Skip to main content

LOX Antibody (9K10Z3)

Novus Biologicals, part of Bio-Techne | Catalog # NBP3-15396

Recombinant Monoclonal Antibody
Novus Biologicals, part of Bio-Techne
Catalog #
Availability
Size / Price
Qty
Loading...
NBP3-15396-100ul
NBP3-15396-20ul

Key Product Details

Species Reactivity

Human, Mouse, Rat

Applications

Immunohistochemistry, Immunohistochemistry-Paraffin, Western Blot, Immunoprecipitation

Label

Unconjugated

Antibody Source

Recombinant Monoclonal Rabbit IgG Clone # 9K10Z3 expressed in HEK293

Concentration

Please see the vial label for concentration. If unlisted please contact technical services.

Product Specifications

Immunogen

A synthetic peptide corresponding to a sequence within amino acids 318-417 of human LOX (P28300). GHKASFCLEDTSCDYGYHRRFACTAHTQGLSPGCYDTYGADIDCQWIDITDVKPGNYILKVSVNPSYLVPESDYTNNVVRCDIRYTGHHAYASGCTISPY

Clonality

Monoclonal

Host

Rabbit

Isotype

IgG

Description

Novus Biologicals Rabbit LOX Antibody (9K10Z3) (NBP3-15396) is a recombinant monoclonal antibody validated for use in IHC, WB and IP. All Novus Biologicals antibodies are covered by our 100% guarantee.

Scientific Data Images for LOX Antibody (9K10Z3)

Western Blot: LOX Antibody (9K10Z3) [NBP3-15396]

Western Blot: LOX Antibody (9K10Z3) [NBP3-15396]

Western Blot: LOX Antibody (9K10Z3) [NBP3-15396] - Western blot analysis of extracts of various cell lines, using LOX Rabbit mAb (NBP3-15396) at 1:1000 dilution. Secondary antibody: HRP Goat Anti-Rabbit IgG (H+L) at 1:10000 dilution. Lysates/proteins: 25ug per lane. Blocking buffer: 3% nonfat dry milk in TBST. Detection: ECL Basic Kit. Exposure time: 1s.
Immunohistochemistry-Paraffin: LOX Antibody (9K10Z3) [NBP3-15396]

Immunohistochemistry-Paraffin: LOX Antibody (9K10Z3) [NBP3-15396]

Immunohistochemistry-Paraffin: LOX Antibody (9K10Z3) [NBP3-15396] - Immunohistochemistry of paraffin-embedded human colon using LOX Rabbit mAb (NBP3-15396) at dilution of 1:100 (40x lens).Perform microwave antigen retrieval with 10 mM PBS buffer pH 7.2 before commencing with IHC staining protocol.
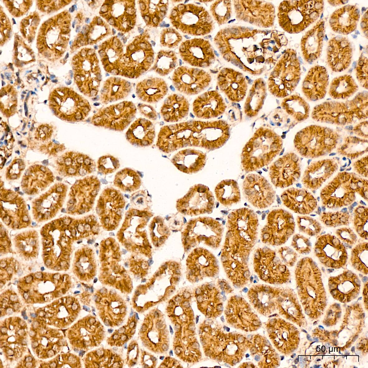
Immunohistochemistry-Paraffin: LOX Antibody (9K10Z3) [NBP3-15396]

Immunohistochemistry-Paraffin: LOX Antibody (9K10Z3) [NBP3-15396]

Immunohistochemistry-Paraffin: LOX Antibody (9K10Z3) [NBP3-15396] - Immunohistochemistry of paraffin-embedded rat kidney using LOX Rabbit mAb (NBP3-15396) at dilution of 1:100 (40x lens).Perform microwave antigen retrieval with 10 mM PBS buffer pH 7.2 before commencing with IHC staining protocol.

Applications for LOX Antibody (9K10Z3)

Application
Recommended Usage

Immunohistochemistry

1:50 - 1:200

Immunoprecipitation

1:500 - 1:1000

Western Blot

1:500 - 1:2000

Formulation, Preparation, and Storage

Purification

Affinity purified

Formulation

PBS (pH 7.3), 50% glycerol, 0.05% BSA

Preservative

0.02% Sodium Azide

Concentration

Please see the vial label for concentration. If unlisted please contact technical services.

Shipping

The product is shipped with polar packs. Upon receipt, store it immediately at the temperature recommended below.

Stability & Storage

Store at -20C. Avoid freeze-thaw cycles.

Background: Lysyl Oxidase/LOX

Lysyl oxidase (LOX), a copper-containing amine oxidase, belongs to a heterogeneous family of enzymes that oxidize primary amine substrates to reactive aldehydes. LOX plays a vital role in the formation and repair of the extracellular matrix. In addition, LOX is a multifunctional enzyme having diverse biological functions such as developmental regulation, tumor suppression, cell motility, and cellular senescence. The secreted form of LOX is responsible for the invasive properties of hypoxic human cancer cells. Thus, Lysyl oxidase is essential for hypoxia-induced metastasis and is a good therapeutic target for preventing and treating metastases.

Long Name

Lysyl Oxidase

Alternate Names

AAT10

Gene Symbol

LOX

Additional Lysyl Oxidase/LOX Products

Product Documents for LOX Antibody (9K10Z3)

Certificate of Analysis

To download a Certificate of Analysis, please enter a lot number in the search box below.

Product Specific Notices for LOX Antibody (9K10Z3)

This product is for research use only and is not approved for use in humans or in clinical diagnosis. Primary Antibodies are guaranteed for 1 year from date of receipt.

Loading...
Loading...
Loading...
Loading...