Skip to main content

LEMD3 Antibody - BSA Free

Novus Biologicals, part of Bio-Techne | Catalog # NBP3-05823

Novus Biologicals, part of Bio-Techne
Catalog #
Availability
Size / Price
Qty
Loading...
NBP3-05823-50ul
NBP3-05823-100ul
Conjugate
Catalog #

Key Product Details

Species Reactivity

Human

Applications

Immunohistochemistry, Immunohistochemistry-Paraffin

Label

Unconjugated

Antibody Source

Polyclonal Rabbit IgG

Format

BSA Free

Concentration

Please see the vial label for concentration. If unlisted please contact technical services.

Product Specifications

Immunogen

Produced in rabbits immunized with E. coli-derived Human LEMD3 fragment.

Clonality

Polyclonal

Host

Rabbit

Isotype

IgG

Description

This antibody can be stored at 2C-8C for one month without detectable loss of activity. Antibody products are stable for twelve months from date of receipt when stored at -20C to -80C. Avoid repeated freeze-thaw cycles.

Scientific Data Images for LEMD3 Antibody - BSA Free

LEMD3 Antibody - BSA Free

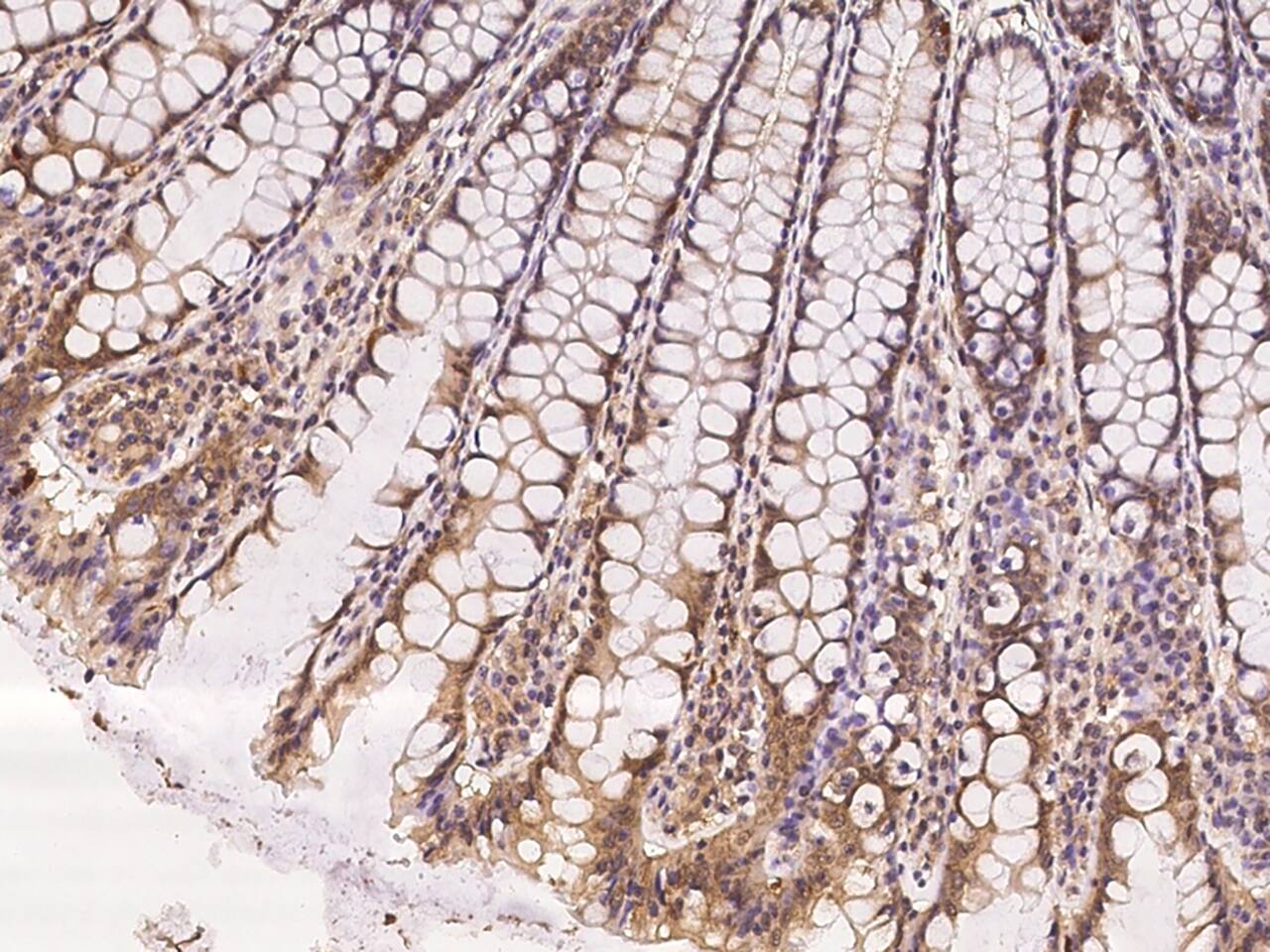
Immunohistochemistry-Paraffin: LEMD3 Antibody - BSA Free [NBP3-05823] -

Immunohistochemistry-Paraffin: LEMD3 Antibody - BSA Free [NBP3-05823] - Immunochemical staining of human LEMD3 in human rectum with NBP3-05823 at 1:100 dilution, formalin-fixed paraffin embedded sections.
LEMD3 Antibody - BSA Free

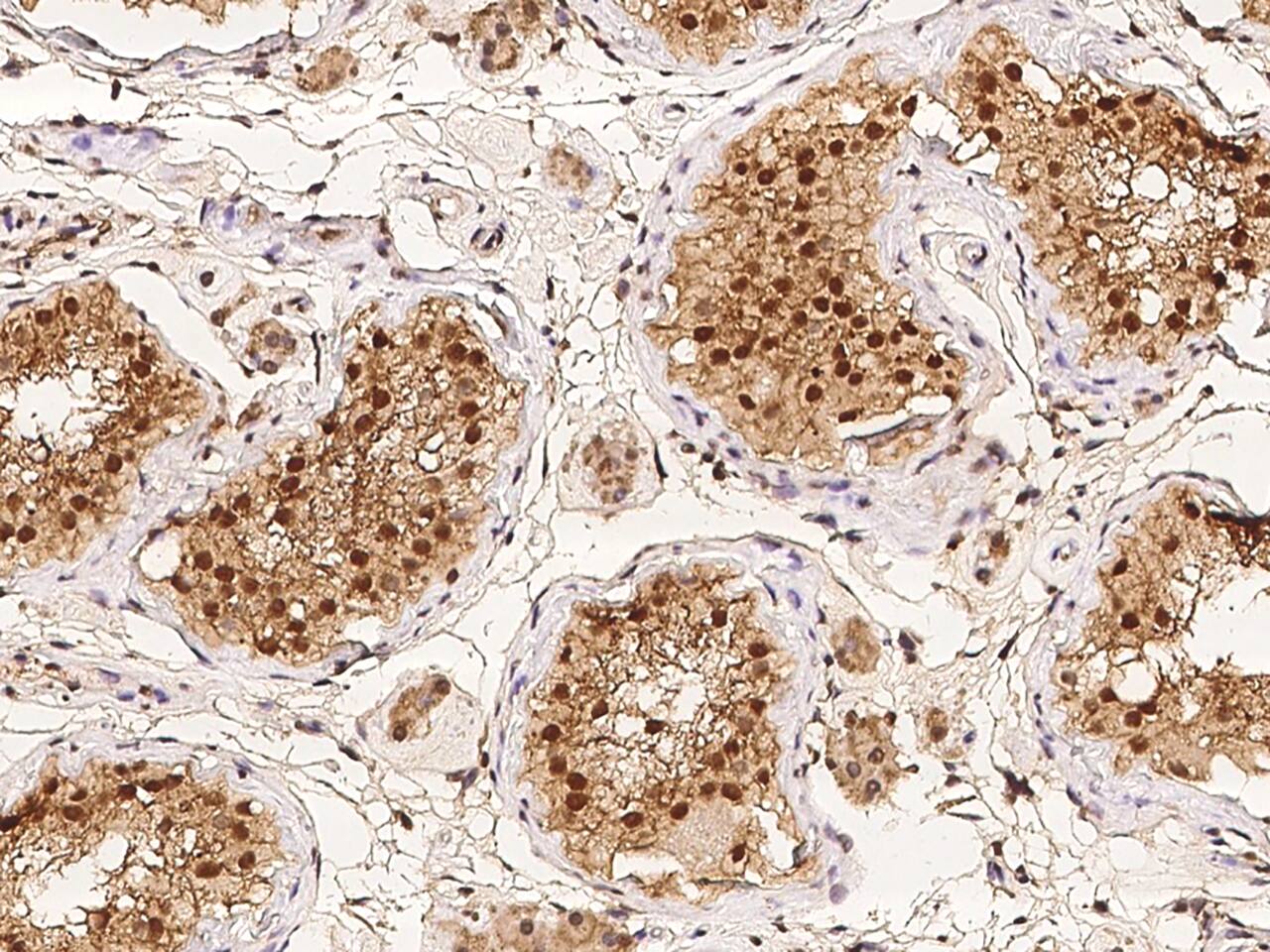
Immunohistochemistry-Paraffin: LEMD3 Antibody - BSA Free [NBP3-05823] -

Immunohistochemistry-Paraffin: LEMD3 Antibody - BSA Free [NBP3-05823] - Immunochemical staining of human LEMD3 in human testis with NBP3-05823 at 1:100 dilution, formalin-fixed paraffin embedded sections.

Applications for LEMD3 Antibody - BSA Free

Application
Recommended Usage

Immunohistochemistry-Paraffin

1:50-1:200

Formulation, Preparation, and Storage

Purification

Antigen and protein A Affinity-purified

Formulation

PBS

Format

BSA Free

Preservative

0.03% Proclin 300

Concentration

Please see the vial label for concentration. If unlisted please contact technical services.

Shipping

The product is shipped with polar packs. Upon receipt, store it immediately at the temperature recommended below.

Stability & Storage

Store at 4C short term. Aliquot and store at -20C long term. Avoid freeze-thaw cycles.

Background: LEMD3

The MAN antigens, such as MAN1, are nuclear membrane proteins that are recognized by autoantibodies from a patient with a collagen vascular disease. Because MAN1 contains an LEM domain, the gene is also called LEMD3 (for 'LEM domain-containing-3').[supplied by OMIM]. Publication Note: This RefSeq record includes a subset of the publications that are available for this gene. Please see the Entrez Gene record to access additional publications.

Alternate Names

inner nuclear membrane protein Man1, integral inner nuclear membrane protein, LEM domain containing 3, MAN1LEM domain-containing protein 3

Gene Symbol

LEMD3

Additional LEMD3 Products

Product Documents for LEMD3 Antibody - BSA Free

Certificate of Analysis

To download a Certificate of Analysis, please enter a lot number in the search box below.

Product Specific Notices for LEMD3 Antibody - BSA Free

This product is for research use only and is not approved for use in humans or in clinical diagnosis. Primary Antibodies are guaranteed for 1 year from date of receipt.

Loading...
Loading...
Loading...
Loading...