Skip to main content

LRP-1 Antibody (3F12E2) - BSA Free

Novus Biologicals, part of Bio-Techne | Catalog # NBP2-52505

Novus Biologicals, part of Bio-Techne
Catalog #
Availability
Size / Price
Qty
Loading...
NBP2-52505-0.025mg
NBP2-52505

Key Product Details

Species Reactivity

Human

Applications

Immunohistochemistry, Immunohistochemistry-Paraffin, Western Blot, ELISA, Flow Cytometry, Immunocytochemistry, Immunocytochemistry/ Immunofluorescence, CyTOF-ready

Label

Unconjugated

Antibody Source

Monoclonal Mouse IgG1 Clone # 3F12E2

Format

BSA Free

Concentration

1 mg/ml

Product Specifications

Immunogen

Purified recombinant fragment of human LRP-1 (AA: 20-155) expressed in E. Coli.

Clonality

Monoclonal

Host

Mouse

Isotype

IgG1

Theoretical MW

50.5 kDa.
Disclaimer note: The observed molecular weight of the protein may vary from the listed predicted molecular weight due to post translational modifications, post translation cleavages, relative charges, and other experimental factors.

Scientific Data Images for LRP-1 Antibody (3F12E2) - BSA Free

Western Blot: LRP-1 Antibody (3F12E2)BSA Free [NBP2-52505]

Western Blot: LRP-1 Antibody (3F12E2)BSA Free [NBP2-52505]

Western Blot: Low Density LRP Antibody (3F12E2) [NBP2-52505] - Analysis using LRP1 mAb against human LRP1 (AA: 20-155) recombinant protein. (Expected MW is 40.8 kDa)
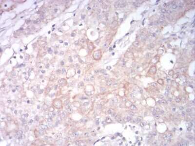
Immunohistochemistry: LRP-1 Antibody (3F12E2) - BSA Free [NBP2-52505]

Immunohistochemistry: LRP-1 Antibody (3F12E2) - BSA Free [NBP2-52505]

Immunohistochemistry: Low Density LRP Antibody (3F12E2) [NBP2-52505] - Analysis of paraffin-embedded stomach cancer tissues using LRP1 mouse mAb with DAB staining.
Flow Cytometry: LRP-1 Antibody (3F12E2) - BSA Free [NBP2-52505]

Flow Cytometry: LRP-1 Antibody (3F12E2) - BSA Free [NBP2-52505]

Flow Cytometry: Low Density LRP Antibody (3F12E2) [NBP2-52505] - Analysis of Jurkat cells using LRP1 mouse mAb (green) and negative control (red).

Applications for LRP-1 Antibody (3F12E2) - BSA Free

Application
Recommended Usage

ELISA

1:10000

Flow Cytometry

1:200-1:400

Immunocytochemistry

1:200-1:1000

Immunocytochemistry/ Immunofluorescence

1:200-1:1000

Immunohistochemistry

1:200-1:1000

Immunohistochemistry-Paraffin

1:200 - 1:1000

Western Blot

1:500-1:2000
Application Notes
This antibody is Cytof ready.

Formulation, Preparation, and Storage

Purification

Protein G purified

Formulation

PBS

Format

BSA Free

Preservative

0.05% Sodium Azide

Concentration

1 mg/ml

Shipping

The product is shipped with polar packs. Upon receipt, store it immediately at the temperature recommended below.

Stability & Storage

Store at 4C short term. Aliquot and store at -20C long term. Avoid freeze-thaw cycles.

Background: LRP-1

LRP-1 (low-density lipoprotein receptor-related protein 1) is a large type I transmembrane protein belonging to the LDL receptor superfamily. The extracellular domain of LRP-1 is organized in four clusters of ligand-binding repeats that recognizes at least 30 different ligands. The amino acid sequence of human and mouse LRP-1 cluster II share 100% identity.

Long Name

LDL Receptor-related Protein 1

Alternate Names

A2MR, Alpha-2-Macroglobulin Receptor, APOER, Apolipoprotein E receptor, APR, CD91, CD91 antigen, EC 1.1.1.94, EC 3.4.21.9, IGFBP3R, low density lipoprotein receptor-related protein 1, LRP, LRP-1, LRP1A, prolow-density lipoprotein receptor-related protein 1, TbetaR-V/LRP-1/IGFBP-3 receptor, TGFBR5, type V tgf-beta receptor

Gene Symbol

LRP1

Additional LRP-1 Products

Product Documents for LRP-1 Antibody (3F12E2) - BSA Free

Certificate of Analysis

To download a Certificate of Analysis, please enter a lot number in the search box below.

Product Specific Notices for LRP-1 Antibody (3F12E2) - BSA Free

This product is for research use only and is not approved for use in humans or in clinical diagnosis. Primary Antibodies are guaranteed for 1 year from date of receipt.

Loading...
Loading...
Loading...
Loading...
Loading...