Skip to main content

LECT2 Antibody (OTI2A11)

Novus Biologicals, part of Bio-Techne | Catalog # NBP2-01632

Novus Biologicals, part of Bio-Techne

Key Product Details

Species Reactivity

Human

Applications

Immunohistochemistry, Immunohistochemistry-Paraffin, Western Blot

Label

Unconjugated

Antibody Source

Monoclonal Mouse IgG1 Clone # OTI2A11

Concentration

1 mg/ml

Product Specifications

Immunogen

Human recombinant protein fragment corresponding to amino acids 19-151 of human LECT2(NP_002293) produced in E.coli.

Clonality

Monoclonal

Host

Mouse

Isotype

IgG1

Theoretical MW

14.5 kDa.
Disclaimer note: The observed molecular weight of the protein may vary from the listed predicted molecular weight due to post translational modifications, post translation cleavages, relative charges, and other experimental factors.

Description

Novus Biologicals Mouse LECT2 Antibody (OTI2A11) (NBP2-01632) is a monoclonal antibody validated for use in IHC and WB. All Novus Biologicals antibodies are covered by our 100% guarantee.

Scientific Data Images for LECT2 Antibody (OTI2A11)

Western Blot: LECT2 Antibody (OTI2A11) [NBP2-01632]

Western Blot: LECT2 Antibody (OTI2A11) [NBP2-01632]

Western Blot: LECT2 Antibody (2A11) [NBP2-01632] - HEK293T cells were transfected with the pCMV6-ENTRY control (Left lane) or pCMV6-ENTRY LECT2 (Right lane) cDNA for 48 hrs and lysed. Equivalent amounts of cell lysates (5 ug per lane) were separated by SDS-PAGE and immunoblotted with anti-LECT2.
Immunohistochemistry-Paraffin: LECT2 Antibody (2A11) [NBP2-01632] Staining of paraffin-embedded Human tonsil using anti-LECT2 mouse monoclonal antibody.
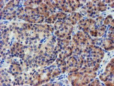
Immunohistochemistry-Paraffin: LECT2 Antibody (OTI2A11) [NBP2-01632]

Immunohistochemistry-Paraffin: LECT2 Antibody (OTI2A11) [NBP2-01632]

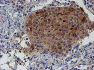
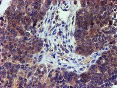
Immunohistochemistry-Paraffin: LECT2 Antibody (2A11) [NBP2-01632] - Staining of paraffin-embedded Adenocarcinoma of Human endometrium tissue using anti-LECT2 mouse monoclonal antibody.

Applications for LECT2 Antibody (OTI2A11)

Application
Recommended Usage

Immunohistochemistry

1:150

Immunohistochemistry-Paraffin

1:150

Western Blot

1:500

Formulation, Preparation, and Storage

Purification

Immunogen affinity purified

Formulation

PBS (pH 7.3), 1.0% BSA and 50% Glycerol

Preservative

0.02% Sodium Azide

Concentration

1 mg/ml

Shipping

The product is shipped with polar packs. Upon receipt, store it immediately at the temperature recommended below.

Stability & Storage

Store at -20C. Avoid freeze-thaw cycles.

Background: LECT2

This gene encodes a secreted, 16 kDa protein that acts as a chemotactic factor to neutrophils and stimulates the growth of chondrocytes and osteoblasts. This protein has high sequence similarity to the chondromodulin repeat regions of the chicken myb-induced myeloid 1 protein. A polymorphism in this gene may be associated with rheumatoid arthritis. [provided by RefSeq].

Long Name

Leukocyte Cell-derived Chemotaxin 2

Alternate Names

Chondromodulin II, MIM1

Entrez Gene IDs

3950 (Human)

Gene Symbol

LECT2

Additional LECT2 Products

Product Documents for LECT2 Antibody (OTI2A11)

Certificate of Analysis

To download a Certificate of Analysis, please enter a lot number in the search box below.

Product Specific Notices for LECT2 Antibody (OTI2A11)

This product is for research use only and is not approved for use in humans or in clinical diagnosis. Primary Antibodies are guaranteed for 1 year from date of receipt.

Loading...
Loading...
Loading...
Loading...
Loading...