LRP-1 Antibody - BSA Free
Novus Biologicals, part of Bio-Techne | Catalog # NBP2-48497
Key Product Details
Species Reactivity
Validated:
Predicted:
Applications
Label
Antibody Source
Format
Concentration
Product Specifications
Immunogen
Clonality
Host
Isotype
Description
Scientific Data Images for LRP-1 Antibody - BSA Free
Immunocytochemistry/ Immunofluorescence: LRP-1 Antibody [NBP2-48497]
Immunocytochemistry/Immunofluorescence: LRP-1 Antibody [NBP2-48497] - Staining of human cell line RH-30 shows localization to nucleoplasm & vesicles.Immunohistochemistry-Paraffin: LRP-1 Antibody [NBP2-48497]
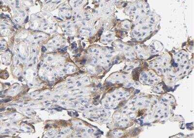
Immunohistochemistry-Paraffin: LRP-1 Antibody [NBP2-48497] - Staining of human placenta shows moderate cytoplasmic and membranous positivity in trophoblastic cells.Immunohistochemistry-Paraffin: LRP-1 Antibody [NBP2-48497]
Immunohistochemistry-Paraffin: LRP-1 Antibody [NBP2-48497] - Staining of human cerebral cortex shows weak cytoplasmic positivity in neurons.Applications for LRP-1 Antibody - BSA Free
Immunocytochemistry/ Immunofluorescence
Immunohistochemistry
Immunohistochemistry-Paraffin
Formulation, Preparation, and Storage
Purification
Formulation
Format
Preservative
Concentration
Shipping
Stability & Storage
Background: LRP-1
LRP-1 (low-density lipoprotein receptor-related protein 1) is a large type I transmembrane protein belonging to the LDL receptor superfamily. The extracellular domain of LRP-1 is organized in four clusters of ligand-binding repeats that recognizes at least 30 different ligands. The amino acid sequence of human and mouse LRP-1 cluster II share 100% identity.
Long Name
Alternate Names
Gene Symbol
Additional LRP-1 Products
Product Documents for LRP-1 Antibody - BSA Free
Product Specific Notices for LRP-1 Antibody - BSA Free
This product is for research use only and is not approved for use in humans or in clinical diagnosis. Primary Antibodies are guaranteed for 1 year from date of receipt.