LARS Antibody - BSA Free
Novus Biologicals, part of Bio-Techne | Catalog # NBP2-32209
Conjugate
Catalog #
Key Product Details
Validated by
Biological Validation
Species Reactivity
Validated:
Human, Mouse
Predicted:
Orangutan (100%). Backed by our 100% Guarantee.
Applications
Immunohistochemistry, Immunohistochemistry-Paraffin, Western Blot, Immunoprecipitation (Negative)
Label
Unconjugated
Antibody Source
Polyclonal Rabbit IgG
Format
BSA Free
Concentration
1.0 mg/ml
Product Specifications
Immunogen
The immunogen this antibody was made to, maps to a region between residue 250 to 300 of human Leucyl-tRNA Synthetase using the numbering given in entry NP_064502.9 (GeneID 51520).
Clonality
Polyclonal
Host
Rabbit
Isotype
IgG
Description
Novus Biologicals Rabbit LARS Antibody - BSA Free (NBP2-32209) is a polyclonal antibody validated for use in IHC and WB. All Novus Biologicals antibodies are covered by our 100% guarantee.
Scientific Data Images for LARS Antibody - BSA Free
Western Blot: LARS Antibody [NBP2-32209]
Western Blot: LARS Antibody [NBP2-32209] - Samples: Whole cell lysate (50 ug) from HeLa, 293T, Jurkat, mouse TCMK-1, and mouse NIH3T3 cells. Antibodies: Affinity purified rabbit anti-LARS antibody NBP2-32209 used for WB at 0.4 ug/ml. Detection: Chemiluminescence with an exposure time of 30 seconds.Immunohistochemistry-Paraffin: LARS Antibody [NBP2-32209]
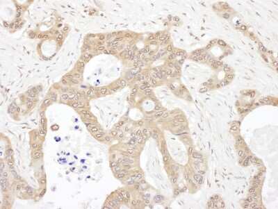
Immunohistochemistry-Paraffin: LARS Antibody [NBP2-32209] - Sample: FFPE section of human ovarian carcinoma. Antibody: Affinity purified rabbit anti-ARNT used at a dilution of 1:1,000 (1ug/ml). Detection: DAB. Counterstain: IHC Hematoxylin (blue).Applications for LARS Antibody - BSA Free
Application
Recommended Usage
Immunohistochemistry
1:500 - 1:2000
Immunohistochemistry-Paraffin
1:500 - 1:2000
Western Blot
1:1000 - 1:5000
Application Notes
Immunoprecipitation Not recommended. Epitope retrieval with citrate buffer pH 6.0 is recommended for FFPE tissue sections.
Formulation, Preparation, and Storage
Purification
Immunogen affinity purified
Formulation
Tris-Citrate/Phosphate (pH 7.0 - 8.0)
Format
BSA Free
Preservative
0.09% Sodium Azide
Concentration
1.0 mg/ml
Shipping
The product is shipped with polar packs. Upon receipt, store it immediately at the temperature recommended below.
Stability & Storage
Store at 4C. Do not freeze.
Background: LARS
Alternate Names
cytoplasmic leucyl-tRNA synthetase, FLJ21788, hr025Cl, HSPC192, KIAA1352, LARS1, leucine translase, leucine tRNA ligase 1, cytoplasmic, leucine-tRNA ligase, leucine--tRNA ligase, leucyl-tRNA synthetase, leucyl-tRNA synthetase, cytoplasmic, LEURS, LEUS, LRS, PIG44
Gene Symbol
LARS
UniProt
Additional LARS Products
Product Documents for LARS Antibody - BSA Free
Product Specific Notices for LARS Antibody - BSA Free
This product is for research use only and is not approved for use in humans or in clinical diagnosis. Primary Antibodies are guaranteed for 1 year from date of receipt.
Loading...
Loading...
Loading...
Loading...