Lactoferrin Antibody
Novus Biologicals, part of Bio-Techne | Catalog # NBP1-05027
Key Product Details
Species Reactivity
Validated:
Human
Cited:
Human
Applications
Validated:
Immunohistochemistry, Immunohistochemistry-Paraffin, Western Blot, Peptide ELISA
Cited:
Western Blot
Label
Unconjugated
Antibody Source
Polyclonal Goat IgG
Concentration
0.5 mg/ml
Product Specifications
Immunogen
This Lactoferrin Antibody was developed against a peptide with sequence C-ENYKSQQSSDPDP corresponding to internal region according to NP_002334.2.
Epitope
internal region
Clonality
Polyclonal
Host
Goat
Isotype
IgG
Description
Novus Biologicals Goat Lactoferrin Antibody (NBP1-05027) is a polyclonal antibody validated for use in IHC, WB and ELISA. Anti-Lactoferrin Antibody: Cited in 2 publications. All Novus Biologicals antibodies are covered by our 100% guarantee.
Scientific Data Images for Lactoferrin Antibody
Western Blot: Lactoferrin Antibody [NBP1-05027]
Western Blot: Lactoferrin Antibody [NBP1-05027] - Analysis of Lactoferrin in Peripheral Blood Mononucleocyte lysate using NBP1-05027 at 0.05 ug/mL (35 ug protein in RIPA buffer). Primary incubation was 1 hour. Detected by chemiluminescence. Approx. 85 kDa band observed (calculated MW of 78.2 kDa according to NP_002334.2).Immunohistochemistry-Paraffin: Lactoferrin Antibody [NBP1-05027]
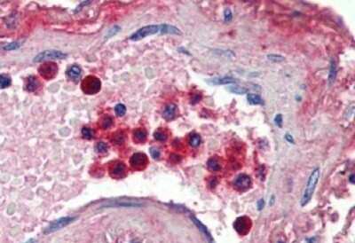
Immunohistochemistry-Paraffin: Lactoferrin Antibody [NBP1-05027] - Staining of Human Blood Vessel with antibody at 2 ug/mL shows strong staining of cytoplasm of neutrophils. Steamed antigen retrieval with citrate buffer pH 6, AP-staining.Applications for Lactoferrin Antibody
Application
Recommended Usage
Immunohistochemistry
2 - 4 ug/mL
Immunohistochemistry-Paraffin
2 - 4 ug/mL
Peptide ELISA
Detection limit 1:32000
Western Blot
0.05 - 0.2 ug/mL
Formulation, Preparation, and Storage
Purification
Immunogen affinity purified
Formulation
Tris saline (20 mM Tris pH 7.3, 150 mM NaCl), 0.5% BSA
Preservative
0.02% Sodium Azide
Concentration
0.5 mg/ml
Shipping
The product is shipped with polar packs. Upon receipt, store it immediately at the temperature recommended below.
Stability & Storage
Store at -20C. Avoid freeze-thaw cycles.
Background: Lactoferrin
Alternate Names
GIG12, HEL110, HLF2, Kaliocin-1, Lactoferricin, Lactoferroxin, Lactotransferrin, LF, LTF, Talalactoferrin
Entrez Gene IDs
4057 (Human)
Gene Symbol
LTF
UniProt
Additional Lactoferrin Products
Product Documents for Lactoferrin Antibody
Product Specific Notices for Lactoferrin Antibody
This product is for research use only and is not approved for use in humans or in clinical diagnosis. Primary Antibodies are guaranteed for 1 year from date of receipt.
Loading...
Loading...
Loading...
Loading...