Skip to main content

LMO1 Antibody - BSA Free

Novus Biologicals, part of Bio-Techne | Catalog # NBP3-47476

Novus Biologicals, part of Bio-Techne
Catalog #
Availability
Size / Price
Qty
Loading...
NBP3-47476

Key Product Details

Species Reactivity

Human, Mouse, Rat

Applications

Immunohistochemistry, Western Blot, ELISA

Label

Unconjugated

Antibody Source

Polyclonal Rabbit IgG

Format

BSA Free

Concentration

Please see the vial label for concentration. If unlisted please contact technical services.

Product Specifications

Immunogen

Rhombotin-1. (Uniprot# P25800)

Clonality

Polyclonal

Host

Rabbit

Isotype

IgG

Theoretical MW

18 kDa.
Disclaimer note: The observed molecular weight of the protein may vary from the listed predicted molecular weight due to post translational modifications, post translation cleavages, relative charges, and other experimental factors.

Description

Novus Biologicals Rabbit LMO1 Antibody - BSA Free (NBP3-47476) is a polyclonal antibody validated for use in IHC, WB and ELISA. All Novus Biologicals antibodies are covered by our 100% guarantee.

Scientific Data Images for LMO1 Antibody - BSA Free

LMO1 Antibody - BSA Free

Western Blot: LMO1 Antibody - BSA Free [NBP3-47476] -

Western Blot: LMO1 Antibody - BSA Free [NBP3-47476] - Rat brain were subjected to SDS PAGE followed by western blot with ( LMO1 Antibody) at dilution of 1:1000
LMO1 Antibody - BSA Free

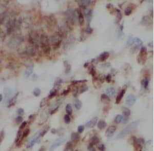
Immunohistochemistry: LMO1 Antibody - BSA Free [NBP3-47476] -

Immunohistochemistry: LMO1 Antibody - BSA Free [NBP3-47476] - Immunohistochemistry of paraffin-embedded human colon cancer tissue slide using (LMO1 Antibody) at dilution of 1:200

Applications for LMO1 Antibody - BSA Free

Application
Recommended Usage

Immunohistochemistry

1:50-1:500

Western Blot

1:500-1:2000

Formulation, Preparation, and Storage

Purification

Immunogen affinity purified

Formulation

PBS, 50% Glycerol, pH (7.3)

Format

BSA Free

Preservative

0.02% Sodium Azide

Concentration

Please see the vial label for concentration. If unlisted please contact technical services.

Shipping

The product is shipped with polar packs. Upon receipt, store it immediately at the temperature recommended below.

Stability & Storage

Store at -20C. Avoid freeze-thaw cycles.

Background: LMO1

LMO1 enocdes a cysteine-rich, two LIM domain transcriptional regulator. It is mapped to an area of consistent chromosomal translocation in chromosome 11, disrupting it in T-cell leukemia, although more rarely than the related gene, LMO2 is disrupted.

Alternate Names

Cysteine-rich protein TTG-1, LIM domain only 1 (rhombotin 1), LMO-1, RBTN1MGC116692, RHOM1LIM domain only protein 1, rhombotin-1, TTG1T-cell translocation protein 1

Gene Symbol

LMO1

Additional LMO1 Products

Product Documents for LMO1 Antibody - BSA Free

Certificate of Analysis

To download a Certificate of Analysis, please enter a lot number in the search box below.

Product Specific Notices for LMO1 Antibody - BSA Free

This product is for research use only and is not approved for use in humans or in clinical diagnosis. Primary Antibodies are guaranteed for 1 year from date of receipt.

Loading...
Loading...
Loading...
Loading...