Skip to main content

LAT Antibody (LAT.10-17) - BSA Free

Novus Biologicals, part of Bio-Techne | Catalog # NBP2-00289

Novus Biologicals, part of Bio-Techne
Catalog #
Availability
Size / Price
Qty
Loading...
NBP2-00289-100ug
Conjugate
Catalog #

Key Product Details

Species Reactivity

Human

Applications

Immunohistochemistry, Immunohistochemistry-Paraffin, Western Blot, Flow Cytometry, Flow (Cell Surface), Immunoprecipitation

Label

Unconjugated

Antibody Source

Monoclonal Mouse IgG1 kappa Clone # LAT.10-17

Format

BSA Free

Concentration

0.5 mg/ml

Product Specifications

Immunogen

The immunogen for this antibody is LAT.

Clonality

Monoclonal

Host

Mouse

Isotype

IgG1 kappa

Scientific Data Images for LAT Antibody (LAT.10-17) - BSA Free

Western Blot: LAT Antibody (LAT.10-17)BSA Free [NBP2-00289]

Western Blot: LAT Antibody (LAT.10-17)BSA Free [NBP2-00289]

Western Blot: LAT Antibody (LAT.10-17) [NBP2-00289] - 10e6 normal peripheral human blood cells (lane 1), Jurkat (lane 2), and C57BL/6 splenocytes (lane 3) with 5 ug/mL Anti-Human LAT Purified. Bands were visualized using Anti-Mouse IgG HRP.
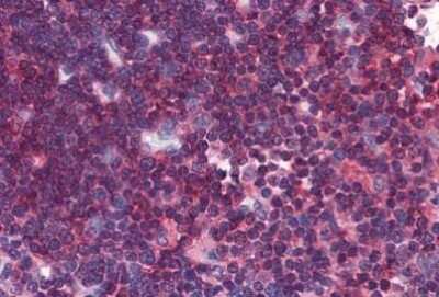
Immunohistochemistry-Paraffin: LAT Antibody (LAT.10-17) - BSA Free [NBP2-00289]

Immunohistochemistry-Paraffin: LAT Antibody (LAT.10-17) - BSA Free [NBP2-00289]

Immunohistochemistry-Paraffin: LAT Antibody (LAT.10-17) [NBP2-00289] - Staining of human thymus. Immunohistochemistry of formalin-fixed, paraffin-embedded tissue after heat-induced antigen retrieval. Antibody concentration 20 ug/ml.
Flow (Cell Surface): LAT Antibody (LAT.10-17) - BSA Free [NBP2-00289]

Flow (Cell Surface): LAT Antibody (LAT.10-17) - BSA Free [NBP2-00289]

Flow (Cell Surface): LAT Antibody (LAT.10-17) [NBP2-00289] - Analysis using the Allophycocyanin conjugate of NBP2-00289. Surface staining of normal human peripheral blood cells with Anti-Human CD3 FITC followed by intracellular staining with Mouse IgG1 kappa Isotype Control APC (left) or Anti-Human LAT APC (right).

Applications for LAT Antibody (LAT.10-17) - BSA Free

Application
Recommended Usage

Immunoprecipitation

1:10-1:500

Western Blot

1:100-1:2000
Application Notes
LAT.10-17 (10-17) was tested by western blot and immunoprecipitation on lysates prepared from human peripheral blood cells, Jurkat cells, and C57BL/6 splenocytes. This antibody can be used at 5 ug/mL. This LAT.10-17 (10-17) antibody has also been reported for use in immunoprecipitation (IP). It is recommended that the antibody be carefully titrated for optimal performance in the assay of interest.

Formulation, Preparation, and Storage

Purification

Protein A or G purified

Formulation

PBS (pH 7.2)

Format

BSA Free

Preservative

0.09% Sodium Azide

Concentration

0.5 mg/ml

Shipping

The product is shipped with polar packs. Upon receipt, store it immediately at the temperature recommended below.

Stability & Storage

Store at 4C. Do not freeze.

Background: LAT

This LAT.10-17 (10-17) monoclonal antibody reacts with human Linker for Activation of T cells (LAT), which is essential for T cell receptor (TCR)-mediated signal transduction. Characterized as an integral transmembrane protein, this ~37-kDa molecule does not possess a true extracellular domain. Upon TCR/CD3 engagement, LAT localizes to lipid rafts and is tyrosine phosphorylated by ZAP-70, leading to the recruitment and activation of other downstream signaling molecules such as Grb-2, PLC?, and PI3K. This adapter molecule has been shown to be required for T cell activation, as well as thymocyte and T regulatory cell development. In humans, LAT is expressed on peripheral blood lymphocytes, lymph nodes, and tonsil. Studies in mice have shown that LAT is expressed in thymocytes, T cells, mast cells, natural killer cells, megakaryocytes, platelets, and early B cells. This antibody does not crossreact with the mouse antigen.

Long Name

Linker for Activation of T cells

Alternate Names

pp36

Gene Symbol

LAT

Additional LAT Products

Product Documents for LAT Antibody (LAT.10-17) - BSA Free

Certificate of Analysis

To download a Certificate of Analysis, please enter a lot number in the search box below.

Product Specific Notices for LAT Antibody (LAT.10-17) - BSA Free

This product is for research use only and is not approved for use in humans or in clinical diagnosis. Primary Antibodies are guaranteed for 1 year from date of receipt.

Loading...
Loading...
Loading...
Loading...
Loading...