LDB1 Antibody - BSA Free
Novus Biologicals, part of Bio-Techne | Catalog # NBP1-31362
Key Product Details
Validated by
Knockout/Knockdown, Orthogonal Validation
Species Reactivity
Validated:
Human, Mouse, Rat
Predicted:
Chicken (97%), Porcine (98%), Rhesus Macaque (100%), Xenopus (97%). Backed by our 100% Guarantee.
Applications
Knockout Validated, Immunohistochemistry, Immunohistochemistry-Paraffin, Western Blot, Immunocytochemistry/ Immunofluorescence, Immunoprecipitation
Label
Unconjugated
Antibody Source
Polyclonal Rabbit IgG
Format
BSA Free
Concentration
Concentrations vary lot to lot. See vial label for concentration. If unlisted please contact technical services.
Product Specifications
Immunogen
Recombinant protein encompassing a sequence within the center region of human LDB1. The exact sequence is proprietary.
Reactivity Notes
Xenopus laevis (97%).
Localization
Nucleus
Clonality
Polyclonal
Host
Rabbit
Isotype
IgG
Theoretical MW
47 kDa.
Disclaimer note: The observed molecular weight of the protein may vary from the listed predicted molecular weight due to post translational modifications, post translation cleavages, relative charges, and other experimental factors.
Disclaimer note: The observed molecular weight of the protein may vary from the listed predicted molecular weight due to post translational modifications, post translation cleavages, relative charges, and other experimental factors.
Scientific Data Images for LDB1 Antibody - BSA Free
Western Blot: LDB1 Antibody [NBP1-31362]
Western Blot: LDB1 Antibody [NBP1-31362] - Wild-type (WT) and LDB1 knockout (KO) HeLa cell extracts (30 ug) were separated by 10% SDS-PAGE, and the membrane was blotted with LDB1 antibody diluted at 1:1000. HRP-conjugated anti-rabbit IgG antibody was used to detect the primary antibody.Immunocytochemistry/ Immunofluorescence: LDB1 Antibody [NBP1-31362]
Immunocytochemistry/Immunofluorescence: LDB1 Antibody [NBP1-31362] - HeLa cells were fixed in 4% paraformaldehyde at RT for 15 min. Green: LDB1 protein stained by LDB1 antibody [N2C3] diluted at 1:500. Blue: Hoechst 33342 staining. Scale bar = 10 um.Immunohistochemistry-Paraffin: LDB1 Antibody [NBP1-31362]
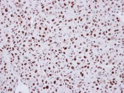
Immunohistochemistry-Paraffin: LDB1 Antibody [NBP1-31362] - mouse muscle.Applications for LDB1 Antibody - BSA Free
Application
Recommended Usage
Immunocytochemistry/ Immunofluorescence
1:100-1:1000
Immunohistochemistry
1:100-1:1000
Immunohistochemistry-Paraffin
1:100-1:1000
Immunoprecipitation
1:100-1:500
Western Blot
1:500-1:3000
Formulation, Preparation, and Storage
Purification
Antigen Affinity-purified
Formulation
PBS, 20% Glycerol
Format
BSA Free
Preservative
0.025% Proclin 300
Concentration
Concentrations vary lot to lot. See vial label for concentration. If unlisted please contact technical services.
Shipping
The product is shipped with polar packs. Upon receipt, store it immediately at the temperature recommended below.
Stability & Storage
Aliquot and store at -20C or -80C. Avoid freeze-thaw cycles.
Background: LDB1
Alternate Names
carboxy terminal LIM domain protein 2, Carboxyl-terminal LIM domain-binding protein 2, CLIM-2, CLIM2hLdb1, LDB-1, LIM domain binding 1, LIM domain-binding factor-1, LIM domain-binding protein 1, NLILIM domain-binding factor CLIM2, Nuclear LIM interactor
Gene Symbol
LDB1
Additional LDB1 Products
Product Specific Notices for LDB1 Antibody - BSA Free
This product is for research use only and is not approved for use in humans or in clinical diagnosis. Primary Antibodies are guaranteed for 1 year from date of receipt.
Loading...
Loading...
Loading...
Loading...