Skip to main content

Luciferase Antibody - BSA Free Best Seller

Novus Biologicals, part of Bio-Techne | Catalog # NB100-1677

Novus Biologicals, part of Bio-Techne
Catalog #
Availability
Size / Price
Qty
Loading...
NB100-1677SS
NB100-1677-100ug
Conjugate
Catalog #

Key Product Details

Species Reactivity

Validated:

Firefly

Cited:

Firefly

Applications

Validated:

Western Blot, ELISA

Cited:

Immunohistochemistry, Immunohistochemistry-Paraffin, Immunohistochemistry-Frozen, Western Blot, Immunocytochemistry/ Immunofluorescence, IF/IHC, Microarray

Label

Unconjugated

Antibody Source

Polyclonal Goat IgG

Format

BSA Free

Concentration

Please see the vial label for concentration. If unlisted please contact technical services.

Product Specifications

Immunogen

Luciferase [Photinus pyralis (Firefly)]

Reactivity Notes

No reactivity is observed against Sea pansy (Renilla reniformis) luciferase.

Specificity

No reactivity is observed against Sea pansy (Renilla reniformis) luciferase.

Clonality

Polyclonal

Host

Goat

Isotype

IgG

Description

This product is an IgG fraction antibody purified from monospecific antiserum by a multi-step process which includes delipidation, salt fractionation and ion exchange chromatography followed by extensive dialysis against the buffer stated above. Assay by immunoelectrophoresis resulted in a single precipitin arc against anti-Goat Serum as well as purified and partially purified Luciferase [Photinus pyralis (Firefly)]

Store vial at -20C prior to opening. Aliquot contents and freeze at -20C or below for extended storage. Avoid cycles of freezing and thawing. Centrifuge product if not completely clear after standing at room temperature. This product is stable for several weeks at 4C as an undiluted liquid. Dilute only prior to immediate use.

Scientific Data Images for Luciferase Antibody - BSA Free

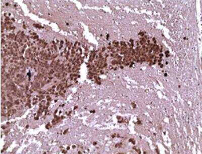
Immunohistochemical Analysis of Luciferase in Human Tumor Xenograft

Immunohistochemical Analysis of Luciferase in Human Tumor Xenograft

Human tumor xenograft expressing firefly luciferase intracranially injected into a mouse brain. Image provided via product review by verified customer.
Use of Luciferase Antibody in Western Blot

Use of Luciferase Antibody in Western Blot

Lane 1: Luciferase, 50ng.Luciferase antibody at 1:1000 overnight at 4C. Secondary antibody: Peroxidase goat secondary antibody at 1:40,000 for 30 min at RT. Block: incubated with blocking buffer for 30 min at RT. Predicted/Observed size: 60 kDa for Luciferase. Other band(s): None.
Immunocytochemistry/Immunofluorescence Staining of Luciferase in AIHV-1 Infected MDBK Cells

Immunocytochemistry/Immunofluorescence Staining of Luciferase in AIHV-1 Infected MDBK Cells

In vitro expression of Luciferase by 247Nluc+ recombinant strain of Alcelaphine herpesvirus 1 (AIHV-1). Epifluoresence expression of Luciferase by AIHV-1 infected syncytia. MDBK cells were infected with the WT (i to iv) or 247Nluc+ (v to viii) strain. Five days p.i. the the syncytia were fixed with 4% paraformaldehyde in PBS, permeabilized in 0.1% NP-40 in PBS and revealed by indirect IF co-staining. See image for additional details. Image provided via product review by verified customer.

Applications for Luciferase Antibody - BSA Free

Application
Recommended Usage

ELISA

1:200-1:1000

Western Blot

1:1000-1:5000
Application Notes
This antibody has been tested in Western Blot. Expect a band ~60kDa in appropriate cell lysates. Although not tested, this antibody would be useful in immunofluorescence, immunoprecipitation, immunocytochemistry, and most immunological methods requiring high titers and specificity.

Reviewed Applications

Read 7 reviews rated 4.9 using NB100-1677 in the following applications:

Formulation, Preparation, and Storage

Purification

Multi-step

Formulation

0.02 M Potassium Phosphate, 0.15 M Sodium Chloride, pH 7.2

Format

BSA Free

Preservative

0.01% Sodium Azide

Concentration

Please see the vial label for concentration. If unlisted please contact technical services.

Shipping

The product is shipped with polar packs. Upon receipt, store it immediately at the temperature recommended below.

Stability & Storage

Store at 4C short term. Store at -20C long term. Avoid freeze-thaw cycles.

Background: Luciferase

Luciferase is a generic term for a group of oxidative enzymes used in bioluminescence. Firefly (Photinus pyralis) and bacterial luciferase enzymes are commonly used in assay systems such as cell viability assays, reporter gene assays, and for in vivo imaging. Bacterial luciferases are flavoenzymes composed of two subunits each encoded by the luxA and luxB genes, while the firefly luciferase is a single polypeptide specified by the luc gene (1). Firefly luciferase (theoretical molecular weight: 61 kDa) oxidizes the substrate luciferin to oxyluciferin in a bioluminescent reaction requiring Mg2+ and ATP (2,3). This reaction produces a flash of yellow-green light with an emission peak around 560nm that can be detected by a luminometer (3). Firefly luciferase has become one of the more widely used reporter proteins and is an excellent tool for the study of gene expression, given that the amount of light emitted is directly proportional to luciferase activity (4).

The luciferase assay is fast and sensitive, differentiating itself from the CAT (chloramphenicol acetyltransferase) assay because it does not require a radioactive substrate.

References

1. Eun, H. (1996). Marker/Reporter enzymes. Enzymology Primer for Recombinant DNA Technology, 567-645. doi:10.1016/b978-012243740-3/50011-9

2. McNabb, D. S., Reed, R., & Marciniak, R. A. (2005). Dual luciferase assay system for rapid assessment of gene expression in Saccharomyces cerevisiae. Eukaryotic Cell, 4(9), 1539-1549. doi:10.1128/ec.4.9.1539-1549.2005

3. Fraga, H. (2008). Firefly luminescence: A historical perspective and recent developments. Photochemical & Photobiological Sciences, 7(2), 146-158. doi:10.1039/b719181b

4. Younes, A., Lukyanenko, Y. O., Lyashkov, A. E., Lakatta, E. G., & Sollott, S. J. (2011). A bioluminescence method for direct measurement of phosphodiesterase activity. Analytical Biochemistry, 417(1), 36-40. doi:10.1016/j.ab.2011.05.036

Alternate Names

LuC, luciferin 4 monooxygenase, Luciferin 4-monooxygenase

Additional Luciferase Products

Product Documents for Luciferase Antibody - BSA Free

Certificate of Analysis

To download a Certificate of Analysis, please enter a lot number in the search box below.

Product Specific Notices for Luciferase Antibody - BSA Free

This product is for research use only and is not approved for use in humans or in clinical diagnosis. Primary Antibodies are guaranteed for 1 year from date of receipt.

Loading...
Loading...
Loading...
Loading...
Loading...