Skip to main content

Key Product Details

Species Reactivity

Human

Applications

Immunohistochemistry, Immunohistochemistry-Paraffin, Western Blot

Label

Unconjugated

Antibody Source

Monoclonal Mouse IgG2A Clone # OTI3A2

Concentration

1 mg/ml

Product Specifications

Immunogen

Human recombinant protein fragment corresponding to amino acids 424-773 of human LAMB3 (NP_000219) produced in E.coli.

Clonality

Monoclonal

Host

Mouse

Isotype

IgG2A

Theoretical MW

127.6 kDa.
Disclaimer note: The observed molecular weight of the protein may vary from the listed predicted molecular weight due to post translational modifications, post translation cleavages, relative charges, and other experimental factors.

Description

Novus Biologicals Mouse Laminin beta 3 Antibody (OTI3A2) (NBP2-45596) is a monoclonal antibody validated for use in IHC and WB. All Novus Biologicals antibodies are covered by our 100% guarantee.

Scientific Data Images for Laminin beta 3 Antibody (OTI3A2)

Western Blot: Laminin beta 3 Antibody (OTI3A2) [NBP2-45596]

Western Blot: Laminin beta 3 Antibody (OTI3A2) [NBP2-45596]

Western Blot: Laminin beta 3 Antibody (3A2) [NBP2-45596] - Analysis of HEK293T cells were transfected with the pCMV6-ENTRY control (Left lane) or pCMV6-ENTRY Laminin beta 3.
Immunohistochemistry: Laminin beta 3 Antibody (OTI3A2) [NBP2-45596]

Immunohistochemistry: Laminin beta 3 Antibody (OTI3A2) [NBP2-45596]

Immunohistochemistry: Laminin beta 3 Antibody (3A2) [NBP2-45596] - Analysis of Human tonsil tissue. (Heat-induced epitope retrieval by 1 mM EDTA in 10mM Tris, pH8.5, 120C for 3min)
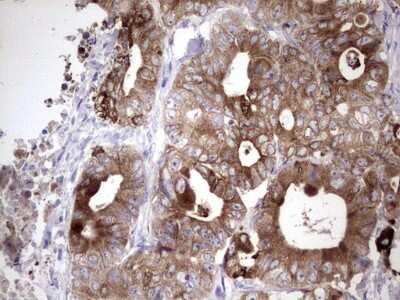
Immunohistochemistry: Laminin beta 3 Antibody (OTI3A2) [NBP2-45596]

Immunohistochemistry: Laminin beta 3 Antibody (OTI3A2) [NBP2-45596]

Immunohistochemistry: Laminin beta 3 Antibody (3A2) [NBP2-45596] - Analysis of Adenocarcinoma of Human colon tissue. (Heat-induced epitope retrieval by 1 mM EDTA in 10mM Tris, pH8.5, 120C for 3min)

Applications for Laminin beta 3 Antibody (OTI3A2)

Application
Recommended Usage

Immunohistochemistry

1:150

Immunohistochemistry-Paraffin

1:150

Western Blot

1:2000

Formulation, Preparation, and Storage

Purification

Immunogen affinity purified

Formulation

PBS (pH 7.3), 1.0% BSA and 50% Glycerol

Preservative

0.02% Sodium Azide

Concentration

1 mg/ml

Shipping

The product is shipped with polar packs. Upon receipt, store it immediately at the temperature recommended below.

Stability & Storage

Store at -20C. Avoid freeze-thaw cycles.

Background: Laminin beta 3

The product encoded by this gene is a laminin that belongs to a family of basement membrane proteins. This protein is a beta subunit laminin, which together with an alpha and a gamma subunit, forms laminin-5. Mutations in this gene cause epidermolysis bullosa junctional Herlitz type, and generalized atrophic benign epidermolysis bullosa, diseases that are characterized by blistering of the skin. Multiple alternatively spliced transcript variants that encode the same protein have been found for this gene.

Alternate Names

BM600-125kDa, Epiligrin subunit bata, FLJ99565, Kalinin B1 chain, Kalinin subunit beta, kalinin-140kDa, LAM5, Laminin 5, Laminin B1k chain, laminin S B3 chain, laminin subunit beta-3, laminin, beta 3, laminin, beta 3 (nicein (125kD), kalinin (140kD), BM600 (125kD)), Laminin-5 subunit beta, LAMNB1, Nicein subunit beta, nicein-125kDa

Gene Symbol

LAMB3

Additional Laminin beta 3 Products

Product Documents for Laminin beta 3 Antibody (OTI3A2)

Certificate of Analysis

To download a Certificate of Analysis, please enter a lot number in the search box below.

Product Specific Notices for Laminin beta 3 Antibody (OTI3A2)

This product is for research use only and is not approved for use in humans or in clinical diagnosis. Primary Antibodies are guaranteed for 1 year from date of receipt.

Loading...
Loading...
Loading...
Loading...