Skip to main content

LIMPII/SR-B2 Antibody (7D2P5)

Novus Biologicals, part of Bio-Techne | Catalog # NBP3-16779

Recombinant Monoclonal Antibody
Novus Biologicals, part of Bio-Techne
Catalog #
Availability
Size / Price
Qty
Loading...
NBP3-16779-100ul
NBP3-16779-20ul

Key Product Details

Species Reactivity

Human, Mouse, Rat

Applications

Immunohistochemistry, Immunohistochemistry-Paraffin, Western Blot

Label

Unconjugated

Antibody Source

Recombinant Monoclonal Rabbit IgG Clone # 7D2P5 expressed in HEK293

Concentration

Please see the vial label for concentration. If unlisted please contact technical services.

Product Specifications

Immunogen

A synthetic peptide corresponding to a sequence within amino acids 1-100 of human SR-B2/LIMPII/SR-B2 (Q14108). MGRCCFYTAGTLSLLLLVTSVTLLVARVFQKAVDQSIEKKIVLRNGTEAFDSWEKPPLPVYTQFYFFNVTNPEEILRGETPRVEEVGPYTYRELRNKANI

Clonality

Monoclonal

Host

Rabbit

Isotype

IgG

Description

Novus Biologicals Rabbit LIMPII/SR-B2 Antibody (7D2P5) (NBP3-16779) is a recombinant monoclonal antibody validated for use in IHC and WB. All Novus Biologicals antibodies are covered by our 100% guarantee.

Scientific Data Images for LIMPII/SR-B2 Antibody (7D2P5)

Western Blot: LIMPII/SR-B2 Antibody (7D2P5) [NBP3-16779]

Western Blot: LIMPII/SR-B2 Antibody (7D2P5) [NBP3-16779]

Western Blot: LIMPII/SR-B2 Antibody (7D2P5) [NBP3-16779] - Western blot analysis of extracts of various cell lines, using SR-B2/LIMPII/SR-B2 Rabbit mAb (NBP3-16779) at 1:1000 dilution. Secondary antibody: HRP Goat Anti-Rabbit IgG (H+L) at 1:10000 dilution. Lysates/proteins: 25ug per lane. Blocking buffer: 3% nonfat dry milk in TBST. Detection: ECL Basic Kit. Exposure time: 10s.
LIMPII/SR-B2 Antibody (7D2P5)

Immunohistochemistry: LIMPII/SR-B2 Antibody (7D2P5) [NBP3-16779] -

Immunohistochemistry: LIMPII/SR-B2 Antibody (7D2P5) [NBP3-16779] - Immunohistochemistry analysis of LIMPII/SR-B2 in paraffin-embedded human liver tissue using LIMPII/SR-B2 Rabbit mAb at a dilution of 1:1000 (40x lens).High pressure antigen retrieval was performed with 0.01 M citrate buffer (pH 6.0) prior to IHC staining.
LIMPII/SR-B2 Antibody (7D2P5)

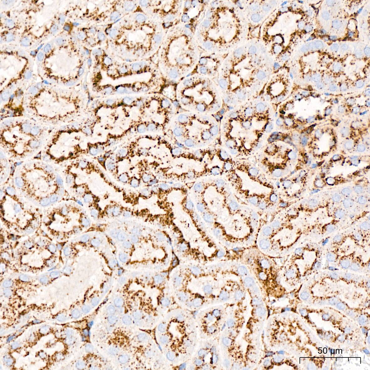
Immunohistochemistry: LIMPII/SR-B2 Antibody (7D2P5) [NBP3-16779] -

Immunohistochemistry: LIMPII/SR-B2 Antibody (7D2P5) [NBP3-16779] - Immunohistochemistry analysis of LIMPII/SR-B2 in paraffin-embedded mouse kidney tissue using LIMPII/SR-B2 Rabbit mAb at a dilution of 1:1000 (40x lens).High pressure antigen retrieval was performed with 0.01 M citrate buffer (pH 6.0) prior to IHC staining.

Applications for LIMPII/SR-B2 Antibody (7D2P5)

Application
Recommended Usage

Immunohistochemistry

1:50 - 1:200

Western Blot

1:500 - 1:1000

Formulation, Preparation, and Storage

Purification

Affinity purified

Formulation

PBS (pH 7.3), 50% glycerol, 0.05% BSA

Preservative

0.02% Sodium Azide

Concentration

Please see the vial label for concentration. If unlisted please contact technical services.

Shipping

The product is shipped with polar packs. Upon receipt, store it immediately at the temperature recommended below.

Stability & Storage

Store at -20C. Avoid freeze-thaw cycles.

Background: LIMPII/SR-B2

High density lipoproteins (HDLs) play a critical role in cholesterol metabolism and their plasma concentrations are inversely correlated with risk for atherosclerosis. SR-BI and SR-BII (previously known as SR-BI.2) are the alternatively spliced products of a single gene. SR-BII differs from SR-BI in that the encoded c-terminal cytoplasmic domain is almost completely different. SR-BII binds HDLs and mediates selective uptake of HDL cholesteryl ester, but with an approximately 4-fold lower efficiency than SR-BI. Nuclease protection assays show SR-BII to be abundant in mouse tissues expressing SR-BI, with SR-BII expression found in liver, adrenal glands, and testes. Although the role of SR-BII is not completely clear, research suggests that it may be a functional HDL receptor. In addition, SR-BII mRNA results from the alternative splicing of SR-BI precursor transcripts with the SR-BII isoform mediating selective transfer of lipid between HDL and cells. The relative expression and functional activities of these two isoforms create a potential means of regulating selective lipid transfer between HDL and cells.

Long Name

Lysosomal Integral Membrane Protein II

Alternate Names

CD36L2, LPG85, SCARB2, SR-B2, SR-BII, SRB2

Gene Symbol

SCARB2

Additional LIMPII/SR-B2 Products

Product Documents for LIMPII/SR-B2 Antibody (7D2P5)

Certificate of Analysis

To download a Certificate of Analysis, please enter a lot number in the search box below.

Product Specific Notices for LIMPII/SR-B2 Antibody (7D2P5)

This product is for research use only and is not approved for use in humans or in clinical diagnosis. Primary Antibodies are guaranteed for 1 year from date of receipt.

Loading...
Loading...
Loading...
Loading...