Skip to main content

LEO1 Antibody - Azide and BSA Free

Novus Biologicals, part of Bio-Techne | Catalog # NBP3-16704

Novus Biologicals, part of Bio-Techne
Catalog #
Availability
Size / Price
Qty
Loading...
NBP3-16704-20ul
NBP3-16704-100ul

Key Product Details

Species Reactivity

Human, Mouse, Rat

Applications

Immunohistochemistry, Immunohistochemistry-Paraffin, Western Blot, Immunocytochemistry/ Immunofluorescence

Label

Unconjugated

Antibody Source

Polyclonal Rabbit IgG

Format

Azide and BSA Free

Concentration

Please see the vial label for concentration. If unlisted please contact technical services.

Product Specifications

Immunogen

Recombinant fusion protein containing a sequence corresponding to amino acids 340-570 of human LEO1 (NP_620147.1). ENGLPQDQQEEEPIPETRIEVEIPKVNTDLGNDLYFVKLPNFLSVEPRPFDPQYYEDEFEDEEMLDEEGRTRLKLKVENTIRWRIRRDEEGNEIKESNARIVKWSDGSMSLHLGNEVFDVYKAPLQGDHNHLFIRQGTGLQGQAVFKTKLTFRPHSTDSATHRKMTLSLADRCSKTQKIRILPMAGRDPECQRTEMIKKEEERLRASIRRESQQRRMREKQHQRGLSASYL

Clonality

Polyclonal

Host

Rabbit

Isotype

IgG

Description

Novus Biologicals Rabbit LEO1 Antibody - Azide and BSA Free (NBP3-16704) is a polyclonal antibody validated for use in IHC, WB and ICC/IF. All Novus Biologicals antibodies are covered by our 100% guarantee.

Scientific Data Images for LEO1 Antibody - Azide and BSA Free

Western Blot: LEO1 AntibodyAzide and BSA Free [NBP3-16704]

Western Blot: LEO1 AntibodyAzide and BSA Free [NBP3-16704]

Western Blot: LEO1 Antibody [NBP3-16704] - Western blot analysis of extracts of various cell lines, using LEO1 antibody (NBP3-16704) at 1:1000 dilution. Secondary antibody: HRP Goat Anti-Rabbit IgG (H+L) at 1:10000 dilution. Lysates/proteins: 25ug per lane. Blocking buffer: 3% nonfat dry milk in TBST. Detection: ECL Basic Kit. Exposure time: 1s.
Immunocytochemistry/ Immunofluorescence: LEO1 Antibody - Azide and BSA Free [NBP3-16704]

Immunocytochemistry/ Immunofluorescence: LEO1 Antibody - Azide and BSA Free [NBP3-16704]

Immunocytochemistry/Immunofluorescence: LEO1 Antibody [NBP3-16704] - Immunofluorescence analysis of U2OS cells using LEO1 Rabbit pAb (NBP3-16704) at dilution of 1:50 (40x lens). Blue: DAPI for nuclear staining.
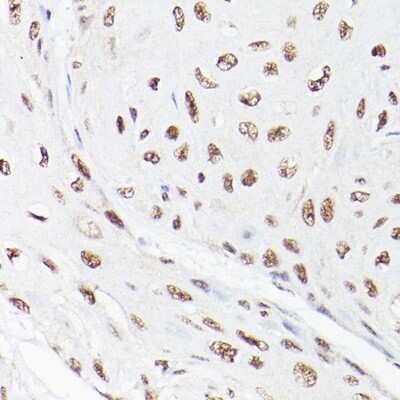
Immunohistochemistry-Paraffin: LEO1 Antibody - Azide and BSA Free [NBP3-16704]

Immunohistochemistry-Paraffin: LEO1 Antibody - Azide and BSA Free [NBP3-16704]

Immunohistochemistry-Paraffin: LEO1 Antibody [NBP3-16704] - Immunohistochemistry of paraffin-embedded mouse liver using LEO1 Rabbit pAb (NBP3-16704) at dilution of 1:100 (40x lens).Perform high pressure antigen retrieval with 10 mM citrate buffer pH 6.0 before commencing with IHC staining protocol.

Applications for LEO1 Antibody - Azide and BSA Free

Application
Recommended Usage

Immunocytochemistry/ Immunofluorescence

1:50 - 1:200

Immunohistochemistry

1:50 - 1:200

Western Blot

1:500 - 1:1000

Formulation, Preparation, and Storage

Purification

Affinity purified

Formulation

PBS (pH 7.3), 50% glycerol

Format

Azide and BSA Free

Preservative

0.02% Sodium Azide

Concentration

Please see the vial label for concentration. If unlisted please contact technical services.

Shipping

The product is shipped with polar packs. Upon receipt, store it immediately at the temperature recommended below.

Stability & Storage

Store at -20C. Avoid freeze-thaw cycles.

Background: LEO1

Leo1 is one of four subunits of the Paf complex, which has been shown to aid in the regulation of transcriptional elongation, histone methylation and RNA processing in yeast.

Alternate Names

Leo1, Paf1/RNA polymerase II complex component, homolog (S. cerevisiae), RDLReplicative senescence down-regulated leo1-like protein, RNA polymerase-associated protein LEO1

Gene Symbol

LEO1

Additional LEO1 Products

Product Documents for LEO1 Antibody - Azide and BSA Free

Certificate of Analysis

To download a Certificate of Analysis, please enter a lot number in the search box below.

Product Specific Notices for LEO1 Antibody - Azide and BSA Free

This product is for research use only and is not approved for use in humans or in clinical diagnosis. Primary Antibodies are guaranteed for 1 year from date of receipt.

Loading...
Loading...
Loading...
Loading...

⚠ WARNING: This product can expose you to chemicals including Methotrexate, which is known to the State of California to cause reproductive toxicity with developmental effects. For more information, go to www.P65Warnings.ca.gov