Skip to main content

LYAG/GAA Antibody - BSA Free

Novus Biologicals, part of Bio-Techne | Catalog # NBP1-69295

Novus Biologicals, part of Bio-Techne
Catalog #
Availability
Size / Price
Qty
Loading...
NBP1-69295

Key Product Details

Species Reactivity

Human

Applications

Immunohistochemistry, Immunohistochemistry-Paraffin, Western Blot, Immunocytochemistry/ Immunofluorescence

Label

Unconjugated

Antibody Source

Polyclonal Rabbit IgG

Format

BSA Free

Concentration

0.5 mg/ml

Product Specifications

Immunogen

Synthetic peptides corresponding to GAA(glucosidase, alpha; acid ) The peptide sequence was selected from the N terminal of GAA. Peptide sequence FGVIVRRQLDGRVLLNTTVAPLFFADQFLQLSTSLPSQYITGLAEHLSPL. The peptide sequence for this immunogen was taken from within the described region.

Clonality

Polyclonal

Host

Rabbit

Isotype

IgG

Theoretical MW

98 kDa.
Disclaimer note: The observed molecular weight of the protein may vary from the listed predicted molecular weight due to post translational modifications, post translation cleavages, relative charges, and other experimental factors.

Description

The addition of 50% glycerol is optional for those storing this antibody at -20C and not aliquoting smaller units. However, please note that glycerol may interrupt some downstream antibody applications and should be added with caution.

Scientific Data Images for LYAG/GAA Antibody - BSA Free

Immunocytochemistry/ Immunofluorescence: LYAG/GAA Antibody [NBP1-69295]

Immunocytochemistry/ Immunofluorescence: LYAG/GAA Antibody [NBP1-69295]

Immunocytochemistry/Immunofluorescence: LYAG/GAA Antibody [NBP1-69295] - LYAG was probed in human fibroblasts fixed with 4% PFA. Cells were permeabilized and blocked in 0.1% Tween and 1% Bovine serum albumin. Anti-LYAG was incubated overnight at 4C in PBS with 0.1% Tween and 1% Bovine serum albumin. Secondary antibody was anti-rabbit conjugated to Alexa Fluor 568. LYAG is shown in green and the nucleus in blue (Hoescht stain). Image is courtesy of customer review.
Western Blot: LYAG/GAA Antibody [NBP1-69295]

Western Blot: LYAG/GAA Antibody [NBP1-69295]

Western Blot: LYAG/GAA Antibody [NBP1-69295] - This Anti-GAA antibody was used in Western Blot of MCF7 tissue lysate at a concentration of 1ug/ml.
LYAG/GAA Antibody - BSA Free

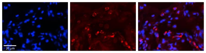
Immunohistochemistry: Rabbit Polyclonal LYAG/GAA Antibody [NBP1-69295] -

Rabbit Anti-LYAG/GAA Antibody
Formalin Fixed Paraffin Embedded Tissue: Human Lung Tissue
Observed Staining: Cytoplasmic in alveolar type I cells
Primary Antibody Concentration: 1:100
Other Working Concentrations: 1/600
Secondary Antibody: Donkey anti-Rabbit-Cy3
Secondary Antibody Concentration: 1:200
Magnification: 20X
Exposure Time: 0.5 - 2.0 sec

Applications for LYAG/GAA Antibody - BSA Free

Application
Recommended Usage

Immunocytochemistry/ Immunofluorescence

1:10-1:500

Immunohistochemistry

1:10-1:500

Western Blot

1.0 ug/ml

Reviewed Applications

Read 1 review rated 3 using NBP1-69295 in the following applications:

Formulation, Preparation, and Storage

Purification

Affinity purified

Formulation

PBS, 2% Sucrose

Format

BSA Free

Preservative

0.09% Sodium Azide

Concentration

0.5 mg/ml

Shipping

The product is shipped with polar packs. Upon receipt, store it immediately at the temperature recommended below.

Stability & Storage

Store at 4C short term. Aliquot and store at -20C long term. Avoid freeze-thaw cycles.

Background: Lysosomal alpha-Glucosidase

GAA is acid alpha-glucosidase, which is essential for the degradation of glycogen to glucose in lysosomes. Different forms of acid alpha-glucosidase are obtained by proteolytic processing. Defects in this gene are the cause of glycogen storage disease II, also known as Pompe's disease, which is an autosomal recessive disorder with a broad clinical spectrum. This gene encodes acid alpha-glucosidase, which is essential for the degradation of glycogen to glucose in lysosomes. Different forms of acid alpha-glucosidase are obtained by proteolytic processing. Defects in this gene are the cause of glycogen storage disease II, also known as Pompe's disease, which is an autosomal recessive disorder with a broad clinical spectrum. Three transcript variants encoding the same protein have been found for this gene.

Long Name

Glucosidase, Alpha; Acid

Alternate Names

Acid alpha-Glucosidase, Acid Maltase, GAA, LYAG, Lysosomal alphaGlucosidase

Entrez Gene IDs

2548 (Human)

Gene Symbol

GAA

UniProt

Additional Lysosomal alpha-Glucosidase Products

Product Documents for LYAG/GAA Antibody - BSA Free

Certificate of Analysis

To download a Certificate of Analysis, please enter a lot number in the search box below.

Product Specific Notices for LYAG/GAA Antibody - BSA Free

This product is for research use only and is not approved for use in humans or in clinical diagnosis. Primary Antibodies are guaranteed for 1 year from date of receipt.

Loading...
Loading...
Loading...
Loading...