Skip to main content

Laminin beta 3 Antibody (CL3363) - BSA Free

Novus Biologicals, part of Bio-Techne | Catalog # NBP2-46623

Novus Biologicals, part of Bio-Techne
Catalog #
Availability
Size / Price
Qty
Loading...
NBP2-46623
NBP2-46623-25ul

Key Product Details

Validated by

Orthogonal Validation

Species Reactivity

Human

Applications

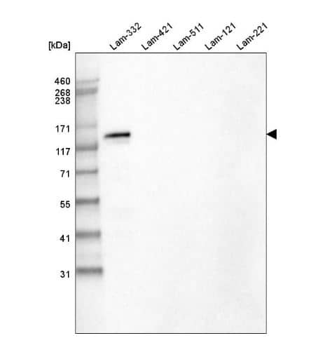
Immunohistochemistry, Immunohistochemistry-Paraffin, Western Blot

Label

Unconjugated

Antibody Source

Monoclonal Mouse IgG1 Clone # CL3363

Format

BSA Free

Concentration

Concentrations vary lot to lot. See vial label for concentration. If unlisted please contact technical services.

Product Specifications

Immunogen

This antibody was developed using a recombinant protein derived from Q13751, with the exact immunogen sequence remaining proprietary.

Clonality

Monoclonal

Host

Mouse

Isotype

IgG1

Description

Novus Biologicals Mouse Laminin beta 3 Antibody (CL3363) - BSA Free (NBP2-46623) is a monoclonal antibody validated for use in IHC and WB. All Novus Biologicals antibodies are covered by our 100% guarantee.

Scientific Data Images for Laminin beta 3 Antibody (CL3363) - BSA Free

Analysis in human duodenum and pancreas tissues using NBP2-46623 antibody. Corresponding LAMB3 RNA-seq data are presented for the same tissues.

Analysis in human duodenum and pancreas tissues using NBP2-46623 antibody. Corresponding LAMB3 RNA-seq data are presented for the same tissues.
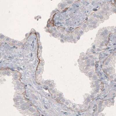
Immunohistochemistry-Paraffin: Laminin beta 3 Antibody (CL3363) [NBP2-46623]

Immunohistochemistry-Paraffin: Laminin beta 3 Antibody (CL3363) [NBP2-46623]

Immunohistochemistry-Paraffin: Laminin beta 3 Antibody (3363) [NBP2-46623] - Staining of human duodenum shows immunoreactivity in basement membrane of glandular epithelium.
Immunohistochemistry-Paraffin: Laminin beta 3 Antibody (CL3363) [NBP2-46623]

Immunohistochemistry-Paraffin: Laminin beta 3 Antibody (CL3363) [NBP2-46623]

Immunohistochemistry-Paraffin: Laminin beta 3 Antibody (3363) [NBP2-46623] - Staining of human prostate shows immunoreactivity in basement membrane of glandular epithelium.

Applications for Laminin beta 3 Antibody (CL3363) - BSA Free

Application
Recommended Usage

Immunohistochemistry

1:200 - 1:500

Immunohistochemistry-Paraffin

1:200-1:500

Western Blot

1 ug/ml
Application Notes
For IHC-Paraffin, HIER pH 6 retrieval is recommended.

Reviewed Applications

Read 1 review rated 1 using NBP2-46623 in the following applications:

Formulation, Preparation, and Storage

Purification

Protein A purified

Formulation

PBS (pH 7.2) and 40% Glycerol

Format

BSA Free

Preservative

0.02% Sodium Azide

Concentration

Concentrations vary lot to lot. See vial label for concentration. If unlisted please contact technical services.

Shipping

The product is shipped with polar packs. Upon receipt, store it immediately at the temperature recommended below.

Stability & Storage

Store at 4C short term. Aliquot and store at -20C long term. Avoid freeze-thaw cycles.

Background: Laminin beta 3

The product encoded by this gene is a laminin that belongs to a family of basement membrane proteins. This protein is a beta subunit laminin, which together with an alpha and a gamma subunit, forms laminin-5. Mutations in this gene cause epidermolysis bullosa junctional Herlitz type, and generalized atrophic benign epidermolysis bullosa, diseases that are characterized by blistering of the skin. Multiple alternatively spliced transcript variants that encode the same protein have been found for this gene.

Alternate Names

BM600-125kDa, Epiligrin subunit bata, FLJ99565, Kalinin B1 chain, Kalinin subunit beta, kalinin-140kDa, LAM5, Laminin 5, Laminin B1k chain, laminin S B3 chain, laminin subunit beta-3, laminin, beta 3, laminin, beta 3 (nicein (125kD), kalinin (140kD), BM600 (125kD)), Laminin-5 subunit beta, LAMNB1, Nicein subunit beta, nicein-125kDa

Entrez Gene IDs

3914 (Human)

Gene Symbol

LAMB3

UniProt

Additional Laminin beta 3 Products

Product Documents for Laminin beta 3 Antibody (CL3363) - BSA Free

Certificate of Analysis

To download a Certificate of Analysis, please enter a lot number in the search box below.

Product Specific Notices for Laminin beta 3 Antibody (CL3363) - BSA Free

This product is for research use only and is not approved for use in humans or in clinical diagnosis. Primary Antibodies are guaranteed for 1 year from date of receipt.

Loading...
Loading...
Loading...
Loading...