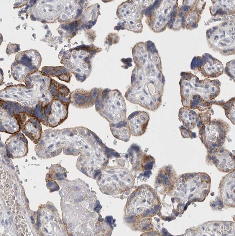
LYAG/GAA Antibody - BSA Free Immunohistochemistry-Paraffin: LYAG/GAA Antibody - BSA Free [NBP2-48576]

Immunohistochemistry-Paraffin: LYAG/GAA Antibody - BSA Free [NBP2-48576]

Staining of human placenta shows moderate granular cytoplasmic positivity in trophoblastic cells.

Applications for LYAG/GAA Antibody - BSA Free

Application
Recommended Usage

Immunohistochemistry

1:20 - 1:50

Immunohistochemistry-Paraffin

1:20 - 1:50
Application Notes
For IHC-Paraffin, HIER pH 6 retrieval is recommended.

Formulation, Preparation, and Storage

Purification

Affinity purified

Formulation

PBS (pH 7.2) and 40% Glycerol

Format

BSA Free

Preservative

0.02% Sodium Azide

Concentration

Concentrations vary lot to lot. See vial label for concentration. If unlisted please contact technical services.

Shipping

The product is shipped with polar packs. Upon receipt, store it immediately at the temperature recommended below.

Stability & Storage

Store at 4C short term. Aliquot and store at -20C long term. Avoid freeze-thaw cycles.

Background: Lysosomal alpha-Glucosidase

GAA encodes acid alpha-glucosidase, which is essential for the degradation of glycogen to glucose in lysosomes. Different forms of acid alpha-glucosidase are obtained by proteolytic processing. Defects in this gene are the cause of glycogen storage disease II, also known as Pompe's disease, which is an autosomal recessive disorder with a broad clinical spectrum. Three transcript variants encoding the same protein have been found for this gene. [provided by RefSeq]

Long Name

Glucosidase, Alpha; Acid

Alternate Names

Acid alpha-Glucosidase, Acid Maltase, GAA, LYAG, Lysosomal alphaGlucosidase

Gene Symbol

GAA

Additional Lysosomal alpha-Glucosidase Products

Product Documents for LYAG/GAA Antibody - BSA Free

Certificate of Analysis

To download a Certificate of Analysis, please enter a lot number in the search box below.

Product Specific Notices for LYAG/GAA Antibody - BSA Free

This product is for research use only and is not approved for use in humans or in clinical diagnosis. Primary Antibodies are guaranteed for 1 year from date of receipt.

Loading...
Loading...
Loading...
Loading...