Skip to main content

LRP-1 Antibody (SA0290)

Novus Biologicals, part of Bio-Techne | Catalog # NBP2-67286

Recombinant Monoclonal Antibody
Novus Biologicals, part of Bio-Techne
Catalog #
Availability
Size / Price
Qty
Loading...
NBP2-67286

Key Product Details

Validated by

Biological Validation

Species Reactivity

Human, Mouse, Rat

Applications

Immunohistochemistry, Immunohistochemistry-Paraffin, Immunohistochemistry-Frozen, Western Blot, Flow Cytometry, Immunocytochemistry/ Immunofluorescence, Immunoprecipitation

Label

Unconjugated

Antibody Source

Recombinant Monoclonal Rabbit IgG Clone # SA0290 expressed in HEK293

Concentration

1 mg/ml

Product Specifications

Immunogen

Synthetic peptide within Human LRP-1 aa 4,471-4,520 / 4,544. (SwissProt: Q07954 Human; SwissProt: Q91ZX7 Mouse; SwissProt: G3V928 Rat)

Localization

Cytoplasm, Nucleus, Membrane.

Clonality

Monoclonal

Host

Rabbit

Isotype

IgG

Scientific Data Images for LRP-1 Antibody (SA0290)

Western Blot: LRP-1 Antibody (SA0290) [NBP2-67286]

Western Blot: LRP-1 Antibody (SA0290) [NBP2-67286]

Western Blot: LRP-1 Antibody (SA0290) [NBP2-67286] - Western blot analysis of LRP-1 on different lysates. Proteins were transferred to a PVDF membrane and blocked with 5% BSA in PBS for 1 hour at room temperature. The primary antibody (1/500) was used in 5% BSA at room temperature for 2 hours. Goat Anti-Rab
Immunocytochemistry/ Immunofluorescence: LRP-1 Antibody (SA0290) [NBP2-67286]

Immunocytochemistry/ Immunofluorescence: LRP-1 Antibody (SA0290) [NBP2-67286]

Immunocytochemistry/Immunofluorescence: LRP-1 Antibody (SA0290) [NBP2-67286] - Staining LRP-1 in MCF-7 cells (green). The nuclear counter stain is DAPI (blue). Cells were fixed in paraformaldehyde, permeabilised with 0.25% Triton X100/PBS.
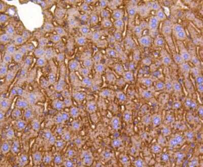
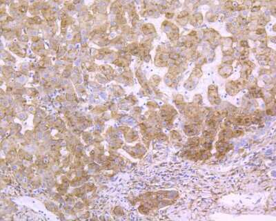
Immunohistochemistry-Paraffin: LRP-1 Antibody (SA0290) [NBP2-67286]

Immunohistochemistry-Paraffin: LRP-1 Antibody (SA0290) [NBP2-67286]

Immunohistochemistry-Paraffin: LRP-1 Antibody (SA0290) [NBP2-67286] - Immunohistochemical analysis of paraffin-embedded human liver tissue using anti-LRP-1 antibody. The section was pre-treated using heat mediated antigen retrieval with Tris-EDTA buffer (pH 8.0-8.4) for 20 minutes. The tissues were blocked in 5% BSA for 30

Applications for LRP-1 Antibody (SA0290)

Application
Recommended Usage

Flow Cytometry

1:50-1:100

Immunocytochemistry/ Immunofluorescence

1:50-1:200

Immunohistochemistry-Frozen

1:100

Immunohistochemistry-Paraffin

1:200

Western Blot

1:500-1:5000
Application Notes
IP-assay-dependent

Formulation, Preparation, and Storage

Purification

Protein A purified

Formulation

TBS (pH7.4), 0.05% BSA, 40% Glycerol

Preservative

0.05% Sodium Azide

Concentration

1 mg/ml

Shipping

The product is shipped with polar packs. Upon receipt, store it immediately at the temperature recommended below.

Stability & Storage

Store at 4C short term. Aliquot and store at -20C long term. Avoid freeze-thaw cycles.

Background: LRP-1

LRP-1 (low-density lipoprotein receptor-related protein 1) is a large type I transmembrane protein belonging to the LDL receptor superfamily. The extracellular domain of LRP-1 is organized in four clusters of ligand-binding repeats that recognizes at least 30 different ligands. The amino acid sequence of human and mouse LRP-1 cluster II share 100% identity.

Long Name

LDL Receptor-related Protein 1

Alternate Names

A2MR, Alpha-2-Macroglobulin Receptor, APOER, Apolipoprotein E receptor, APR, CD91, CD91 antigen, EC 1.1.1.94, EC 3.4.21.9, IGFBP3R, low density lipoprotein receptor-related protein 1, LRP, LRP-1, LRP1A, prolow-density lipoprotein receptor-related protein 1, TbetaR-V/LRP-1/IGFBP-3 receptor, TGFBR5, type V tgf-beta receptor

Gene Symbol

LRP1

Additional LRP-1 Products

Product Documents for LRP-1 Antibody (SA0290)

Certificate of Analysis

To download a Certificate of Analysis, please enter a lot number in the search box below.

Product Specific Notices for LRP-1 Antibody (SA0290)

This product is for research use only and is not approved for use in humans or in clinical diagnosis. Primary Antibodies are guaranteed for 1 year from date of receipt.

Loading...
Loading...
Loading...
Loading...
Loading...