Skip to main content

Key Product Details

Species Reactivity

Human

Applications

Immunohistochemistry-Paraffin, Protein Array

Label

Unconjugated

Antibody Source

Monoclonal Mouse IgG2c Kappa Clone # LRG1/4883

Format

Azide and BSA Free

Concentration

1 mg/ml

Product Specifications

Immunogen

Recombinant fragment (around aa 30-180) of human LRG1 protein (exact sequence is proprietary) (Uniprot: P02750)

Localization

Secreted

Clonality

Monoclonal

Host

Mouse

Isotype

IgG2c Kappa

Theoretical MW

38 kDa.
Disclaimer note: The observed molecular weight of the protein may vary from the listed predicted molecular weight due to post translational modifications, post translation cleavages, relative charges, and other experimental factors.

Description

1.0 mg/ml of antibody purified from Bioreactor Concentrate by Protein A/G. Prepared in 10mM PBS WITHOUT BSA & azide. Also available at 200 ug/ml WITH BSA & azide (NBP3-13852).

Antibody with azide - store at 2 to 8C. Antibody without azide - store at -20 to -80 C.

Scientific Data Images for LRG1 Antibody (LRG1/4883) - Azide and BSA Free

Protein Array: LRG1 Antibody (LRG1/4883) - Azide and BSA Free [NBP3-14263]

Protein Array: LRG1 Antibody (LRG1/4883) - Azide and BSA Free [NBP3-14263]

Protein Array: LRG1 Antibody (LRG1/4883) - Azide and BSA Free [NBP3-14263] - Analysis of Protein Array containing more than 19,000 full-length human proteins using LRG1 Antibody (LRG1/4883).
LRG1 Antibody (LRG1/4883) - Azide and BSA Free

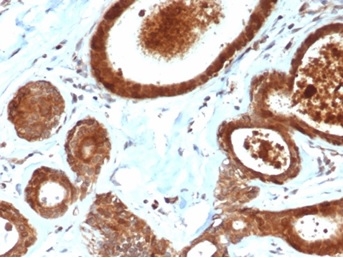
LRG1 Antibody (LRG1/4883)

IHC analysis of formalin-fixed, paraffin-embedded human breast. Staining using LRG1 antibody (LRG1/4883) at 2ug/ml in PBS for 30min RT. HIER: Tris/EDTA, pH9.0, 45min. Secondary: HRP-polymer, 30min. DAB, 5min.

Applications for LRG1 Antibody (LRG1/4883) - Azide and BSA Free

Application
Recommended Usage

Immunohistochemistry-Paraffin

1-2 ug/ml
Application Notes
Immunohistochemistry (Formalin-fixed): 1-2ug/ml for 30 minutes at RT. Staining of formalin-fixed tissues requires heating tissue sections in 10mM Tris with 1mM EDTA, pH 9.0, for 45 min at 95C followed by cooling at RT for 20 minutes

Formulation, Preparation, and Storage

Purification

Protein A or G purified

Formulation

10mM PBS

Format

Azide and BSA Free

Preservative

No Preservative

Concentration

1 mg/ml

Shipping

The product is shipped with polar packs. Upon receipt, store it immediately at the temperature recommended below.

Stability & Storage

Store at -20 to -80C. Avoid freeze-thaw cycles.

Background: LRG1

The leucine-rich repeat (LRR) family of proteins, including LRG1, have been shown to be involved in protein-protein interaction, signal transduction, and cell adhesion and development. LRG1 is expressed during granulocyte differentiation (O'Donnell et al., 2002 [PubMed 12223515]).[supplied by OMIM]

Long Name

Leucine-rich alpha-2-glycoprotein 1

Alternate Names

HMFT1766

Gene Symbol

LRG1

Additional LRG1 Products

Product Documents for LRG1 Antibody (LRG1/4883) - Azide and BSA Free

Certificate of Analysis

To download a Certificate of Analysis, please enter a lot number in the search box below.

Product Specific Notices for LRG1 Antibody (LRG1/4883) - Azide and BSA Free

This product is for research use only and is not approved for use in humans or in clinical diagnosis. Primary Antibodies are guaranteed for 1 year from date of receipt.

Loading...
Loading...
Loading...
Loading...