LENG1 Antibody (OTI10A7)
Novus Biologicals, part of Bio-Techne | Catalog # NBP2-00915
Conjugate
Catalog #
Forumulation
Catalog #
Key Product Details
Species Reactivity
Human
Applications
Immunohistochemistry, Immunohistochemistry-Paraffin, Western Blot, Flow Cytometry, Immunocytochemistry/ Immunofluorescence
Label
Unconjugated
Antibody Source
Monoclonal Mouse IgG1 Clone # OTI10A7
Concentration
0.22 mg/ml
Product Specifications
Immunogen
Full length human recombinant protein of human LENG1 (NP_077292) produced in HEK293T cell.
Clonality
Monoclonal
Host
Mouse
Isotype
IgG1
Theoretical MW
30.3 kDa.
Disclaimer note: The observed molecular weight of the protein may vary from the listed predicted molecular weight due to post translational modifications, post translation cleavages, relative charges, and other experimental factors.
Disclaimer note: The observed molecular weight of the protein may vary from the listed predicted molecular weight due to post translational modifications, post translation cleavages, relative charges, and other experimental factors.
Description
Novus Biologicals Mouse LENG1 Antibody (OTI10A7) (NBP2-00915) is a monoclonal antibody validated for use in IHC, WB, Flow and ICC/IF. All Novus Biologicals antibodies are covered by our 100% guarantee.
Scientific Data Images for LENG1 Antibody (OTI10A7)
Western Blot: LENG1 Antibody (OTI10A7) [NBP2-00915]
Western Blot: LENG1 Antibody (10A7) [NBP2-00915] - HEK293T cells were transfected with the pCMV6-ENTRY control (Left lane) or pCMV6-ENTRY LENG1 (Right lane) cDNA for 48 hrs and lysed. Equivalent amounts of cell lysates (5 ug per lane) were separated by SDS-PAGE and immunoblotted with anti-LENG1.
Immunocytochemistry/Immunofluorescence: LENG1 Antibody (10A7) [NBP2-00915] Staining of COS7 cells transiently transfected by pCMV6-ENTRY LENG1.
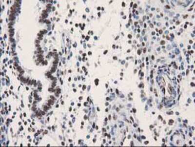
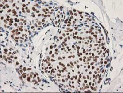
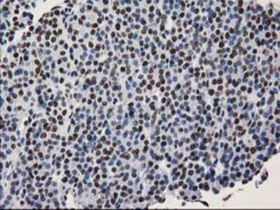
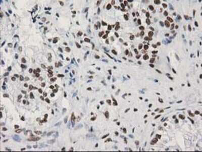
Immunohistochemistry-Paraffin: LENG1 Antibody (OTI10A7) [NBP2-00915]
Immunohistochemistry-Paraffin: LENG1 Antibody (10A7) [NBP2-00915] - Staining of paraffin-embedded Human prostate tissue using anti-LENG1 mouse monoclonal antibody.Applications for LENG1 Antibody (OTI10A7)
Application
Recommended Usage
Flow Cytometry
1:100
Immunocytochemistry/ Immunofluorescence
1:100
Immunohistochemistry
1:150
Immunohistochemistry-Paraffin
1:150
Western Blot
1:500
Formulation, Preparation, and Storage
Purification
Immunogen affinity purified
Formulation
PBS (pH 7.3), 1.0% BSA and 50% Glycerol
Preservative
0.02% Sodium Azide
Concentration
0.22 mg/ml
Shipping
The product is shipped with polar packs. Upon receipt, store it immediately at the temperature recommended below.
Stability & Storage
Store at -20C. Avoid freeze-thaw cycles.
Background: LENG1
Alternate Names
leukocyte receptor cluster (LRC) member 1, leukocyte receptor cluster member 1
Entrez Gene IDs
79165 (Human)
Gene Symbol
LENG1
Additional LENG1 Products
Product Documents for LENG1 Antibody (OTI10A7)
Product Specific Notices for LENG1 Antibody (OTI10A7)
This product is for research use only and is not approved for use in humans or in clinical diagnosis. Primary Antibodies are guaranteed for 1 year from date of receipt.
Loading...
Loading...
Loading...
Loading...
Loading...