Skip to main content

LRRTM1 Antibody (OTI5H9)

Novus Biologicals, part of Bio-Techne | Catalog # NBP2-45675

Novus Biologicals, part of Bio-Techne
Catalog #
Availability
Size / Price
Qty
Loading...
NBP2-45675

Key Product Details

Species Reactivity

Human, Mouse, Rat

Applications

Immunohistochemistry, Immunohistochemistry-Paraffin, Western Blot

Label

Unconjugated

Antibody Source

Monoclonal Mouse IgG2A Clone # OTI5H9

Concentration

1 mg/ml

Product Specifications

Immunogen

Human recombinant protein fragment corresponding to amino acids 182-422 of human LRRTM1 (NP_849161) produced in E.coli.

Reactivity Notes

Please note that this antibody is reactive to Mouse and derived from the same host, Mouse. Mouse-On-Mouse blocking reagent may be needed for IHC and ICC experiments to reduce high background signal. You can find these reagents under catalog numbers PK-2200-NB and MP-2400-NB. Please contact Technical Support if you have any questions.

Clonality

Monoclonal

Host

Mouse

Isotype

IgG2A

Theoretical MW

58.5 kDa.
Disclaimer note: The observed molecular weight of the protein may vary from the listed predicted molecular weight due to post translational modifications, post translation cleavages, relative charges, and other experimental factors.

Description

Novus Biologicals Mouse LRRTM1 Antibody (OTI5H9) (NBP2-45675) is a monoclonal antibody validated for use in IHC and WB. All Novus Biologicals antibodies are covered by our 100% guarantee.

Scientific Data Images for LRRTM1 Antibody (OTI5H9)

Western Blot: LRRTM1 Antibody (OTI5H9) [NBP2-45675]

Western Blot: LRRTM1 Antibody (OTI5H9) [NBP2-45675]

Western Blot: LRRTM1 Antibody (5H9) [NBP2-45675] - Analysis of HEK293T cells were transfected with the pCMV6-ENTRY control (Left lane) or pCMV6-ENTRY LRRTM1.
Immunohistochemistry: LRRTM1 Antibody (OTI5H9) [NBP2-45675]

Immunohistochemistry: LRRTM1 Antibody (OTI5H9) [NBP2-45675]

Immunohistochemistry: LRRTM1 Antibody (5H9) [NBP2-45675] - Analysis of Human lymphoma tissue. (Heat-induced epitope retrieval by 1 mM EDTA in 10mM Tris, pH8.5, 120C for 3min)
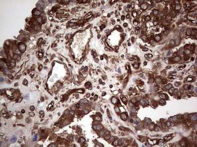
Immunohistochemistry: LRRTM1 Antibody (OTI5H9) [NBP2-45675]

Immunohistochemistry: LRRTM1 Antibody (OTI5H9) [NBP2-45675]

Immunohistochemistry: LRRTM1 Antibody (5H9) [NBP2-45675] - Analysis of Carcinoma of Human liver tissue.(Heat-induced epitope retrieval by 1 mM EDTA in 10mM Tris, pH8.5, 120C for 3min)

Applications for LRRTM1 Antibody (OTI5H9)

Application
Recommended Usage

Immunohistochemistry

1:150

Western Blot

1:2000

Formulation, Preparation, and Storage

Purification

Immunogen affinity purified

Formulation

PBS (pH 7.3), 1.0% BSA and 50% Glycerol

Preservative

0.02% Sodium Azide

Concentration

1 mg/ml

Shipping

The product is shipped with polar packs. Upon receipt, store it immediately at the temperature recommended below.

Stability & Storage

Store at -20C. Avoid freeze-thaw cycles.

Background: LRRTM1

LRRTM1 may play a role during the development of specific forebrain structures by influencing neuronaldifferentiation and connectivity, with a possible role in intracellular trafficking within axons

Long Name

Leucine Rich Repeat Transmembrane Neuronal 1

Alternate Names

FLJ32082, leucine rich repeat transmembrane neuronal 1, leucine-rich repeat transmembrane neuronal 1 protein, leucine-rich repeat transmembrane neuronal protein 1

Gene Symbol

LRRTM1

Additional LRRTM1 Products

Product Documents for LRRTM1 Antibody (OTI5H9)

Certificate of Analysis

To download a Certificate of Analysis, please enter a lot number in the search box below.

Product Specific Notices for LRRTM1 Antibody (OTI5H9)

This product is for research use only and is not approved for use in humans or in clinical diagnosis. Primary Antibodies are guaranteed for 1 year from date of receipt.

Loading...
Loading...
Loading...
Loading...