Skip to main content

LKB1/STK11 Antibody (OTI0A3) - Azide and BSA Free

Novus Biologicals, part of Bio-Techne | Catalog # NBP2-71300

Novus Biologicals, part of Bio-Techne

Key Product Details

Species Reactivity

Human, Mouse, Rat

Applications

Immunohistochemistry, Immunohistochemistry-Paraffin, Western Blot

Label

Unconjugated

Antibody Source

Monoclonal Mouse IgG1 Clone # OTI0A3

Format

Azide and BSA Free

Concentration

LYOPH mg/ml

Product Specifications

Immunogen

Human recombinant protein fragment corresponding to amino acids 1-236 of human STK11 (NP_000446) produced in E.coli.

Reactivity Notes

Please note that this antibody is reactive to Mouse and derived from the same host, Mouse. Mouse-On-Mouse blocking reagent may be needed for IHC and ICC experiments to reduce high background signal. You can find these reagents under catalog numbers PK-2200-NB and MP-2400-NB. Please contact Technical Support if you have any questions.

Clonality

Monoclonal

Host

Mouse

Isotype

IgG1

Theoretical MW

48.5 kDa.
Disclaimer note: The observed molecular weight of the protein may vary from the listed predicted molecular weight due to post translational modifications, post translation cleavages, relative charges, and other experimental factors.

Description

Novus Biologicals Mouse LKB1/STK11 Antibody (OTI0A3) - Azide and BSA Free (NBP2-45460) is a monoclonal antibody validated for use in IHC and WB. All Novus Biologicals antibodies are covered by our 100% guarantee.

Scientific Data Images for LKB1/STK11 Antibody (OTI0A3) - Azide and BSA Free

Western Blot: LKB1/STK11 Antibody (OTI0A3)Azide and BSA Free [NBP2-71300]

Western Blot: LKB1/STK11 Antibody (OTI0A3)Azide and BSA Free [NBP2-71300]

Western Blot: LKB1/STK11 Antibody (OTI0A3) - Azide and BSA Free [NBP2-71300] - Analysis of HEK293T cells were transfected with the pCMV6-ENTRY control (Left lane) or pCMV6-ENTRY STK11.
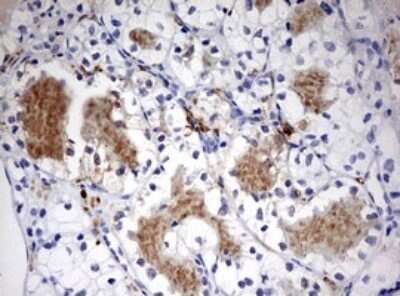
Immunohistochemistry: LKB1/STK11 Antibody (OTI0A3) - Azide and BSA Free [NBP2-71300]

Immunohistochemistry: LKB1/STK11 Antibody (OTI0A3) - Azide and BSA Free [NBP2-71300]

Immunohistochemistry: LKB1/STK11 Antibody (OTI0A3) - Azide and BSA Free [NBP2-71300] - Analysis of Human thyroid tissue. (Heat-induced epitope retrieval by 10mM citric buffer, pH6.0, 120C for 3min)
Immunohistochemistry: LKB1/STK11 Antibody (OTI0A3) - Azide and BSA Free [NBP2-71300]

Immunohistochemistry: LKB1/STK11 Antibody (OTI0A3) - Azide and BSA Free [NBP2-71300]

Immunohistochemistry: LKB1/STK11 Antibody (OTI0A3) - Azide and BSA Free [NBP2-71300] - Analysis of Adenocarcinoma of Human ovary tissue. (Heat-induced epitope retrieval by 10mM citric buffer, pH6.0, 120C for 3min)

Applications for LKB1/STK11 Antibody (OTI0A3) - Azide and BSA Free

Application
Recommended Usage

Immunohistochemistry

1:150

Western Blot

1:2000

Formulation, Preparation, and Storage

Purification

Immunogen affinity purified

Reconstitution

we recommend adding 100uL distilled water to a final antibody concentration of about 1 mg/mL. To use this carrier-free antibody for conjugation experiment, we strongly recommend performing another round of desalting process.

Formulation

Lyophilized from PBS (pH 7.3) with 8% Trehalose

Format

Azide and BSA Free

Preservative

No Preservative

Concentration

LYOPH mg/ml

Shipping

The product is shipped with polar packs. Upon receipt, store it immediately at the temperature recommended below.

Stability & Storage

Store at -20C. Avoid freeze-thaw cycles.

Background: LKB1/STK11

Peutz-Jeghers syndrome (PJS) is a rare hereditary disease characterized by melanocytic macules lips, gastrointestinal hamartomatous polyps and an increased risk for many classes of cancer. LKB1 (also designated STK11 and PJS) has been identified as the gene mutated in PJS. LKB1 is a 433 amino acid Serine/Threonine kinase with strong homology to the Xenopus cytoplasmic protein kinase XEEK1 and weaker similarity to many other protein kinases. LKB1 is ubiquitously expressed and many frameshift, deletion and splicing mutations have been identified in PJS patients. Despite the increased risk of cancer for PJS patients, LKB1 does not appear to play a major role in colorectal, testicular or breast cancers.

Long Name

Serine/threonine Protein Kinase LKB1

Alternate Names

PJS, STK11

Gene Symbol

STK11

Additional LKB1/STK11 Products

Product Documents for LKB1/STK11 Antibody (OTI0A3) - Azide and BSA Free

Certificate of Analysis

To download a Certificate of Analysis, please enter a lot number in the search box below.

Product Specific Notices for LKB1/STK11 Antibody (OTI0A3) - Azide and BSA Free

This product is for research use only and is not approved for use in humans or in clinical diagnosis. Primary Antibodies are guaranteed for 1 year from date of receipt.

Loading...
Loading...
Loading...
Loading...
Loading...