Skip to main content

LTV1 Antibody - BSA Free

Novus Biologicals, part of Bio-Techne | Catalog # NBP1-86735

Novus Biologicals, part of Bio-Techne
Catalog #
Availability
Size / Price
Qty
Loading...
NBP1-86735-25ul
NBP1-86735

Key Product Details

Species Reactivity

Validated:

Human

Cited:

Human

Predicted:

Mouse (92%). Backed by our 100% Guarantee.

Applications

Validated:

Immunohistochemistry, Immunohistochemistry-Paraffin, Western Blot, Immunocytochemistry/ Immunofluorescence

Cited:

Immunocytochemistry/ Immunofluorescence

Label

Unconjugated

Antibody Source

Polyclonal Rabbit IgG

Format

BSA Free

Concentration

Concentrations vary lot to lot. See vial label for concentration. If unlisted please contact technical services.

Product Specifications

Immunogen

This antibody was developed against Recombinant Protein corresponding to amino acids: LEGSIQVDSNRLQEVLNDYYKEKAENCVKLNTLEPLEDQDLPMNELDESEEEEMITVVLEEAKEKWDCESICSTYSNLYNHPQLIKYQPKPKQ

Reactivity Notes

Immunogen displays the following percentage of sequence identity for non-tested species: Rat (89%)

Clonality

Polyclonal

Host

Rabbit

Isotype

IgG

Scientific Data Images for LTV1 Antibody - BSA Free

Immunocytochemistry/ Immunofluorescence: LTV1 Antibody [NBP1-86735]

Immunocytochemistry/ Immunofluorescence: LTV1 Antibody [NBP1-86735]

Immunocytochemistry/Immunofluorescence: LTV1 Antibody [NBP1-86735] - Staining of human cell line U-251 MG shows localization to nucleoplasm & cytosol. Antibody staining show in green.
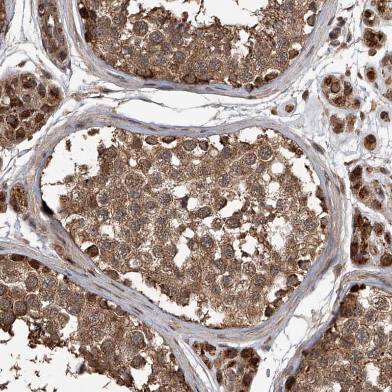
LTV1 Antibody - BSA Free Immunohistochemistry-Paraffin: LTV1 Antibody - BSA Free [NBP1-86735]

Immunohistochemistry-Paraffin: LTV1 Antibody - BSA Free [NBP1-86735]

Staining of human testis shows strong cytoplasmic positivity in cells in seminiferous ducts and leydig cells.
LTV1 Antibody - BSA Free Immunohistochemistry-Paraffin: LTV1 Antibody - BSA Free [NBP1-86735]

Immunohistochemistry-Paraffin: LTV1 Antibody - BSA Free [NBP1-86735]

Staining of human kidney shows moderate cytoplasmic positivity in cells in tubules.

Applications for LTV1 Antibody - BSA Free

Application
Recommended Usage

Immunocytochemistry/ Immunofluorescence

0.25-2 ug/ml

Immunohistochemistry

1:200 - 1:500

Immunohistochemistry-Paraffin

1:200 - 1:500

Western Blot

0.04-0.4 ug/ml
Application Notes
For IHC-Paraffin, HIER pH 6 retrieval is recommended. ICC/IF Fixation Permeabilization: Use PFA/Triton X-100.

Formulation, Preparation, and Storage

Purification

Affinity purified

Formulation

PBS (pH 7.2) and 40% Glycerol

Format

BSA Free

Preservative

0.02% Sodium Azide

Concentration

Concentrations vary lot to lot. See vial label for concentration. If unlisted please contact technical services.

Shipping

The product is shipped with polar packs. Upon receipt, store it immediately at the temperature recommended below.

Stability & Storage

Store at 4C short term. Aliquot and store at -20C long term. Avoid freeze-thaw cycles.

Background: LTV1

Alternate Names

C6orf93, chromosome 6 open reading frame 93, dJ468K18.4, FLJ14909, FLJ18519, LTV1 homolog (S. cerevisiae), protein LTV1 homolog

Gene Symbol

LTV1

Additional LTV1 Products

Product Documents for LTV1 Antibody - BSA Free

Certificate of Analysis

To download a Certificate of Analysis, please enter a lot number in the search box below.

Product Specific Notices for LTV1 Antibody - BSA Free

This product is for research use only and is not approved for use in humans or in clinical diagnosis. Primary Antibodies are guaranteed for 1 year from date of receipt.

Loading...
Loading...
Loading...
Loading...