Skip to main content

LHR Antibody (LHCGR/7399)

Novus Biologicals, part of Bio-Techne | Catalog # NBP3-26818

Novus Biologicals, part of Bio-Techne
Catalog #
Availability
Size / Price
Qty
Loading...
NBP3-26818-20ug
NBP3-26818-100ug

Key Product Details

Species Reactivity

Human

Applications

Immunohistochemistry-Paraffin

Label

Unconjugated

Antibody Source

Monoclonal Mouse IgG2 kappa Clone # LHCGR/7399

Concentration

0.2 mg/ml

Product Specifications

Immunogen

Recombinant fragment (around aa 100-300) of human LHR protein (exact sequence is proprietary)

Localization

Cytoplasm, Cell surface

Clonality

Monoclonal

Host

Mouse

Isotype

IgG2 kappa

Description

Antibody with azide - store at 2 to 8C. Antibody without azide - store at -20 to -80C. Non-hazardous. No MSDS required.

Scientific Data Images for LHR Antibody (LHCGR/7399)

LHR Antibody (LHCGR/7399)

Immunohistochemistry-Paraffin: LHR Antibody (LHCGR/7399) [NBP3-26818 ] -

Formalin-fixed, paraffin-embedded human ovarian carcinoma stained with LHR Antibody (LHCGR/7399). HIER: Tris/EDTA, pH9.0, 45min. 2°C: HRP-polymer, 30min. DAB, 5min.
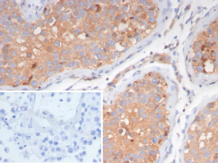
LHR Antibody (LHCGR/7399)

Immunohistochemistry-Paraffin: LHR Antibody (LHCGR/7399) [NBP3-26818 ] -

Formalin-fixed, paraffin-embedded human testis stained with LHR Antibody (LHCGR/7399). Inset: PBS instead of primary antibody; secondary only negative control.

Applications for LHR Antibody (LHCGR/7399)

Application
Recommended Usage

Immunohistochemistry-Paraffin

1-2ug/ml for 30 minutes at RT
Application Notes
Immunohistochemistry-Paraffin 1-2ug/ml for 30 minutes at RT. Optimal dilution for a specific application should be determined.. Staining of formalin-fixed tissues requires heating tissue sections in 10mM Tris with 1mM EDTA, pH 9.0, for 45 min at 95C followed by cooling at RT for 20 minutes

Formulation, Preparation, and Storage

Purification

Protein A or G purified

Formulation

10mM PBS with 0.05% BSA

Preservative

0.05% Sodium Azide

Concentration

0.2 mg/ml

Shipping

The product is shipped with polar packs. Upon receipt, store it immediately at the temperature recommended below.

Stability & Storage

Store at 4C.

Background: LHR

LHCGR has been reported in brain, cervix, epididymis, ovary, placenta, prostate, testis, umbilical cord, and uterus. ESTs have been isolated from fetal lung/testis/B-cell and testis libraries.

Long Name

Luteinizing Hormone Receptor/Choriogonadotropin Receptor

Alternate Names

CGR, HHG, LCGR, LGR2, LHCGR, ULG5

Gene Symbol

LHCGR

Additional LHR Products

Product Documents for LHR Antibody (LHCGR/7399)

Certificate of Analysis

To download a Certificate of Analysis, please enter a lot number in the search box below.

Product Specific Notices for LHR Antibody (LHCGR/7399)

This product is for research use only and is not approved for use in humans or in clinical diagnosis. Primary Antibodies are guaranteed for 1 year from date of receipt.

Loading...
Loading...
Loading...
Loading...