Skip to main content

LC3 Antibody Pack

Novus Biologicals, part of Bio-Techne | Catalog # NB910-40435

Novus Biologicals, part of Bio-Techne
Catalog #
Availability
Size / Price
Qty
Loading...
NB910-40435-1Pack

Key Product Details

Species

Human, Mouse, Rat, Porcine, Alligator, Amphibian, Avian, Bacteria, Bovine, Canine, Chicken, Chinese Hamster, Fish, Golden Syrian Hamster, Guinea Pig, Hamster, Invertebrate, Monkey, Plant, Primate, Rabbit, Zebrafish

Applications

Chromatin Immunoprecipitation, ELISA, Flow Cytometry, Functional Assay, Immunocytochemistry/ Immunofluorescence, Immunohistochemistry, Immunoprecipitation, Knockout Validated, Mycoplasma, SDS-PAGE, Simple Western, Western Blot

Product Summary for LC3 Antibody Pack

This pack contains 1 vial each of: NB100-2220 (0.1 mL) and NB100-2331 (0.1 mL).

Product Specifications

Application Notes

Antibodies in this pack are validated for the following applications:

NB100-2331: Chromatin Immunoprecipitation, ELISA, Flow Cytometry, Immunoblotting, Immunocytochemistry/Immunofluorescence, Immunohistochemistry, Immunohistochemistry Whole-Mount, Immunohistochemistry-Frozen, Immunohistochemistry-Paraffin, Immunoprecipitation, Simple Western, Southern Blot, Western Blot
NB100-2220: Chromatin Immunoprecipitation (ChIP), ELISA, Flow Cytometry, Immunoblotting, Immunocytochemistry/Immunofluorescence, Immunohistochemistry, Immunohistochemistry-Frozen, Immunohistochemistry-Paraffin, Immunoprecipitation, Knockdown Validated, Knockout Validated, Proximity Ligation Assay, SDS-Page, Simple Western, Western Blot

Reactivity Notes

Antibodies in this pack are validated for use in the following species:

NB100-2331: Amphibian, Canine, Fish, Human, Mouse, Plant, Rat, Zebrafish
NB100-2220: Alligator, Avian, Bacteria, Bovine, Canine, Chicken, Chinese Hamster, Golden Syrian Hamster, Guinea Pig, Hamster, Human, Invertebrate, Monkey, Mouse, Porcine, Primate, Rabbit, Rat, Zebrafish

Fish reactivity reported in scientific literature (PMID:32818499).

Marker

Autophagosome Marker

Scientific Data Images for LC3 Antibody Pack

Knockout Validated: LC3 Antibody Pack [NB910-40435]

Western Blot: LC3 Antibody Pack [NB910-40435]

Western Blot: LC3 Antibody Pack [NB910-40435] - Lysates of HeLa parental cell line and LC3B knockout HeLa cell line (KO) untreated (-) or treated (+) with 50 uM Chloroquine for 18 hours. PVDF (Polyvinylidene difluoride) membrane was probed with 0.5 ug/mL of Rabbit Anti-LC3B Polyclonal Antibody (Catalog # NB100-2220) followed by HRP-conjugated Anti-Rabbit IgG Secondary Antibody (Catalog# HAF008). A specific band was detected for LC3B at a molecular weight of approximately 15 kDa (as indicated) in the parental HeLa cell line, but is not detectable in the knockout HeLa cell line. GAPDH is shown as a loading control. This experiment was conducted under reducing conditions. LC3B Antibody [NB100-2220]
Immunohistochemistry: LC3 Antibody Pack [NB910-40435]

Immunohistochemistry: LC3 Antibody Pack [NB910-40435]

Immunohistochemistry: LC3 Antibody Pack [NB910-40435] - Rapamycin increases autophagy in brains of PDAPP mice. Representative epifluorescent (c200x) image of hippocampal CA1 in control- and rapamycin-fed transgenic PDAPP mice stained with an anti-LC3 antibody. An increase in LC3-immunoreactive puncta was observed in CA1 projections of transgenic PDAPP mice following rapamycin administration. Image collected and cropped by CiteAb from the following publication (//dx.plos.org/10.1371/journal.pone.0009979) licensed under a CC-BY license. LC3A Antibody [NB100-2331]
Knockout Validated: LC3 Antibody Pack [NB910-40435]

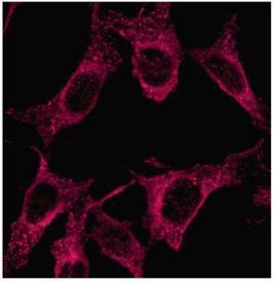
Immunocytochemistry/ Immunofluorescence: LC3 Antibody Pack [NB910-40435]

Immunocytochemistry/ Immunofluorescence: LC3 Antibody Pack [NB910-40435] - LC3B was detected in immersion fixed Cloroquine treated HeLa cells (left) but was not detected in LC3B knockout HeLa cells (right) using rabbit anti-human LC3B polyclonal antibody (Catalog #NB100-2220) at 0.3 ug/mL for 3 hours at room temperature. Cells were stained using the NorthernLights(TM) 557-conjugated anti-Rabbit IgG Secondary Antibody (red; Catalog # NL004) and counterstained with DAPI (blue). Specific staining was localized to cytoplasm.

Formulation, Preparation, and Storage

Concentration

Concentration of individual antibodies may be found on the vial label. If unlisted please contact technical services.

Shipping

The product is shipped with polar packs. Upon receipt, store it immediately at the temperature recommended below.

Storage

Store at 4C short term. Aliquot and store at -20C long term. Avoid freeze-thaw cycles.

Background: LC3

Autophagy (macroautophagy) is a catabolic process which targets intracellular components such as proteins and organelles for degradation. Originally described as a bulk degradation process, current research supports its selective nature (1). Selective autophagy targets specific cellular components for degradation including the endoplasmic reticulum (2) (ER-phagy), mitochondria3 (mitophagy), peroxisomes (3) (pexophagy), ribosomes (4) (ribophagy) and bacteria (5) (xenophagy). Autophagy relies on a newly formed phagophore, a membrane structure which elongates, sequesters cellular content, and fuses to form a double membrane vesicle known as the autophagosome. Fusion of autophagosomes with lysosomes gives rise to the autophagolysosome, where cellular components are degraded by lysosome hydrolases (1).

Autophagic flux is supported by autophagy-related proteins (Atgs) initially identified in yeast (6,7). The core autophagy machinery is comprised of 17 Atg proteins that play specific roles in autophagosome formation. Among these Atg proteins, Atg8 is not only involved in autophagosome formation but also functions in cargo selection. In mammals, several Atg8 homologues have been identified including microtubule-associated protein 1 light chain 3 alpha, beta and gamma - LC3A, LC3B, and LC3C (8) respectively, as well as GABA type A receptor-associated protein (GABARAP), GABARAP-Like1, and GABARAP-Like2 (9). LC3 (predicted molecular weight 14kD) is ubiquitously expressed and undergoes posttranslational processing after synthesis. First, the cysteine protease Atg4 cleaves a carboxy terminal sequence to generate the cytosolic form LC3-I. Next, E1-like (Atg7) and E2-like (Atg3) enzymes conjugate phosphatidylethanolamine to the newly exposed carboxyterminal glycine, generating LC3-II. Finally, the Atg12-Atg5-Atg16L1 complex participates in LC3 lipidation and autophagosome formation (10). LC3B-I to LC3B-II conversion correlates with autophagosome number and is considered the best marker to monitor autophagy.

References

1. Yu, L., Chen, Y., & Tooze, S. A. (2018). Autophagy pathway: Cellular and molecular mechanisms. Autophagy. https://doi.org/10.1080/15548627.2017.1378838

2. Forrester, A., De Leonibus, C., Grumati, P., Fasana, E., Piemontese, M., Staiano, L., ... Settembre, C. (2019). A selective ER-phagy exerts procollagen quality control via a Calnexin-FAM 134B complex. The EMBO Journal. https://doi.org/10.15252/embj.201899847

3. He, X., Zhu, Y., Zhang, Y., Geng, Y., Gong, J., Geng, J., ... Zhong, H. (2019). RNF34 functions in immunity and selective mitophagy by targeting MAVS for autophagic degradation. The EMBO Journal. https://doi.org/10.15252/embj.2018100978

4. Mathai, B., Meijer, A., & Simonsen, A. (2017). Studying Autophagy in Zebrafish. Cells. https://doi.org/10.3390/cells6030021

5. Losier, T. T., Akuma, M., McKee-Muir, O. C., LeBlond, N. D., Suk, Y., Alsaadi, R. M., ... Russell, R. C. (2019). AMPK Promotes Xenophagy through Priming of Autophagic Kinases upon Detection of Bacterial Outer Membrane Vesicles. Cell Reports. https://doi.org/10.1016/j.celrep.2019.01.062

6. Nakatogawa, H., Suzuki, K., Kamada, Y., & Ohsumi, Y. (2009). Dynamics and diversity in autophagy mechanisms: Lessons from yeast. Nature Reviews Molecular Cell Biology. https://doi.org/10.1038/nrm2708

7. Tsukada, M., & Ohsumi, Y. (1993). Isolation and characterization of autophagy-defective mutants of Saccharomyces cerevisiae. FEBS Letters. https://doi.org/10.1016/0014-5793(93)80398-E

8. Wild, P., McEwan, D. G., & Dikic, I. (2014). The LC3 interactome at a glance. Journal of Cell Science. https://doi.org/10.1242/jcs.140426

9. Igloi, G. L. (2001). Cloning, expression patterns, and chromosome localization of three human and two mouse homologues of GABAA receptor-associated protein. Genomics. https://doi.org/10.1006/geno.2001.6555

10. Glick, D., Barth, S., & Macleod, K. F. (2010). Autophagy: Cellular and molecular mechanisms. Journal of Pathology. https://doi.org/10.1002/path.2697

Alternate Names

ATG8F, LC3B, MAP1A/1BLC3, map1lc3b, MAP1LC3B-a, microtubule associated protein 1 light chain 3 beta

Gene Symbol

MAP1LC3B

Additional LC3 Products

Product Documents for LC3 Antibody Pack

Certificate of Analysis

To download a Certificate of Analysis, please enter a lot number in the search box below.

Product Specific Notices for LC3 Antibody Pack

This product is for research use only and is not approved for use in humans or in clinical diagnosis. Antibody Packs are guaranteed for 1 year from date of receipt.

Loading...
Loading...
Loading...
Loading...
Loading...