Western Blot: Lipase A AntibodyBSA Free [NBP1-54155]
Western Blot: Lipase A Antibody [NBP1-54155] - Analysis using NBP1-54155 on cellular extracts of human prostate adenoma tissue, DU145, PC3, and 22RV1 prostate cancer cell lines, and HFL1 Normal primary human fibroblasts. NBP1-54155 revealed a strong specific band at the expected molecular weight for Lipase A at 45 kDa in different lysates of human cancer cell lines. NBP1-54155 specifically reveals LIPA in extracts from human prostate adenoma tissue and prostate cancer cell lines DU145, PC3, and 22RV1.The protein bands were visible in the positive but not in the negative controls. Therefore, NBP1-54155 was found to be suitable for checking the expression levels of Lipase A protein. Image from verified customer review.
Simple Western: Lipase A AntibodyBSA Free [NBP1-54155]
Simple Western: Lipase A Antibody [NBP1-54155] - Image shows a specific band for Lipase A in 0.5 mg/mL of HepG2 lysate. This experiment was performed under reducing conditions using the 12-230 kDa separation system.
Immunocytochemistry/ Immunofluorescence: Lipase A Antibody - BSA Free [NBP1-54155]
Immunocytochemistry/Immunofluorescence: Lipase A Antibody [NBP1-54155] - HeLa cells were fixed in 4% paraformaldehyde for 10 minutes and permeabilized in 0.05% Triton X-100 in PBS for 5 minutes. The cells were incubated with anti-Lipase A Antibody NBP1-54155 at 2 ug/ml overnight at 4C and detected with an anti-mouse Dylight 488 (Green) at a 1:1000 dilution for 60 minutes. Nuclei were counterstained with DAPI (Blue). Cells were imaged using a 100X objective and digitally deconvolved.
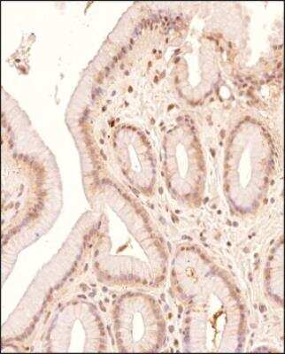
Immunohistochemistry-Paraffin: Lipase A Antibody - BSA Free [NBP1-54155]
Immunohistochemistry-Paraffin: Lipase A Antibody - BSA Free [NBP1-54155] - Analysis of a FFPE tissue section of human stomach using 1:200 dilution of Lipase A antibody (NBP1-54155). The staining was developed using HRP labeled anti-rabbit secondary antibody and DAB reagent, and nuclei of cells were counter-stained with hematoxylin.
Western Blot: Lipase A AntibodyBSA Free [NBP1-54155]
Western Blot: Lipase A Antibody [NBP1-54155] - Detection of LIPA in HepG2 whole cell extract.
Immunohistochemistry: Lipase A Antibody - BSA Free [NBP1-54155]
Immunohistochemistry: Lipase A Antibody [NBP1-54155] - Staining of LIPA in mouse stomach smooth muscle.
Western Blot: Lipase A Antibody - BSA Free [NBP1-54155] -
Western Blot: Lipase A Antibody - BSA Free [NBP1-54155] - FoxO1-mediated lysosomal acid lipase (Lipa) induction in NR & Metf-treated 3T3-L1 adipocytes. (a) WB of FoxO1, ATGL & Lipa in total protein extracts from 3T3-L1 adipocytes at different times of NR. (b) RT-qPCR analysis of relative Lipa & ATGL mRNA levels in 3T3-L1 after 4 h from NR. Dashed line indicates mRNA value of controls. (c) After 4 h from NR, 3T3-L1 adipocytes refed w/ complete cell culture medium (CM) up to 8 h. Total protein extracts used for WB analysis of FoxO1 & Lipa. (d) WB of FoxO1 in total & nuclear protein extracts from 3T3-L1 adipocytes at different times of NR. (e) ChIP assay carried out on crosslinked nuclei from 3T3-L1 adipocytes subjected to NR for 4 h & Metf for 16 h by using FoxO1 antibody followed by qPCR analysis of FoxO1RE on Lipa promoter (−51 bp). Dashed line indicates IgG value. (f & g) 3T3-L1 adipocytes transfected w/ siRNA against FoxO1 (FoxO1(−)) or w/ a scramble siRNA (Scr). WB of FoxO1 & Lipa (f) & RT-qPCR analysis of relative Lipa mRNA level (g) performed in 3T3-L1 adipocytes 4 h after NR. (h) WB of FoxO1 & Lipa in 3T3-L1 adipocytes at different times of 5 mM Metformin (Metf) treatment. (i) Confocal analysis of FoxO1 localization in 3T3-L1 adipocytes treated w/ 5 mM Metf for 16 h. Nuclei stained w/ Hoechst 33342. Colocalization plugin (ImageJ Software) used to identify FoxO1-Hoechst colocalization (white spots). (j) RT-qPCR analysis of relative Lipa mRNA level performed in 3T3-L1 adipocytes treated w/ Metf for 16 h. (k) 3T3-L1 adipocytes transfected w/ siRNA against FoxO1 (FoxO1(−)) or w/ a scramble siRNA (Scr). WB of FoxO1 & Lipa performed in 3T3-L1 adipocytes treated w/ 5 mM Metf for 24 h. All values given as mean±S.D. (n=4). *P<0.05, **P<0.01 versus controls. °P<0.05 versus NR Image collected & cropped by CiteAb from the following publication (https://pubmed.ncbi.nlm.nih.gov/24136225), licensed under a CC-BY license. Not internally tested by Novus Biologicals.
Western Blot: Lipase A Antibody - BSA Free [NBP1-54155] -
Western Blot: Lipase A Antibody - BSA Free [NBP1-54155] - FoxO1-mediated lysosomal acid lipase (Lipa) induction in NR & Metf-treated 3T3-L1 adipocytes. (a) WB of FoxO1, ATGL & Lipa in total protein extracts from 3T3-L1 adipocytes at different times of NR. (b) RT-qPCR analysis of relative Lipa & ATGL mRNA levels in 3T3-L1 after 4 h from NR. Dashed line indicates mRNA value of controls. (c) After 4 h from NR, 3T3-L1 adipocytes refed w/ complete cell culture medium (CM) up to 8 h. Total protein extracts used for WB analysis of FoxO1 & Lipa. (d) WB of FoxO1 in total & nuclear protein extracts from 3T3-L1 adipocytes at different times of NR. (e) ChIP assay carried out on crosslinked nuclei from 3T3-L1 adipocytes subjected to NR for 4 h & Metf for 16 h by using FoxO1 antibody followed by qPCR analysis of FoxO1RE on Lipa promoter (−51 bp). Dashed line indicates IgG value. (f & g) 3T3-L1 adipocytes transfected w/ siRNA against FoxO1 (FoxO1(−)) or w/ a scramble siRNA (Scr). WB of FoxO1 & Lipa (f) & RT-qPCR analysis of relative Lipa mRNA level (g) performed in 3T3-L1 adipocytes 4 h after NR. (h) WB of FoxO1 & Lipa in 3T3-L1 adipocytes at different times of 5 mM Metformin (Metf) treatment. (i) Confocal analysis of FoxO1 localization in 3T3-L1 adipocytes treated w/ 5 mM Metf for 16 h. Nuclei stained w/ Hoechst 33342. Colocalization plugin (ImageJ Software) used to identify FoxO1-Hoechst colocalization (white spots). (j) RT-qPCR analysis of relative Lipa mRNA level performed in 3T3-L1 adipocytes treated w/ Metf for 16 h. (k) 3T3-L1 adipocytes transfected w/ siRNA against FoxO1 (FoxO1(−)) or w/ a scramble siRNA (Scr). WB of FoxO1 & Lipa performed in 3T3-L1 adipocytes treated w/ 5 mM Metf for 24 h. All values given as mean±S.D. (n=4). *P<0.05, **P<0.01 versus controls. °P<0.05 versus NR Image collected & cropped by CiteAb from the following publication (https://pubmed.ncbi.nlm.nih.gov/24136225), licensed under a CC-BY license. Not internally tested by Novus Biologicals.
Western Blot: Lipase A Antibody - BSA Free [NBP1-54155] -
Western Blot: Lipase A Antibody - BSA Free [NBP1-54155] - AMPK drives Lipa-released FFAs oxidation restraining energetic catastrophe. (a) 3T3-L1 cells were transfected with DN-AMPK or empty vector. RT-qPCR analysis of relative peroxisome proliferator-activated receptor gamma-1 alpha, peroxisome proliferator-activated receptor-alpha, carnitine palmitoyltransferase 1b & acyl-CoA oxidase 1 mRNA levels were performed after 4 h of NR or 16 h of Metf treatment. Dashed line indicates the mRNA value of untreated DN-AMPK cells (Ctr). mRNA levels of untreated cells transfected with empty vector were similar to untreated DN-AMPK cells (data not shown). (b) Cheminoluminescent assay of ATP level in 3T3-L1 adipocytes transfected with DN-AMPK or empty vector after 8 h NR or 16 h Metf treatment. ATP level was expressed as pmol ATP per mg protein. (c) After 8 h of NR or 16 h Metf treatment, FFAs were enzymatically detected in culture medium of 3T3-L1 adipocytes transfected with DN-AMPK or empty vector. Values were expressed as μg FFAs per mg protein. (d) Left panel: western blot of AMPKpT172, PARP-1 & cleaved form of caspase-3 in 3T3-L1 adipocytes transfected with DN-AMPK or empty vector & subjected to 8 h NR. Right panel: cytofluorimetric analysis of apoptosis in DN-AMPK cells subjected to 8 h NR. (e) Western blot of PARP-1 & cleaved form of caspase-3 in 3T3-L1 adipocytes transfected with DN-AMPK or empty vector & treated with Metf for 16 h. (f) Western blot of FoxO1, Lipa, LC3 in 3T3-L1 adipocytes transfected with DN-AMPK or empty vector & subjected to 4 h NR. beta-actin was used as loading control. All values are given as mean±S.D. *P<0.05, **P<0.01 versus controls; °P<0.05, °°P<0.01 versus Metf treatment. All data are representative of at least three independent experiments Image collected & cropped by CiteAb from the following publication (https://pubmed.ncbi.nlm.nih.gov/24136225), licensed under a CC-BY license. Not internally tested by Novus Biologicals.
Western Blot: Lipase A Antibody - BSA Free [NBP1-54155] -
Western Blot: Lipase A Antibody - BSA Free [NBP1-54155] - FoxO1-mediated lysosomal acid lipase (Lipa) induction in NR & Metf-treated 3T3-L1 adipocytes. (a) WB of FoxO1, ATGL & Lipa in total protein extracts from 3T3-L1 adipocytes at different times of NR. (b) RT-qPCR analysis of relative Lipa & ATGL mRNA levels in 3T3-L1 after 4 h from NR. Dashed line indicates mRNA value of controls. (c) After 4 h from NR, 3T3-L1 adipocytes refed w/ complete cell culture medium (CM) up to 8 h. Total protein extracts used for WB analysis of FoxO1 & Lipa. (d) WB of FoxO1 in total & nuclear protein extracts from 3T3-L1 adipocytes at different times of NR. (e) ChIP assay carried out on crosslinked nuclei from 3T3-L1 adipocytes subjected to NR for 4 h & Metf for 16 h by using FoxO1 antibody followed by qPCR analysis of FoxO1RE on Lipa promoter (−51 bp). Dashed line indicates IgG value. (f & g) 3T3-L1 adipocytes transfected w/ siRNA against FoxO1 (FoxO1(−)) or w/ a scramble siRNA (Scr). WB of FoxO1 & Lipa (f) & RT-qPCR analysis of relative Lipa mRNA level (g) performed in 3T3-L1 adipocytes 4 h after NR. (h) WB of FoxO1 & Lipa in 3T3-L1 adipocytes at different times of 5 mM Metformin (Metf) treatment. (i) Confocal analysis of FoxO1 localization in 3T3-L1 adipocytes treated w/ 5 mM Metf for 16 h. Nuclei stained w/ Hoechst 33342. Colocalization plugin (ImageJ Software) used to identify FoxO1-Hoechst colocalization (white spots). (j) RT-qPCR analysis of relative Lipa mRNA level performed in 3T3-L1 adipocytes treated w/ Metf for 16 h. (k) 3T3-L1 adipocytes transfected w/ siRNA against FoxO1 (FoxO1(−)) or w/ a scramble siRNA (Scr). WB of FoxO1 & Lipa performed in 3T3-L1 adipocytes treated w/ 5 mM Metf for 24 h. All values given as mean±S.D. (n=4). *P<0.05, **P<0.01 versus controls. °P<0.05 versus NR Image collected & cropped by CiteAb from the following publication (https://pubmed.ncbi.nlm.nih.gov/24136225), licensed under a CC-BY license. Not internally tested by Novus Biologicals.
Western Blot: Lipase A Antibody - BSA Free [NBP1-54155] -
Western Blot: Lipase A Antibody - BSA Free [NBP1-54155] - FoxO1-mediated lysosomal acid lipase (Lipa) induction in NR & Metf-treated 3T3-L1 adipocytes. (a) WB of FoxO1, ATGL & Lipa in total protein extracts from 3T3-L1 adipocytes at different times of NR. (b) RT-qPCR analysis of relative Lipa & ATGL mRNA levels in 3T3-L1 after 4 h from NR. Dashed line indicates mRNA value of controls. (c) After 4 h from NR, 3T3-L1 adipocytes refed w/ complete cell culture medium (CM) up to 8 h. Total protein extracts used for WB analysis of FoxO1 & Lipa. (d) WB of FoxO1 in total & nuclear protein extracts from 3T3-L1 adipocytes at different times of NR. (e) ChIP assay carried out on crosslinked nuclei from 3T3-L1 adipocytes subjected to NR for 4 h & Metf for 16 h by using FoxO1 antibody followed by qPCR analysis of FoxO1RE on Lipa promoter (−51 bp). Dashed line indicates IgG value. (f & g) 3T3-L1 adipocytes transfected w/ siRNA against FoxO1 (FoxO1(−)) or w/ a scramble siRNA (Scr). WB of FoxO1 & Lipa (f) & RT-qPCR analysis of relative Lipa mRNA level (g) performed in 3T3-L1 adipocytes 4 h after NR. (h) WB of FoxO1 & Lipa in 3T3-L1 adipocytes at different times of 5 mM Metformin (Metf) treatment. (i) Confocal analysis of FoxO1 localization in 3T3-L1 adipocytes treated w/ 5 mM Metf for 16 h. Nuclei stained w/ Hoechst 33342. Colocalization plugin (ImageJ Software) used to identify FoxO1-Hoechst colocalization (white spots). (j) RT-qPCR analysis of relative Lipa mRNA level performed in 3T3-L1 adipocytes treated w/ Metf for 16 h. (k) 3T3-L1 adipocytes transfected w/ siRNA against FoxO1 (FoxO1(−)) or w/ a scramble siRNA (Scr). WB of FoxO1 & Lipa performed in 3T3-L1 adipocytes treated w/ 5 mM Metf for 24 h. All values given as mean±S.D. (n=4). *P<0.05, **P<0.01 versus controls. °P<0.05 versus NR Image collected & cropped by CiteAb from the following publication (https://pubmed.ncbi.nlm.nih.gov/24136225), licensed under a CC-BY license. Not internally tested by Novus Biologicals.
Western Blot: Lipase A Antibody - BSA Free [NBP1-54155] -
Western Blot: Lipase A Antibody - BSA Free [NBP1-54155] - Lipa downregulation impairs lipid breakdown & elicits cell death in nutrient restricted adipocytes. (a) 3T3-L1 adipocytes were transfected with siRNA against Lipa (Lipa(−)) or with a scramble siRNA (Scr). Western blot of Lipa, PARP-1 & cleaved form of caspase-3 in total protein extracts from 3T3-L1 adipocytes after 4 h of NR. (b) TG content was quantified by ORO staining in fixed 3T3-L1 adipocytes 6 h after NR. (c) RT-qPCR analysis of relative peroxisome proliferator-activated receptor gamma-1 alpha, peroxisome proliferator-activated receptor-alpha & carnitine palmitoyltransferase 1b mRNA levels was performed in 3T3-L1 adipocytes 4 h after NR. (d) FFAs were analyzed in culture medium 6 h after NR. beta-actin was used as loading control. All values are given as mean±S.D. *P<0.05, **P<0.01 versus controls; °P<0.05 versus NR treatment. All data are representative of at least three independent experiments Image collected & cropped by CiteAb from the following publication (https://pubmed.ncbi.nlm.nih.gov/24136225), licensed under a CC-BY license. Not internally tested by Novus Biologicals.
Western Blot: Lipase A Antibody - BSA Free [NBP1-54155] -
Western Blot: Lipase A Antibody - BSA Free [NBP1-54155] - FoxO1-mediated lysosomal acid lipase (Lipa) induction in NR & Metf-treated 3T3-L1 adipocytes. (a) WB of FoxO1, ATGL & Lipa in total protein extracts from 3T3-L1 adipocytes at different times of NR. (b) RT-qPCR analysis of relative Lipa & ATGL mRNA levels in 3T3-L1 after 4 h from NR. Dashed line indicates mRNA value of controls. (c) After 4 h from NR, 3T3-L1 adipocytes refed w/ complete cell culture medium (CM) up to 8 h. Total protein extracts used for WB analysis of FoxO1 & Lipa. (d) WB of FoxO1 in total & nuclear protein extracts from 3T3-L1 adipocytes at different times of NR. (e) ChIP assay carried out on crosslinked nuclei from 3T3-L1 adipocytes subjected to NR for 4 h & Metf for 16 h by using FoxO1 antibody followed by qPCR analysis of FoxO1RE on Lipa promoter (−51 bp). Dashed line indicates IgG value. (f & g) 3T3-L1 adipocytes transfected w/ siRNA against FoxO1 (FoxO1(−)) or w/ a scramble siRNA (Scr). WB of FoxO1 & Lipa (f) & RT-qPCR analysis of relative Lipa mRNA level (g) performed in 3T3-L1 adipocytes 4 h after NR. (h) WB of FoxO1 & Lipa in 3T3-L1 adipocytes at different times of 5 mM Metformin (Metf) treatment. (i) Confocal analysis of FoxO1 localization in 3T3-L1 adipocytes treated w/ 5 mM Metf for 16 h. Nuclei stained w/ Hoechst 33342. Colocalization plugin (ImageJ Software) used to identify FoxO1-Hoechst colocalization (white spots). (j) RT-qPCR analysis of relative Lipa mRNA level performed in 3T3-L1 adipocytes treated w/ Metf for 16 h. (k) 3T3-L1 adipocytes transfected w/ siRNA against FoxO1 (FoxO1(−)) or w/ a scramble siRNA (Scr). WB of FoxO1 & Lipa performed in 3T3-L1 adipocytes treated w/ 5 mM Metf for 24 h. All values given as mean±S.D. (n=4). *P<0.05, **P<0.01 versus controls. °P<0.05 versus NR Image collected & cropped by CiteAb from the following publication (https://pubmed.ncbi.nlm.nih.gov/24136225), licensed under a CC-BY license. Not internally tested by Novus Biologicals.