Skip to main content

Layilin Antibody - BSA Free

Novus Biologicals, part of Bio-Techne | Catalog # NBP1-83541

Novus Biologicals, part of Bio-Techne
Catalog #
Availability
Size / Price
Qty
Loading...
NBP1-83541
NBP1-83541-25ul

Key Product Details

Species Reactivity

Human

Applications

Immunocytochemistry/ Immunofluorescence, Immunohistochemistry, Immunohistochemistry-Paraffin, Western Blot

Label

Unconjugated

Antibody Source

Polyclonal Rabbit IgG

Format

BSA Free

Concentration

Concentrations vary lot to lot. See vial label for concentration. If unlisted please contact technical services.

Product Specifications

Immunogen

This antibody was developed against Recombinant Protein corresponding to amino acids: NMKNNFICKYSDEKPAVPSREAEGEETELTTPVLPEETQEEDAKKTFKESREAALNLAY

Clonality

Polyclonal

Host

Rabbit

Isotype

IgG

Description

Novus Biologicals Rabbit Layilin Antibody - BSA Free (NBP1-83541) is a polyclonal antibody validated for use in IHC, WB and ICC/IF. All Novus Biologicals antibodies are covered by our 100% guarantee.

Scientific Data Images for Layilin Antibody - BSA Free

Western Blot: Layilin Antibody [NBP1-83541]

Western Blot: Layilin Antibody [NBP1-83541]

Western Blot: Layilin Antibody [NBP1-83541] - Lane 1: Marker [kDa] 250, 130, 95, 72, 55, 36, 28, 17, 10. Lane 2: Human cell line RT-4. Lane 3: Human cell line U-251MG sp
Immunocytochemistry/ Immunofluorescence: Layilin Antibody [NBP1-83541]

Immunocytochemistry/ Immunofluorescence: Layilin Antibody [NBP1-83541]

Immunocytochemistry/Immunofluorescence: Layilin Antibody [NBP1-83541] - Staining of human cell line U-2 OS shows localization to cytosol. Antibody staining is shown in green.
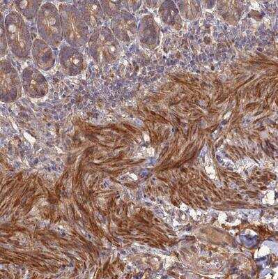
Immunohistochemistry-Paraffin: Layilin Antibody [NBP1-83541]

Immunohistochemistry-Paraffin: Layilin Antibody [NBP1-83541]

Immunohistochemistry-Paraffin: Layilin Antibody [NBP1-83541] - Staining of human fallopian tube shows moderate to strong cytoplasmic positivity in glandular cells.

Applications for Layilin Antibody - BSA Free

Application
Recommended Usage

Immunocytochemistry/ Immunofluorescence

0.25-2 ug/ml

Immunohistochemistry

1:50 - 1:200

Immunohistochemistry-Paraffin

1:50 - 1:200

Western Blot

0.04-0.4 ug/ml
Application Notes
For IHC-Paraffin, HIER pH 6 retrieval is recommended. ICC/IF Fixation Permeabilization: Use PFA/Triton X-100.

Formulation, Preparation, and Storage

Purification

Immunogen affinity purified

Formulation

PBS (pH 7.2) and 40% Glycerol

Format

BSA Free

Preservative

0.02% Sodium Azide

Concentration

Concentrations vary lot to lot. See vial label for concentration. If unlisted please contact technical services.

Shipping

The product is shipped with polar packs. Upon receipt, store it immediately at the temperature recommended below.

Stability & Storage

Store at 4C short term. Aliquot and store at -20C long term. Avoid freeze-thaw cycles.

Background: Layilin

Receptor for hyaluronate

Alternate Names

LAYN, LYAN

Gene Symbol

LAYN

Additional Layilin Products

Product Documents for Layilin Antibody - BSA Free

Certificate of Analysis

To download a Certificate of Analysis, please enter a lot number in the search box below.

Product Specific Notices for Layilin Antibody - BSA Free

This product is for research use only and is not approved for use in humans or in clinical diagnosis. Primary Antibodies are guaranteed for 1 year from date of receipt.

Loading...
Loading...
Loading...
Loading...