Skip to main content

LRP-1 Antibody (LRP1/8771R) - Azide and BSA Free

Novus Biologicals, part of Bio-Techne | Catalog # NBP3-49466

Recombinant Monoclonal Antibody
Novus Biologicals, part of Bio-Techne

Key Product Details

Species Reactivity

Human

Applications

Immunohistochemistry

Label

Unconjugated

Antibody Source

Recombinant Monoclonal Rabbit IgG Kappa Clone # LRP1/8771R

Format

Azide and BSA Free

Concentration

Please see the vial label for concentration. If unlisted please contact technical services.

Product Specifications

Immunogen

Recombinant fragment of human LRP1 protein (exact sequence is proprietary) (Uniprot: Q07954)

Localization

Cytoplasm, Nucleus, Cell surface

Clonality

Monoclonal

Host

Rabbit

Isotype

IgG Kappa

Description

Prepared in 10mM PBS WITHOUT BSA & azide at 1.0mg/ml. Also available with 0.05% BSA & 0.05% azide.

Antibody with azide - store at 2 to 8 C. Antibody without azide - store at -20 to -80 C. Antibody is stable for 24 months. Non-hazardous.

Scientific Data Images for LRP-1 Antibody (LRP1/8771R) - Azide and BSA Free

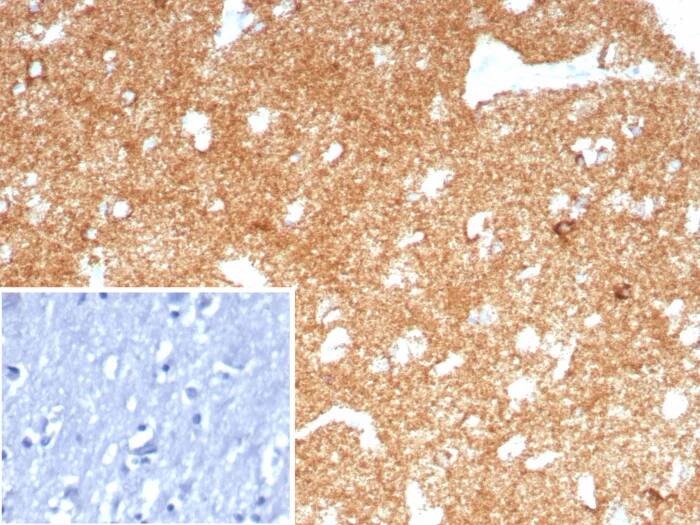
LRP-1 Antibody (LRP1/8771R) - Azide and BSA Free

Immunohistochemistry-Paraffin: LRP-1 Antibody (LRP1/8771R) - Azide and BSA Free [NBP3-49466] -

Formalin-fixed, paraffin-embedded human brain stained with LRP-1 Antibody (LRP1/8771R) - Azide and BSA Free. Inset: PBS instead of primary antibody; secondary only negative control.

Applications for LRP-1 Antibody (LRP1/8771R) - Azide and BSA Free

Application
Recommended Usage

Immunohistochemistry

Optimal dilutions of this antibody should be experimentally determined.

Formulation, Preparation, and Storage

Purification

Protein A or G purified

Formulation

10 mM PBS

Format

Azide and BSA Free

Preservative

No Preservative

Concentration

Please see the vial label for concentration. If unlisted please contact technical services.

Shipping

The product is shipped with polar packs. Upon receipt, store it immediately at the temperature recommended below.

Stability & Storage

Store at -20 to -80C. Avoid freeze-thaw cycles.

Background: LRP-1

LRP-1 (low-density lipoprotein receptor-related protein 1) is a large type I transmembrane protein belonging to the LDL receptor superfamily. The extracellular domain of LRP-1 is organized in four clusters of ligand-binding repeats that recognizes at least 30 different ligands. The amino acid sequence of human and mouse LRP-1 cluster II share 100% identity.

Long Name

LDL Receptor-related Protein 1

Alternate Names

A2MR, Alpha-2-Macroglobulin Receptor, APOER, Apolipoprotein E receptor, APR, CD91, CD91 antigen, EC 1.1.1.94, EC 3.4.21.9, IGFBP3R, low density lipoprotein receptor-related protein 1, LRP, LRP-1, LRP1A, prolow-density lipoprotein receptor-related protein 1, TbetaR-V/LRP-1/IGFBP-3 receptor, TGFBR5, type V tgf-beta receptor

Gene Symbol

LRP1

Additional LRP-1 Products

Product Documents for LRP-1 Antibody (LRP1/8771R) - Azide and BSA Free

Certificate of Analysis

To download a Certificate of Analysis, please enter a lot number in the search box below.

Product Specific Notices for LRP-1 Antibody (LRP1/8771R) - Azide and BSA Free

This product is for research use only and is not approved for use in humans or in clinical diagnosis. Primary Antibodies are guaranteed for 1 year from date of receipt.

Loading...
Loading...
Loading...
Loading...