Skip to main content

LIPT2 Antibody - BSA Free

Novus Biologicals, part of Bio-Techne | Catalog # NBP1-91135

Novus Biologicals, part of Bio-Techne
Catalog #
Availability
Size / Price
Qty
Loading...
NBP1-91135-25ul
NBP1-91135

Key Product Details

Species Reactivity

Validated:

Human

Cited:

Human

Predicted:

Mouse (91%), Rat (90%). Backed by our 100% Guarantee.

Applications

Validated:

Immunohistochemistry, Immunohistochemistry-Paraffin, Immunocytochemistry/ Immunofluorescence

Cited:

Immunocytochemistry/ Immunofluorescence

Label

Unconjugated

Antibody Source

Polyclonal Rabbit IgG

Format

BSA Free

Concentration

Concentrations vary lot to lot. See vial label for concentration. If unlisted please contact technical services.

Product Specifications

Immunogen

This antibody was developed against Recombinant Protein corresponding to amino acids: CAIGVRCGRHITSHGLALNCSTDLTWFEHIVPCGLVGTGVTSLSKELQRHVTVEEVMPPFLVAFKEIYKCTLISEDS

Clonality

Polyclonal

Host

Rabbit

Isotype

IgG

Description

Novus Biologicals Rabbit LIPT2 Antibody - BSA Free (NBP1-91135) is a polyclonal antibody validated for use in IHC and ICC/IF. Anti-LIPT2 Antibody: Cited in 1 publication. All Novus Biologicals antibodies are covered by our 100% guarantee.

Scientific Data Images for LIPT2 Antibody - BSA Free

Immunocytochemistry/ Immunofluorescence: LIPT2 Antibody [NBP1-91135]

Immunocytochemistry/ Immunofluorescence: LIPT2 Antibody [NBP1-91135]

Immunocytochemistry/Immunofluorescence: LIPT2 Antibody [NBP1-91135] - Immunofluorescent staining of human cell line U-2 OS shows localization to vesicles.
LIPT2 Antibody

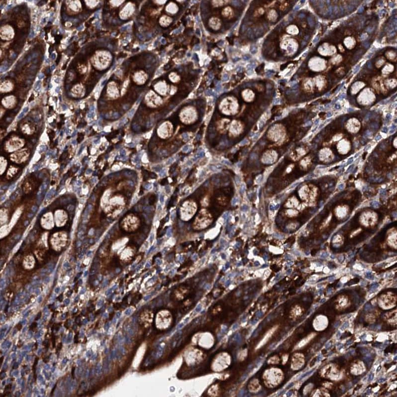
Immunohistochemistry-Paraffin: LIPT2 Antibody [NBP1-91135] -

Immunohistochemistry-Paraffin: LIPT2 Antibody [NBP1-91135] - Staining of human duodenum shows strong granular cytoplasmic positivity in glandular cells.
LIPT2 Antibody

Immunohistochemistry-Paraffin: LIPT2 Antibody [NBP1-91135] -

Immunohistochemistry-Paraffin: LIPT2 Antibody [NBP1-91135] - Staining of human cerebral cortex shows moderate granular cytoplasmic positivity in neurons.

Applications for LIPT2 Antibody - BSA Free

Application
Recommended Usage

Immunocytochemistry/ Immunofluorescence

0.25-2 ug/ml

Immunohistochemistry

1:20 - 1:50

Immunohistochemistry-Paraffin

1:20 - 1:50
Application Notes
For IHC-Paraffin, HIER pH 6 retrieval is recommended. ICC/IF,Fixation Permeabilization: Use PFA/Triton X-100.

Formulation, Preparation, and Storage

Purification

Affinity purified

Formulation

PBS (pH 7.2) and 40% Glycerol

Format

BSA Free

Preservative

0.02% Sodium Azide

Concentration

Concentrations vary lot to lot. See vial label for concentration. If unlisted please contact technical services.

Shipping

The product is shipped with polar packs. Upon receipt, store it immediately at the temperature recommended below.

Stability & Storage

Store at 4C short term. Aliquot and store at -20C long term. Avoid freeze-thaw cycles.

Background: LIPT2

Alternate Names

lipoyl(octanoyl) transferase 2 (putative), mitochondrial, octanoyl-acyl-carrier-protein-protein N-octanoyltransferase, putative octanoyltransferase, mitochondrial

Gene Symbol

LIPT2

Additional LIPT2 Products

Product Documents for LIPT2 Antibody - BSA Free

Certificate of Analysis

To download a Certificate of Analysis, please enter a lot number in the search box below.

Product Specific Notices for LIPT2 Antibody - BSA Free

This product is for research use only and is not approved for use in humans or in clinical diagnosis. Primary Antibodies are guaranteed for 1 year from date of receipt.

Loading...
Loading...
Loading...
Loading...