Skip to main content

LEUTX Antibody - BSA Free

Novus Biologicals, part of Bio-Techne | Catalog # NBP1-90890

Novus Biologicals, part of Bio-Techne
Catalog #
Availability
Size / Price
Qty
Loading...
NBP1-90890-25ul
NBP1-90890

Key Product Details

Species Reactivity

Human

Applications

Validated:

Immunohistochemistry, Immunohistochemistry-Paraffin, Immunocytochemistry/ Immunofluorescence, Chromatin Immunoprecipitation-exo-Seq

Cited:

Immunocytochemistry/ Immunofluorescence

Label

Unconjugated

Antibody Source

Polyclonal Rabbit IgG

Format

BSA Free

Concentration

Concentrations vary lot to lot. See vial label for concentration. If unlisted please contact technical services.

Product Specifications

Immunogen

This antibody was developed against Recombinant Protein corresponding to amino acids: AKWKRQQRQQMQTRPSLGPANQTTSVKKEETPSAITTANIRPVSPGISDANDHDLREPSGIKNPGGASASARVSSW

Clonality

Polyclonal

Host

Rabbit

Isotype

IgG

Scientific Data Images for LEUTX Antibody - BSA Free

Immunocytochemistry/ Immunofluorescence: LEUTX Antibody [NBP1-90890]

Immunocytochemistry/ Immunofluorescence: LEUTX Antibody [NBP1-90890]

Immunocytochemistry/Immunofluorescence: LEUTX Antibody [NBP1-90890] - Staining of human cell line U-251 MG shows localization to nucleus & nucleoli. Antibody staining is shown in green.
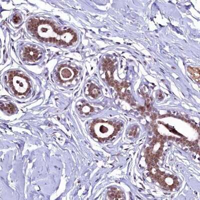
Immunohistochemistry-Paraffin: LEUTX Antibody [NBP1-90890]

Immunohistochemistry-Paraffin: LEUTX Antibody [NBP1-90890]

Immunohistochemistry-Paraffin: LEUTX Antibody [NBP1-90890] - Staining of human breast shows moderate cytoplasmic and nuclear positivity in glandular cells.
LEUTX Antibody - BSA Free Chromatin Immunoprecipitation-exo-Seq: LEUTX Antibody - BSA Free [NBP1-90890]

Chromatin Immunoprecipitation-exo-Seq: LEUTX Antibody - BSA Free [NBP1-90890]

ChIP-Exo-Seq composite graph for Anti-LEUTX (NBP1-90890) tested in K562 cells. Strand-specific reads (blue: forward, red: reverse) and IgG controls (black: forward, grey: reverse) are plotted against the distance from a composite set of reference binding sites. The antibody exhibits robust target enrichment compared to a non-specific IgG control and precisely reveals its structural organization around the binding site. Data generated by Prof. B. F. Pugh´s Lab at Cornell University.

Applications for LEUTX Antibody - BSA Free

Application
Recommended Usage

Chromatin Immunoprecipitation-exo-Seq

1-10ug per reaction

Immunocytochemistry/ Immunofluorescence

0.25-2 ug/ml

Immunohistochemistry

1:20 - 1:50

Immunohistochemistry-Paraffin

1:20 - 1:50
Application Notes
IHC-Paraffin, HIER pH 6 retrieval is recommended. ICC/IF, Fixation Permeabilization: Use PFA/Triton X-100.

Formulation, Preparation, and Storage

Purification

Affinity purified

Formulation

PBS (pH 7.2) and 40% Glycerol

Format

BSA Free

Preservative

0.02% Sodium Azide

Concentration

Concentrations vary lot to lot. See vial label for concentration. If unlisted please contact technical services.

Shipping

The product is shipped with polar packs. Upon receipt, store it immediately at the temperature recommended below.

Stability & Storage

Store at 4C short term. Aliquot and store at -20C long term. Avoid freeze-thaw cycles.

Background: LEUTX

Alternate Names

arginine-fifty homeobox-like pseudogene, leucine twenty homeobox, leucine-twenty homeobox, putative leucine-twenty homeobox

Gene Symbol

LEUTX

Additional LEUTX Products

Product Documents for LEUTX Antibody - BSA Free

Certificate of Analysis

To download a Certificate of Analysis, please enter a lot number in the search box below.

Product Specific Notices for LEUTX Antibody - BSA Free

This product is for research use only and is not approved for use in humans or in clinical diagnosis. Primary Antibodies are guaranteed for 1 year from date of receipt.

Loading...
Loading...
Loading...
Loading...