Skip to main content

LMO2 Antibody (rLMO2/1971) - Azide and BSA Free

Novus Biologicals, part of Bio-Techne | Catalog # NBP3-08285

Recombinant Monoclonal Antibody
Novus Biologicals, part of Bio-Techne

Key Product Details

Species Reactivity

Human

Applications

Immunohistochemistry-Paraffin, Western Blot

Label

Unconjugated

Antibody Source

Monoclonal Mouse IgG1 kappa Clone # rLMO2/1971

Format

Azide and BSA Free

Concentration

1 mg/ml

Product Specifications

Immunogen

Recombinant human LMO2 protein fragment (around aa 23-140) (exact sequence is proprietary) (Uniprot: P25791)

Localization

Nucleus, cytoplasm and Cell surface

Marker

B-Cell Marker

Clonality

Monoclonal

Host

Mouse

Isotype

IgG1 kappa

Theoretical MW

24 kDa.
Disclaimer note: The observed molecular weight of the protein may vary from the listed predicted molecular weight due to post translational modifications, post translation cleavages, relative charges, and other experimental factors.

Description

1.0 mg/ml of antibody purified from Bioreactor Concentrate by Protein A/G. Prepared in 10mM PBS WITHOUT BSA & azide. Also available at 200 ug/ml WITH BSA & azide (NBP3-07253).

Antibody with azide - store at 2 to 8C. Antibody without azide - store at -20 to -80 C.

Scientific Data Images for LMO2 Antibody (rLMO2/1971) - Azide and BSA Free

Western Blot: LMO2 Antibody (rLMO2/1971)Azide and BSA Free [NBP3-08285]

Western Blot: LMO2 Antibody (rLMO2/1971)Azide and BSA Free [NBP3-08285]

Western Blot: LMO2 Antibody (rLMO2/1971) - Azide and BSA Free [NBP3-08285] - Western blot analysis of THP1 cell lysate using LMO2 antibody (rLMO2/1971).
Immunohistochemistry-Paraffin: LMO2 Antibody (rLMO2/1971) - Azide and BSA Free [NBP3-08285]

Immunohistochemistry-Paraffin: LMO2 Antibody (rLMO2/1971) - Azide and BSA Free [NBP3-08285]

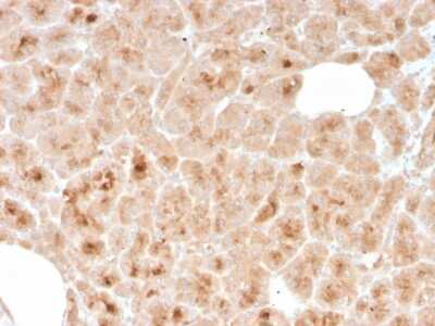
Immunohistochemistry-Paraffin: LMO2 Antibody (rLMO2/1971) - Azide and BSA Free [NBP3-08285] - Formalin-fixed, paraffin-embedded human pancreas stained with LMO2 Mouse Monoclonal Antibody (rLMO2/1971).
Immunohistochemistry-Paraffin: LMO2 Antibody (rLMO2/1971) - Azide and BSA Free [NBP3-08285]

Immunohistochemistry-Paraffin: LMO2 Antibody (rLMO2/1971) - Azide and BSA Free [NBP3-08285]

Immunohistochemistry-Paraffin: LMO2 Antibody (rLMO2/1971) - Azide and BSA Free [NBP3-08285] - Formalin-fixed, paraffin-embedded human pancreas stained with LMO2 Mouse Monoclonal Antibody (rLMO2/1971).

Applications for LMO2 Antibody (rLMO2/1971) - Azide and BSA Free

Application
Recommended Usage

Immunohistochemistry-Paraffin

1-2 ug/ml
Application Notes
Immunohistochemistry Formalin-fixed: 1-2ug/ml for 30 minutes at RT. Staining of formalin-fixed tissues requires heating tissue sections in 10mM Tris with 1mM EDTA, pH 9.0, for 45 min at 95C followed by cooling at RT for 20 minutes.

Formulation, Preparation, and Storage

Purification

Protein A or G purified

Formulation

10 mM PBS

Format

Azide and BSA Free

Preservative

No Preservative

Concentration

1 mg/ml

Shipping

The product is shipped with polar packs. Upon receipt, store it immediately at the temperature recommended below.

Stability & Storage

Store at -20 to -80C. Avoid freeze-thaw cycles.

Background: LMO2

LMO2 is a highly conserved oncoprotein that is expressed in human normal germinal-center B cells and in B-cell lymphomas. LMO2 also has a crucial role in hematopoietic development by being necessary for yolk sac erythropoiesis. LMO2 encodes a cysteine-rich, two LIM-domain protein that is required for yolk sac erythropoiesis. The LMO2 transcription start site is located approximately 25 kb downstream from the 11p13 T-cell translocation cluster (11p13 ttc), where a number of T-cell acute lymphoblastic leukemia-specific translocations occur.

LMO2 antibodies are useful tools for erythropoiesis research and certian cancer studies.

Long Name

LIM Domain Only 2

Alternate Names

RBTN2, RBTNL1, RHOM2, TTG2

Gene Symbol

LMO2

Additional LMO2 Products

Product Documents for LMO2 Antibody (rLMO2/1971) - Azide and BSA Free

Certificate of Analysis

To download a Certificate of Analysis, please enter a lot number in the search box below.

Product Specific Notices for LMO2 Antibody (rLMO2/1971) - Azide and BSA Free

This product is for research use only and is not approved for use in humans or in clinical diagnosis. Primary Antibodies are guaranteed for 1 year from date of receipt.

Loading...
Loading...
Loading...
Loading...