Skip to main content

LIMPII/SR-B2 Antibody - BSA Free

Novus Biologicals, part of Bio-Techne | Catalog # NBP1-77326

Novus Biologicals, part of Bio-Techne

Key Product Details

Species Reactivity

Validated:

Human, Mouse, Rat

Cited:

Rat

Applications

Validated:

Immunohistochemistry, Immunohistochemistry-Paraffin, Immunohistochemistry-Frozen, Western Blot, ELISA, Immunocytochemistry/ Immunofluorescence, Simple Western

Cited:

Immunohistochemistry-Frozen

Label

Unconjugated

Antibody Source

Polyclonal Rabbit IgG

Format

BSA Free

Concentration

1 mg/ml

Product Specifications

Immunogen

Antibody was raised against a 16 amino acid synthetic peptide from near the center of human LIMP2. The immunogen is located within amino acids 70 - 120 of LIMP2. Amino Acid Squence: EEVGPYTYRELRNKAN

Reactivity Notes

Rat reactivity reported in the scientific literature (PMID: 23825416) and by customer review.

Marker

Lysosome Marker

Clonality

Polyclonal

Host

Rabbit

Isotype

IgG

Theoretical MW

57 kDa.
Disclaimer note: The observed molecular weight of the protein may vary from the listed predicted molecular weight due to post translational modifications, post translation cleavages, relative charges, and other experimental factors.

Description

Novus Biologicals Rabbit LIMPII/SR-B2 Antibody - BSA Free (NBP1-77326) is a polyclonal antibody validated for use in IHC, WB, ELISA, ICC/IF and Simple Western. Anti-LIMPII/SR-B2 Antibody: Cited in 7 publications. All Novus Biologicals antibodies are covered by our 100% guarantee.

Scientific Data Images for LIMPII/SR-B2 Antibody - BSA Free

Western Blot: LIMPII/SR-B2 AntibodyBSA Free [NBP1-77326]

Western Blot: LIMPII/SR-B2 AntibodyBSA Free [NBP1-77326]

Western Blot: LIMPII/SR-B2 Antibody [NBP1-77326] - Analysis in mouse liver tissue lysate with antibody at 1 ug/mL in (A) the absence and (B) presence of blocking peptide.
Simple Western: LIMPII/SR-B2 AntibodyBSA Free [NBP1-77326]

Simple Western: LIMPII/SR-B2 AntibodyBSA Free [NBP1-77326]

Simple Western: LIMPII/SR-B2 Antibody [NBP1-77326] - Whole cell lysates from the indicated cell lines were probed, at the indicated concentrations, with a 1:25 dilution of antibody. Image from verified customer review.
LIMPII/SR-B2 Antibody - BSA Free

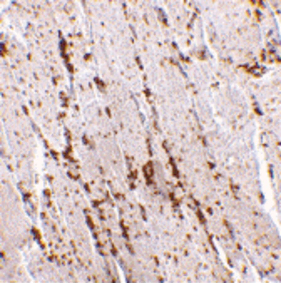
Immunohistochemistry: LIMPII/SR-B2 Antibody - BSA Free [NBP1-77326] -

Immunohistochemistry: LIMPII/SR-B2 Antibody - BSA Free [NBP1-77326] - Immunohistochemistry of LIMPII/SR-B2 in human skeletal muscle tissue with LIMPII/SR-B2 antibody at 2.5 u/mL.

Applications for LIMPII/SR-B2 Antibody - BSA Free

Application
Recommended Usage

ELISA

1:100-1:2000

Immunocytochemistry/ Immunofluorescence

20 ug/mL

Immunohistochemistry

2.5 ug/ml

Immunohistochemistry-Paraffin

2.5 ug/ml

Western Blot

1 ug/ml
Application Notes
Use in IHC-frozen sections was reported in the scientific literature (PMID: 23825416). Use in Simple Western reported by customer review.
See Simple Western Antibody Database for Simple Western validation: separated by Size, antibody dilution of 1:25

Reviewed Applications

Read 1 review rated 3 using NBP1-77326 in the following applications:

Formulation, Preparation, and Storage

Purification

Peptide affinity purified

Formulation

PBS

Format

BSA Free

Preservative

0.02% Sodium Azide

Concentration

1 mg/ml

Shipping

The product is shipped with polar packs. Upon receipt, store it immediately at the temperature recommended below.

Stability & Storage

Store at 4C.

Background: LIMPII/SR-B2

The lysosomal integral membrane protein 2 (LIMP2) is a heavily glycosylated type III transmembrane protein, the majority of which exists in the lumen of the lysosome and a cytoplasmic domain of approximately 20 amino acids. A deficiency of LIMP2 in mice causes uretic pelvic junction obstruction, deafness, and peripheral neuropathy associated with impaired vesicular trafficking and distribution of apically expressed proteins. More recently, LIMP2 was shown to act as a receptor to bind beta-glucocerebrosidase, the enzyme defective in Gaucher disease, a lysosomal storage disorder. LIMP2-deficient mice showed missorted as well as secreted beta-glucocerebrosidase, suggesting that LIMP2 also functions as the mannose-6-phosphate-independent trafficking receptor. Despite its predicted molecular weight, LIMP2 runs at approximately 80 - 85 kDa in SDS-PAGE.

Long Name

Lysosomal Integral Membrane Protein II

Alternate Names

CD36L2, LPG85, SCARB2, SR-B2, SR-BII, SRB2

Entrez Gene IDs

950 (Human)

Gene Symbol

SCARB2

UniProt

Additional LIMPII/SR-B2 Products

Product Documents for LIMPII/SR-B2 Antibody - BSA Free

Certificate of Analysis

To download a Certificate of Analysis, please enter a lot number in the search box below.

Product Specific Notices for LIMPII/SR-B2 Antibody - BSA Free

This product is for research use only and is not approved for use in humans or in clinical diagnosis. Primary Antibodies are guaranteed for 1 year from date of receipt.

Loading...
Loading...
Loading...
Loading...