LAGE3 Antibody - BSA Free
Novus Biologicals, part of Bio-Techne | Catalog # NBP2-32715
Key Product Details
Species Reactivity
Validated:
Human
Cited:
Human
Applications
Validated:
Immunohistochemistry, Immunohistochemistry-Paraffin, Immunocytochemistry/ Immunofluorescence
Cited:
Immunohistochemistry-Paraffin, Western Blot
Label
Unconjugated
Antibody Source
Polyclonal Rabbit IgG
Format
BSA Free
Concentration
Concentrations vary lot to lot. See vial label for concentration. If unlisted please contact technical services.
Product Specifications
Immunogen
This antibody was developed against a recombinant protein corresponding to amino acids: IFTLSVPFPTPLEAEIAHGSLAPDAEPHQRVVGKDLTVSGRILVVRWKAEDCRLLRISVINFLDQLSLVVRTMQRFG
Clonality
Polyclonal
Host
Rabbit
Isotype
IgG
Scientific Data Images for LAGE3 Antibody - BSA Free
Immunocytochemistry/ Immunofluorescence: LAGE3 Antibody [NBP2-32715]
Immunocytochemistry/Immunofluorescence: LAGE3 Antibody [NBP2-32715] - Staining of human cell line MCF7 shows localization to nucleoplasm. Antibody staining is shown in green.Immunohistochemistry-Paraffin: LAGE3 Antibody [NBP2-32715]
Immunohistochemistry-Paraffin: LAGE3 Antibody [NBP2-32715] - Staining of human kidney shows strong nuclear positivity in cells in tubules.Immunohistochemistry-Paraffin: LAGE3 Antibody [NBP2-32715] -
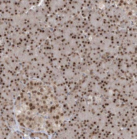
Immunohistochemistry-Paraffin: LAGE3 Antibody [NBP2-32715] -Staining of human pancreas shows strong nuclear positivity in exocrine glandular cells.Applications for LAGE3 Antibody - BSA Free
Application
Recommended Usage
Immunocytochemistry/ Immunofluorescence
0.25-2 ug/ml
Immunohistochemistry
1:200 - 1:500
Immunohistochemistry-Paraffin
1:200 - 1:500
Application Notes
For IHC-Paraffin, HIER pH 6 retrieval is recommended. ICC/IF Fixation Permeabilization: Use PFA/Triton X-100.
Formulation, Preparation, and Storage
Purification
Affinity purified
Formulation
PBS (pH 7.2) and 40% Glycerol
Format
BSA Free
Preservative
0.02% Sodium Azide
Concentration
Concentrations vary lot to lot. See vial label for concentration. If unlisted please contact technical services.
Shipping
The product is shipped with polar packs. Upon receipt, store it immediately at the temperature recommended below.
Stability & Storage
Store at 4C short term. Aliquot and store at -20C long term. Avoid freeze-thaw cycles.
Background: LAGE3
Alternate Names
L antigen family, member 3
Gene Symbol
LAGE3
Additional LAGE3 Products
Product Documents for LAGE3 Antibody - BSA Free
Product Specific Notices for LAGE3 Antibody - BSA Free
This product is for research use only and is not approved for use in humans or in clinical diagnosis. Primary Antibodies are guaranteed for 1 year from date of receipt.
Loading...
Loading...
Loading...
Loading...