Skip to main content

LSM14A Antibody - BSA Free

Novus Biologicals, part of Bio-Techne | Catalog # NBP2-99157

Novus Biologicals, part of Bio-Techne

Key Product Details

Species Reactivity

Human

Applications

Immunohistochemistry-Paraffin, Western Blot

Label

Unconjugated

Antibody Source

Polyclonal Rabbit IgG

Format

BSA Free

Concentration

Please see the vial label for concentration. If unlisted please contact technical services.

Product Specifications

Immunogen

Produced in rabbits immunized with a synthetic peptide corresponding to the N-terminus of the Human LSM14A.

Clonality

Polyclonal

Host

Rabbit

Isotype

IgG

Description

This antibody can be stored at 2C to 8C for one month without detectable loss of activity. Antibody products are stable for twelve months from date of receipt when stored at -20C to -80C. Avoid repeated freeze-thaw cycles.

Scientific Data Images for LSM14A Antibody - BSA Free

Western Blot: LSM14A Antibody [NBP2-99157]

Western Blot: LSM14A Antibody [NBP2-99157]

Western Blot: LSM14A Antibody [NBP2-99157] - Anti-LSM14A rabbit polyclonal antibody at 1:500 dilution. Lane A: HepG2 Whole Cell Lysate. Lane B: 293T Whole Cell Lysate. Lane C: A549 Whole Cell Lysate. Lysates/proteins at 30 ug per lane. Secondary Goat Anti-Rabbit IgG (H+L)/HRP at 1/10000 dilution. Developed using the ECL technique. Performed under reducing conditions. Predicted band size: 51 kDa. Observed band size: 57 kDa
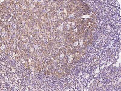
Immunohistochemistry-Paraffin: LSM14A Antibody [NBP2-99157]

Immunohistochemistry-Paraffin: LSM14A Antibody [NBP2-99157]

Immunohistochemistry-Paraffin: LSM14A Antibody [NBP2-99157] - Immunochemical staining of human LSM14A in human tonsil with rabbit polyclonal antibody at 1:300 dilution, formalin-fixed paraffin embedded sections.
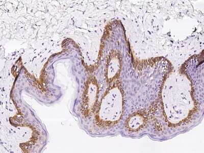
Immunohistochemistry-Paraffin: LSM14A Antibody [NBP2-99157]

Immunohistochemistry-Paraffin: LSM14A Antibody [NBP2-99157]

Immunohistochemistry-Paraffin: LSM14A Antibody [NBP2-99157] - Immunochemical staining of human LSM14A in human skin with rabbit polyclonal antibody at 1:300 dilution, formalin-fixed paraffin embedded sections.

Applications for LSM14A Antibody - BSA Free

Application
Recommended Usage

Immunohistochemistry-Paraffin

1:200-1:1000

Western Blot

1:500-1:2000

Formulation, Preparation, and Storage

Purification

Antigen and protein A Affinity-purified

Formulation

PBS

Format

BSA Free

Preservative

0.03% Proclin 300

Concentration

Please see the vial label for concentration. If unlisted please contact technical services.

Shipping

The product is shipped with polar packs. Upon receipt, store it immediately at the temperature recommended below.

Stability & Storage

Store at 4C short term. Aliquot and store at -20C long term. Avoid freeze-thaw cycles.

Background: LSM14A

Sm-like proteins were identified in a variety of organisms based on sequence homology with the Sm protein family (see SNRPD2; 601061). Sm-like proteins contain the Sm sequence motif, which consists of 2 regions separated by a linker of variable length that folds as a loop. The Sm-like proteins are thought to form a stable heteromer present in tri-snRNP particles, which are important for pre-mRNA splicing.[supplied by OMIM]

Alternate Names

AlphaSNBP, C19orf13, DKFZP434D1335, FAM61A, family with sequence similarity 61, member A, hRAP55, hRAP55A, LSM14 homolog A, LSM14A, SCD6 homolog A (S. cerevisiae), Protein FAM61A, protein LSM14 homolog A, Protein SCD6 homolog, Putative alpha-synuclein-binding protein, RAP55ALSM14 homolog A (SCD6, S. cerevisiae), RAP55chromosome 19 open reading frame 13, RNA-associated protein 55, RNA-associated protein 55A

Gene Symbol

LSM14A

Additional LSM14A Products

Product Documents for LSM14A Antibody - BSA Free

Certificate of Analysis

To download a Certificate of Analysis, please enter a lot number in the search box below.

Product Specific Notices for LSM14A Antibody - BSA Free

This product is for research use only and is not approved for use in humans or in clinical diagnosis. Primary Antibodies are guaranteed for 1 year from date of receipt.

Loading...
Loading...
Loading...
Loading...