Skip to main content

Lck Antibody - BSA Free

Novus Biologicals, part of Bio-Techne | Catalog # NBP1-85804

Novus Biologicals, part of Bio-Techne
Catalog #
Availability
Size / Price
Qty
Loading...
NBP1-85804
NBP1-85804-25ul

Key Product Details

Species Reactivity

Validated:

Human

Cited:

Human

Predicted:

Mouse (95%), Rat (95%). Backed by our 100% Guarantee.

Applications

Validated:

Immunohistochemistry, Immunohistochemistry-Paraffin, Western Blot, Immunocytochemistry/ Immunofluorescence

Cited:

Immunocytochemistry/ Immunofluorescence

Label

Unconjugated

Antibody Source

Polyclonal Rabbit IgG

Format

BSA Free

Concentration

Concentrations vary lot to lot. See vial label for concentration. If unlisted please contact technical services.

Product Specifications

Immunogen

This antibody was developed against Recombinant Protein corresponding to amino acids: MGCGCSSHPEDDWMENIDVCENCHYPIVPLDGKGTLLIRNGSEVRDPLVTYEGSNPPASPLQDNLVIALHSYEPSHDGDLGFEKGEQLRILEQSGEWWKAQSLTTGQEGFIPFNFVAKANSLEPEPWFFKNLSRKDAERQLLAPGNTHGS

Clonality

Polyclonal

Host

Rabbit

Isotype

IgG

Description

Novus Biologicals Rabbit Lck Antibody - BSA Free (NBP1-85804) is a polyclonal antibody validated for use in IHC, WB and ICC/IF. Anti-Lck Antibody: Cited in 1 publication. All Novus Biologicals antibodies are covered by our 100% guarantee.

Scientific Data Images for Lck Antibody - BSA Free

Immunocytochemistry/ Immunofluorescence: Lck Antibody [NBP1-85804]

Immunocytochemistry/ Immunofluorescence: Lck Antibody [NBP1-85804]

Immunocytochemistry/Immunofluorescence: Lck Antibody [NBP1-85804] - Staining of human cell line A-431 shows localization to the Golgi apparatus. Antibody staining is shown in green.
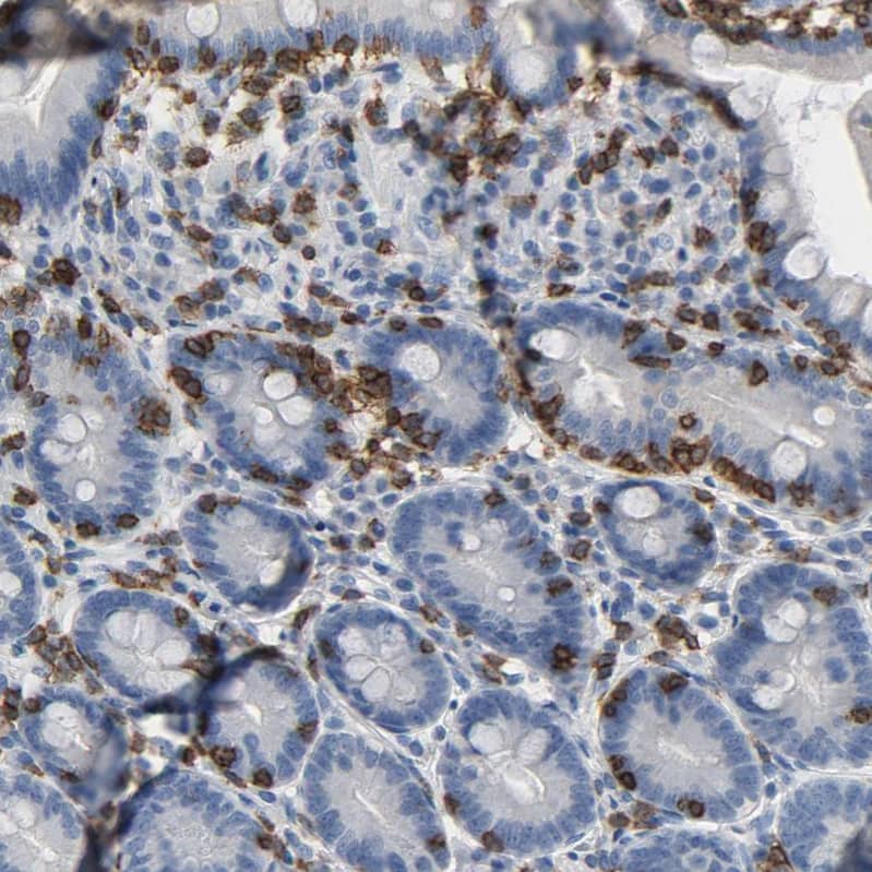
Lck Antibody - BSA Free Immunohistochemistry-Paraffin: Lck Antibody - BSA Free [NBP1-85804]

Immunohistochemistry-Paraffin: Lck Antibody - BSA Free [NBP1-85804]

Staining of human duodenum shows strong membranous/cytoplasmic membranous positivity in lymphoid cells.
Lck Antibody - BSA Free Immunohistochemistry-Paraffin: Lck Antibody - BSA Free [NBP1-85804]

Immunohistochemistry-Paraffin: Lck Antibody - BSA Free [NBP1-85804]

Staining of human cerebral cortex shows no positivity in neurons as expected.

Applications for Lck Antibody - BSA Free

Application
Recommended Usage

Immunocytochemistry/ Immunofluorescence

0.25-2 ug/ml

Immunohistochemistry

1:50 - 1:200

Immunohistochemistry-Paraffin

1:50 - 1:200

Western Blot

0.04-0.4 ug/ml
Application Notes
For IHC-Paraffin, HIER pH 6 retrieval is recommended. ICC/IF Fixation Permeabilization: Use PFA/Triton X-100.

Formulation, Preparation, and Storage

Purification

Immunogen affinity purified

Formulation

PBS (pH 7.2) and 40% Glycerol

Format

BSA Free

Preservative

0.02% Sodium Azide

Concentration

Concentrations vary lot to lot. See vial label for concentration. If unlisted please contact technical services.

Shipping

The product is shipped with polar packs. Upon receipt, store it immediately at the temperature recommended below.

Stability & Storage

Store at 4C short term. Aliquot and store at -20C long term. Avoid freeze-thaw cycles.

Background: Lck

The human T-cell or lymphocyte specific gene Lck/p56 is a member of the Src family of non-receptors tyrosine kinase. Mostly expressed in T cells, Lck has been shown to be critical for the normal development of T lymphocytes (1). Additionally, the N-terminal region of the tyrosine kinase Lck interacts with the cytoplasmic domains of CD4 and CD8 (2). Autophosphorylation at Tyr-394 appears to be required for maximum catalytic activity (3) but it can also be suppressed by phosphorylation of the carboxyl-terminal tyrosine Tyr-505 (4).

Long Name

Lymphocyte Protein Tyrosine Kinase

Alternate Names

Hck-3, Lcktkr, LSTRA, p56lck, pp58lck, YT16

Gene Symbol

LCK

Additional Lck Products

Product Documents for Lck Antibody - BSA Free

Certificate of Analysis

To download a Certificate of Analysis, please enter a lot number in the search box below.

Product Specific Notices for Lck Antibody - BSA Free

This product is for research use only and is not approved for use in humans or in clinical diagnosis. Primary Antibodies are guaranteed for 1 year from date of receipt.

Loading...
Loading...
Loading...
Loading...