Skip to main content

LASS2 Antibody - BSA Free

Novus Biologicals, part of Bio-Techne | Catalog # NBP1-84537

Novus Biologicals, part of Bio-Techne
Catalog #
Availability
Size / Price
Qty
Loading...
NBP1-84537
NBP1-84537-25ul

Key Product Details

Species Reactivity

Human, Mouse, Rat

Applications

Validated:

Immunohistochemistry, Immunohistochemistry-Paraffin, Western Blot, Immunocytochemistry/ Immunofluorescence

Cited:

Western Blot

Label

Unconjugated

Antibody Source

Polyclonal Rabbit IgG

Format

BSA Free

Concentration

Concentrations vary lot to lot. See vial label for concentration. If unlisted please contact technical services.

Product Specifications

Immunogen

This antibody was developed against Recombinant Protein corresponding to amino acids: TPLAALLNIKEKTRLRAPPNATLEHFYLTSGKQPKQVEVELLSRQSGLSGRQVARWFRRRRNQDRPSLLKKFREA

Clonality

Polyclonal

Host

Rabbit

Isotype

IgG

Scientific Data Images for LASS2 Antibody - BSA Free

Immunocytochemistry/ Immunofluorescence: LASS2 Antibody [NBP1-84537]

Immunocytochemistry/ Immunofluorescence: LASS2 Antibody [NBP1-84537]

Immunocytochemistry/Immunofluorescence: LASS2 Antibody [NBP1-84537] - Immunofluorescent staining of human cell line A-431 shows localization to nuclear membrane & endoplasmic reticulum. Antibody staining is shown in green.
Immunohistochemistry-Paraffin: LASS2 Antibody [NBP1-84537]

Immunohistochemistry-Paraffin: LASS2 Antibody [NBP1-84537]

Immunohistochemistry-Paraffin: LASS2 Antibody [NBP1-84537] - Staining of human skeletal muscle shows only weak cytoplasmic positivity in striated muscle fibers as expected.
Immunohistochemistry-Paraffin: LASS2 Antibody [NBP1-84537]

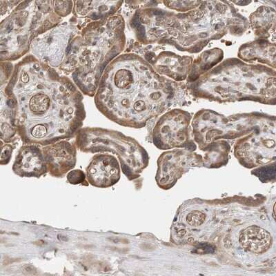
Immunohistochemistry-Paraffin: LASS2 Antibody [NBP1-84537]

Immunohistochemistry-Paraffin: LASS2 Antibody [NBP1-84537] - Staining of human kidney shows moderate to strong granular cytoplasmic positivity in cells in tubules.

Applications for LASS2 Antibody - BSA Free

Application
Recommended Usage

Immunocytochemistry/ Immunofluorescence

0.25-2 ug/ml

Immunohistochemistry

1:500 - 1:1000

Immunohistochemistry-Paraffin

1:500 - 1:1000

Western Blot

0.04-0.4 ug/ml
Application Notes
For IHC-Paraffin, HIER pH 6 retrieval is recommended. ICC/IF,Fixation Permeabilization: Use PFA/Triton X-100.

Formulation, Preparation, and Storage

Purification

Affinity purified

Formulation

PBS (pH 7.2) and 40% Glycerol

Format

BSA Free

Preservative

0.02% Sodium Azide

Concentration

Concentrations vary lot to lot. See vial label for concentration. If unlisted please contact technical services.

Shipping

The product is shipped with polar packs. Upon receipt, store it immediately at the temperature recommended below.

Stability & Storage

Store at 4C short term. Aliquot and store at -20C long term. Avoid freeze-thaw cycles.

Background: LASS2

LASS2 encodes a protein that has sequence similarity to yeast longevity assurance gene 1. Mutation or overexpression of the related gene in yeast has been shown to alter yeast lifespan. The human protein may play a role in the regulation of cell growth. Alternatively spliced transcript variants encoding the same protein have been described.

Alternate Names

ceramide synthase 2, CerS2, LAG1 homolog, ceramide synthase 2, LAG1 longevity assurance 2, LAG1 longevity assurance homolog 2, LAG1 longevity assurance homolog 2 (S. cerevisiae), S. cerevisiae) homolog 2, SP260MGC987, TMSG1, Tumor metastasis-suppressor gene 1 protein

Gene Symbol

CERS2

Additional LASS2 Products

Product Documents for LASS2 Antibody - BSA Free

Certificate of Analysis

To download a Certificate of Analysis, please enter a lot number in the search box below.

Product Specific Notices for LASS2 Antibody - BSA Free

This product is for research use only and is not approved for use in humans or in clinical diagnosis. Primary Antibodies are guaranteed for 1 year from date of receipt.

Loading...
Loading...
Loading...
Loading...