Skip to main content

Ly-6G/Ly-6C Antibody (RB6-8C5) - Azide and BSA Free

Novus Biologicals, part of Bio-Techne | Catalog # NBP2-80838

Novus Biologicals, part of Bio-Techne
Catalog #
Availability
Size / Price
Qty
Loading...
NBP2-80838
Forumulation
Catalog #

Key Product Details

Species Reactivity

Mouse

Applications

Immunohistochemistry, Immunohistochemistry-Paraffin, Immunohistochemistry-Frozen, Western Blot, Flow Cytometry, Immunocytochemistry/ Immunofluorescence, Immunoprecipitation, In vivo assay, CyTOF-ready

Label

Unconjugated

Antibody Source

Monoclonal Rat IgG2b Kappa Clone # RB6-8C5

Format

Azide and BSA Free

Concentration

1 mg/ml

Product Specifications

Immunogen

Normal mouse bone marrow.

Clonality

Monoclonal

Host

Rat

Isotype

IgG2b Kappa

Description

Novus Biologicals Rat Ly-6G/Ly-6C Antibody (RB6-8C5) - Azide and BSA Free (NBP2-00441) is a monoclonal antibody validated for use in IHC, WB, Flow, ICC/IF and IP. All Novus Biologicals antibodies are covered by our 100% guarantee.

Scientific Data Images for Ly-6G/Ly-6C Antibody (RB6-8C5) - Azide and BSA Free

Immunohistochemistry-Paraffin: Ly-6G/Ly-6C Antibody (RB6-8C5) - Azide and BSA Free [NBP2-80838]

Immunohistochemistry-Paraffin: Ly-6G/Ly-6C Antibody (RB6-8C5) - Azide and BSA Free [NBP2-80838]

Immunohistochemistry-Paraffin: Ly-6G/Ly-6C Antibody (RB6-8C5) - Azide and BSA Free [NBP2-80838] - Analysis of a FFPE tissue section of mouse bone marrow using 1:200 dilution of Lot A-1 of Ly-6G antibody (clone RB6-8C5). The antibody generated specific staining in a subset of cells in the tested section. The neutrophils (identifiable from typical nucle
Flow Cytometry: Ly-6G/Ly-6C Antibody (RB6-8C5) - Azide and BSA Free [NBP2-80838]

Flow Cytometry: Ly-6G/Ly-6C Antibody (RB6-8C5) - Azide and BSA Free [NBP2-80838]

Flow Cytometry: Ly-6G/Ly-6C Antibody (RB6-8C5) - Azide and BSA Free [NBP2-80838] - Staining of mouse bone marrow with Anti-Mouse Ly-6G (Gr-1) FITC and Anti-Human/Mouse CD45R (B220) PE. Total viable cells were used for analysis. Image from the standard format of this antibody.
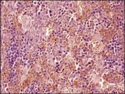
Immunohistochemistry-Paraffin: Ly-6G/Ly-6C Antibody (RB6-8C5) - Azide and BSA Free [NBP2-80838]

Immunohistochemistry-Paraffin: Ly-6G/Ly-6C Antibody (RB6-8C5) - Azide and BSA Free [NBP2-80838]

Immunohistochemistry-Paraffin: Ly-6G/Ly-6C Antibody (RB6-8C5) - Azide and BSA Free [NBP2-80838] - Analysis of a FFPE tissue section of mouse bone marrow using 1:100 dilution of Lot E04586-1632 of Ly-6G antibody (clone RB6-8C5). The antibody generated specific staining in a subset of cells in the tested section. Image from the standard format of this a

Applications for Ly-6G/Ly-6C Antibody (RB6-8C5) - Azide and BSA Free

Application
Recommended Usage

Flow Cytometry

1:10-1:1000

Immunocytochemistry/ Immunofluorescence

8-25 ug/ml

Immunohistochemistry

1:10-1:500

Immunohistochemistry-Frozen

1:10-1:500

Immunoprecipitation

1:10-1:500

In vivo assay

reported in scientific literature (PMID 16272176)

Western Blot

1:100-1:2000
Application Notes
The RB6-8C5 antibody has been tested by flow cytometric analysis of mouse bone marrow cells and splenocyte suspensions. This can be used at less than or equal to 0.5 ug per test. A test is defined as the amount (ug) of antibody that will stain a cell sample in a final volume of 100 ul. Cell number should be determined empirically but can range from 10^5 to 10^8 cells/test. The RB6-8C5 antibody has also been reported for use immunoprecipitation, immunoblotting (WB) and immunohistochemical staining. It is recommended that the antibody be carefully titrated for optimal performance in the assay of interest. This antibody is CyTOF ready.

Formulation, Preparation, and Storage

Purification

Protein A or G purified

Formulation

PBS

Format

Azide and BSA Free

Preservative

No Preservative

Concentration

1 mg/ml

Shipping

The product is shipped with polar packs. Upon receipt, store it immediately at the temperature recommended below.

Stability & Storage

Store at 4C short term. Aliquot and store at -20C long term. Avoid freeze-thaw cycles.

Background: Ly-6G (Gr-1)

The lymphocyte antigen 6 (Ly-6) complex was first described in mice and since its discovery over 20 genes related to the Ly-6 complex on chromosome 15 have been classified (1). The Ly-6 family is commonly used as a cell-surface differentiation marker on both normal and abnormal cells (2). Ly-6 complex, locus G (Ly-6G) and Ly-6 complex, locus C (Ly-6C) both belong to the murine Ly6/urokinase-type plasminogen activator receptor (uPAR) family of genes, which share a common structure (3). The Ly-6 family of proteins is characterized by a ~90 amino acid (aa) LU domain that consists of a three-finger structure formed by disulfide bonds (1,3). Additionally, many Ly6 proteins have a C-terminal GPI anchor, including Ly-6G/Ly-6C (1,3). Ly-6C protein has a molecular weight of 14 kDa and is expressed in some CD4+ and CD8+ T-cells, monocytes, neutrophils, and dendritic cells (1). Ly-6C has uniform expression in neutrophils but varies in monocytes where Ly-6Chi expression is specific for immature/inflammatory monocytes and Ly-6Clo expression identifies mature/residential monocytes (1,3). Ly-6G, on the other hand, is a protein with a molecular weight of 25 kDa with its expression uniquely restricted to neutrophils (1).

Expression of Ly-6G and Ly-6C, along with other lineage markers, help define specific cell types (2,4). For example, mouse myeloid derived suppressor cells (MDSCs), which play a role in inflammation and tumor development, are further subdivided into granulocytic (G-MDSCs) or monocytic (Mo-MDSCs) (4). Mo-MDSCs express Ly-6Chi along with CD11b, but are negative for Ly-6G, whereas G-MDSCs express Ly-6Clo/int,Ly-6Ghi , and CD11b (4).

The monoclonal antibody RB6-8C5 first identified granulocyte-differentiation antigen (Gr-1) which is primarily expressed on the surface of neutrophils and immature myeloid cells, and to a lesser extent on lymphocytes and macrophages (1). Gr-1 expression increases as neutrophils mature but remains is stably expressed in monocytes (1). The RB6-8C5 reacts with both Ly-6G and Ly-6C, whereas 1A8 antibody is specific for Ly-6G (1). Antibodies against Ly-6G, such as RB6-8C5 and 1A8, are commonly used to identify a role for neutrophils in mouse models of disease as they are efficient for quickly depleting neutrophils (1). RB6-8C5, however, also targets and depletes Ly-6Chi monocytes in addition to other Ly-6G-expressing cells (1).

References

1. Lee, P. Y., Wang, J. X., Parisini, E., Dascher, C. C., & Nigrovic, P. A. (2013). Ly6 family proteins in neutrophil biology. Journal of leukocyte biology. https://doi.org/10.1189/jlb.0113014

2. Bamezai A. (2004). Mouse Ly-6 proteins and their extended family: markers of cell differentiation and regulators of cell signaling. Archivum immunologiae et therapiae experimentalis.

3. Loughner, C. L., Bruford, E. A., McAndrews, M. S., Delp, E. E., Swamynathan, S., & Swamynathan, S. K. (2016). Organization, evolution and functions of the human and mouse Ly6/uPAR family genes. Human genomics. https://doi.org/10.1186/s40246-016-0074-2

4. Kong, Y. Y., Fuchsberger, M., Xiang, S. D., Apostolopoulos, V., & Plebanski, M. (2013). Myeloid derived suppressor cells and their role in diseases. Current medicinal chemistry. https://doi.org/10.2174/0929867311320110006

Long Name

A Myeloid Differentiation Antigen

Alternate Names

Gr-1

Gene Symbol

LY6G

Additional Ly-6G (Gr-1) Products

Product Documents for Ly-6G/Ly-6C Antibody (RB6-8C5) - Azide and BSA Free

Certificate of Analysis

To download a Certificate of Analysis, please enter a lot number in the search box below.

Product Specific Notices for Ly-6G/Ly-6C Antibody (RB6-8C5) - Azide and BSA Free

This product is for research use only and is not approved for use in humans or in clinical diagnosis. Primary Antibodies are guaranteed for 1 year from date of receipt.

Loading...
Loading...
Loading...
Loading...
Loading...