LAMC3 Antibody - BSA Free
Novus Biologicals, part of Bio-Techne | Catalog # NBP2-33895
Key Product Details
Validated by
Orthogonal Validation
Species Reactivity
Human
Applications
Immunohistochemistry, Immunohistochemistry-Paraffin
Label
Unconjugated
Antibody Source
Polyclonal Rabbit IgG
Format
BSA Free
Concentration
Concentrations vary lot to lot. See vial label for concentration. If unlisted please contact technical services.
Product Specifications
Immunogen
This antibody was developed against a recombinant protein corresponding to amino acids: CLPCNCSGRSEECTFDRELFRSTGHGGRCHHCRDHTAGPHCERCQENFYHWDPRMPCQPCDCQSAGSLHLQCDDTGTCACKPTVTGWKCDRCLPGFHSLSEGGCRPCTCNPAGSLDTCDPRSGRCPCKENVEG
Reactivity Notes
Immunogen displays the following percentage of sequence identity for non-tested species: Mouse (82%), Rat (83%)
Clonality
Polyclonal
Host
Rabbit
Isotype
IgG
Description
Novus Biologicals Rabbit LAMC3 Antibody - BSA Free (NBP2-33895) is a polyclonal antibody validated for use in IHC. All Novus Biologicals antibodies are covered by our 100% guarantee.
Scientific Data Images for LAMC3 Antibody - BSA Free
Immunohistochemistry-Paraffin: LAMC3 Antibody [NBP2-33895]
Immunohistochemistry-Paraffin: LAMC3 Antibody [NBP2-33895] - Staining of human skeletal muscle shows no positivity in myocytes as expected.Immunohistochemistry: LAMC3 Antibody [NBP2-33895]
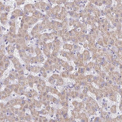
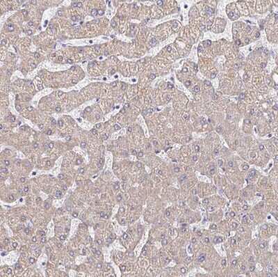
Immunohistochemistry: LAMC3 Antibody [NBP2-33895] - Staining of human liver shows moderate cytoplasmic positivity in hepatocyte.Immunohistochemistry-Paraffin: LAMC3 Antibody [NBP2-33895]
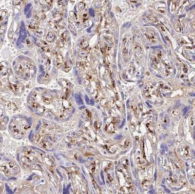
Immunohistochemistry-Paraffin: LAMC3 Antibody [NBP2-33895] - Staining of human placenta shows high expression.Applications for LAMC3 Antibody - BSA Free
Application
Recommended Usage
Immunohistochemistry
1:200 - 1:500
Immunohistochemistry-Paraffin
1:200 - 1:500
Application Notes
For IHC-Paraffin, HIER pH 6 retrieval is recommended.
Formulation, Preparation, and Storage
Purification
Immunogen affinity purified
Formulation
PBS (pH 7.2) and 40% Glycerol
Format
BSA Free
Preservative
0.02% Sodium Azide
Concentration
Concentrations vary lot to lot. See vial label for concentration. If unlisted please contact technical services.
Shipping
The product is shipped with polar packs. Upon receipt, store it immediately at the temperature recommended below.
Stability & Storage
Store at 4C short term. Aliquot and store at -20C long term. Avoid freeze-thaw cycles.
Background: LAMC3
Additional LAMC3 Products
Product Documents for LAMC3 Antibody - BSA Free
Product Specific Notices for LAMC3 Antibody - BSA Free
This product is for research use only and is not approved for use in humans or in clinical diagnosis. Primary Antibodies are guaranteed for 1 year from date of receipt.
Loading...
Loading...
Loading...
Loading...