Skip to main content

Lactoferrin Antibody

Novus Biologicals, part of Bio-Techne | Catalog # NBP2-19322

Novus Biologicals, part of Bio-Techne
Catalog #
Availability
Size / Price
Qty
Loading...
NBP2-19322

Key Product Details

Species Reactivity

Human

Applications

Immunohistochemistry, Immunohistochemistry-Paraffin, Western Blot

Label

Unconjugated

Antibody Source

Polyclonal Rabbit IgG

Concentration

Concentrations vary lot to lot. See vial label for concentration. If unlisted please contact technical services.

Product Specifications

Immunogen

Recombinant protein encompassing a sequence within the center region of human Lactoferrin. The exact sequence is proprietary.

Localization

Secreted

Clonality

Polyclonal

Host

Rabbit

Isotype

IgG

Theoretical MW

78 kDa.
Disclaimer note: The observed molecular weight of the protein may vary from the listed predicted molecular weight due to post translational modifications, post translation cleavages, relative charges, and other experimental factors.

Description

Novus Biologicals Rabbit Lactoferrin Antibody (NBP2-19322) is a polyclonal antibody validated for use in IHC and WB. All Novus Biologicals antibodies are covered by our 100% guarantee.

Scientific Data Images for Lactoferrin Antibody

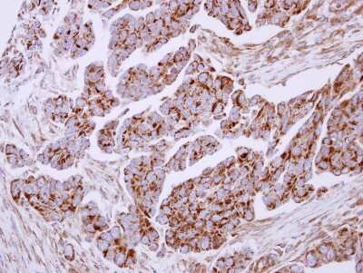
Immunohistochemistry-Paraffin: Lactoferrin Antibody [NBP2-19322]

Immunohistochemistry-Paraffin: Lactoferrin Antibody [NBP2-19322]

Immunohistochemistry-Paraffin: Lactoferrin Antibody [NBP2-19322] - Human ovarian carcinoma, using Lactoferrin antibody at 1:250 dilution. Antigen Retrieval: Trilogy™ (EDTA based, pH 8.0) buffer, 15min.
Lactoferrin Antibody

Western Blot: Lactoferrin Antibody [NBP2-19322] -

Human milk (5 ug) was separated by 7.5% SDS-PAGE, and the membrane was blotted with Lactoferrin antibody (NBP2-19322) diluted at 1:20000. The HRP-conjugated anti-rabbit IgG antibody was used to detect the primary antibody.

Applications for Lactoferrin Antibody

Application
Recommended Usage

Immunohistochemistry

1:100-1:1000

Immunohistochemistry-Paraffin

1:100-1:1000

Western Blot

1:5000-1:20000

Formulation, Preparation, and Storage

Purification

Antigen Affinity-purified

Formulation

PBS, 1% BSA, 20% Glycerol

Preservative

0.025% Proclin 300

Concentration

Concentrations vary lot to lot. See vial label for concentration. If unlisted please contact technical services.

Shipping

The product is shipped with polar packs. Upon receipt, store it immediately at the temperature recommended below.

Stability & Storage

Aliquot and store at -20C or -80C. Avoid freeze-thaw cycles.

Background: Lactoferrin

This gene is a member of the transferrin family of genes and its protein product is found in the secondary granules of neutrophils. The protein is a major iron-binding protein in milk and body secretions with an antimicrobial activity, making it an important component of the non-specific immune system. The protein demonstrates a broad spectrum of properties, including regulation of iron homeostasis, host defense against a broad range of microbial infections, anti-inflammatory activity, regulation of cellular growth and differentiation and protection against cancer development and metastasis. [provided by RefSeq]

Alternate Names

GIG12, HEL110, HLF2, Kaliocin-1, Lactoferricin, Lactoferroxin, Lactotransferrin, LF, LTF, Talalactoferrin

Gene Symbol

LTF

UniProt

Additional Lactoferrin Products

Product Documents for Lactoferrin Antibody

Certificate of Analysis

To download a Certificate of Analysis, please enter a lot number in the search box below.

Product Specific Notices for Lactoferrin Antibody

This product is for research use only and is not approved for use in humans or in clinical diagnosis. Primary Antibodies are guaranteed for 1 year from date of receipt.

Loading...
Loading...
Loading...
Loading...

⚠ WARNING: This product can expose you to chemicals including mercury, which is known to the State of California to cause reproductive toxicity with developmental effects.  For more information go to www.P65Warnings.ca.gov.