Skip to main content

Lactoferrin Antibody (LTF/4082) - Azide and BSA Free

Novus Biologicals, part of Bio-Techne | Catalog # NBP3-14113

Novus Biologicals, part of Bio-Techne

Key Product Details

Species Reactivity

Human

Applications

Immunohistochemistry-Paraffin, Flow Cytometry, Immunocytochemistry/ Immunofluorescence, Protein Array

Label

Unconjugated

Antibody Source

Monoclonal Mouse IgG2b Kappa Clone # LTF/4082

Format

Azide and BSA Free

Concentration

1 mg/ml

Product Specifications

Immunogen

Recombinant fragment (around aa614-645) of human Lactoferrin protein (exact sequence is proprietary) (Uniprot: IDP02788)

Localization

Cytoplasm, Secreted

Specificity

Ferritin and transferrins manage necessary iron-binding functions for iron metabolism. Transferrins comprise a class of single-chain, two-sited, metal-binding proteins expressed throughout the fluid and cells of vertebrates. The three major types of transferrin include serotransferrin, lactotransferrin (lactoferrin) and ovotransferrin. Lactoferrin is found in milk, tears and leukocytes. It degrades an IgA1protease secreted by Haemophilus influenzae and, consequently, allows the human IgA1antibody to effectively abolish Haemophilus influenzae colonization. Lactoferrin also attenuates the pathogenic potential of Haemophilus influenzae by proteolytic degradation of the Hap adhesin. While lactoferrin may aid in the transmission of human T cell leukemiavirus type 1, it inhibits HIV-1 replication at the level of viral fusion and entry into cells. The inhibitory effects of lactoferrin on mixed lymphocyte reactions suggest that it may have the ability to sense the activation status of lymphocytes.

Clonality

Monoclonal

Host

Mouse

Isotype

IgG2b Kappa

Theoretical MW

78 kDa.
Disclaimer note: The observed molecular weight of the protein may vary from the listed predicted molecular weight due to post translational modifications, post translation cleavages, relative charges, and other experimental factors.

Description

1.0 mg/ml of antibody purified from Bioreactor Concentrate by Protein A/G. Prepared in 10mM PBS WITHOUT BSA & azide. Also available at 200 ug/ml WITH BSA & azide (NBP3-13918).

Antibody with azide - store at 2 to 8C. Antibody without azide - store at -20 to -80 C.

Scientific Data Images for Lactoferrin Antibody (LTF/4082) - Azide and BSA Free

Protein Array: Lactoferrin Antibody (LTF/4082) - Azide and BSA Free [NBP3-14113]

Protein Array: Lactoferrin Antibody (LTF/4082) - Azide and BSA Free [NBP3-14113]

Protein Array: Lactoferrin Antibody (LTF/4082) - Azide and BSA Free [NBP3-14113] - Analysis of Protein Array containing more than 19,000 full-length human proteins using Lactoferrin Antibody (LTF/4082).
Lactoferrin Antibody (LTF/4082) - Azide and BSA Free

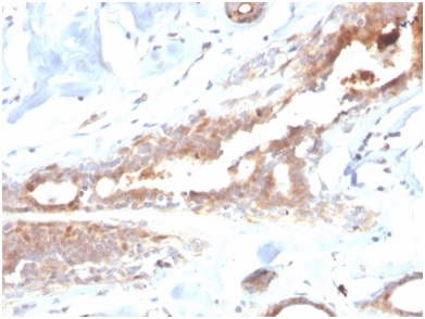
Lactoferrin Antibody (LTF/4082)

Formalin-fixed, paraffin-embedded human breast carcinoma stained with Lactoferrin antibody (LTF/4082). HIER: Tris/EDTA, pH9.0, 45min. Secondary: HRP-polymer, 30min. DAB, 5min.
Lactoferrin Antibody (LTF/4082) - Azide and BSA Free Immunocytochemistry/ Immunofluorescence: Lactoferrin Antibody (LTF/4082) - Azide and BSA Free [NBP3-14113] -

Immunocytochemistry/ Immunofluorescence: Lactoferrin Antibody (LTF/4082) - Azide and BSA Free [NBP3-14113] -

Immunofluorescence Analysis of PFA-fixed MCF-7 cells stained using Lactoferrin Antibody (LTF/4082) - Azide and BSA Free

Applications for Lactoferrin Antibody (LTF/4082) - Azide and BSA Free

Application
Recommended Usage

Flow Cytometry

1-2 ug/million cells

Immunocytochemistry/ Immunofluorescence

1-2 ug/ml

Immunohistochemistry-Paraffin

1-2 ug/ml
Application Notes
Immunohistochemistry (Formalin-fixed): 1-2ug/ml for 30 minutes at RT. Staining of formalin-fixed tissues requires heating tissue sections in 10mM Tris with 1mM EDTA, pH 9.0, for 45 min at 95C followed by cooling at RT for 20 minutes

Formulation, Preparation, and Storage

Purification

Protein A or G purified

Formulation

10mM PBS

Format

Azide and BSA Free

Preservative

No Preservative

Concentration

1 mg/ml

Shipping

The product is shipped with polar packs. Upon receipt, store it immediately at the temperature recommended below.

Stability & Storage

Store at -20 to -80C. Avoid freeze-thaw cycles.

Background: Lactoferrin

Lactoferrin is an iron binding glycoprotein with an approximate molecular weight of 80 kDa. The protein has two iron binding domains each housing one Fe3+ and the synergistic CO32- ion. The crystal structure form of human lactoferrin at 2.2A resolution exhibits 5330 protein atoms, 2Fe2+, 2CO32- and 98 carbohydrate atoms. Lactoferrin is absorbed from intestine by apical side of the membrane and localized to the nuclei. Intravenous infusion of lactoferrin is protective against lethal doses of E coli and induce bacterimia by a mechanism that downregulates neutrophil TNF alfa secretion. Recombinant human lactoferrin (rhLF), expressed and extracted from rice seed, is being evaluated for use as a dietary supplement to treat iron deficiency and/or iron deficiency induced anemia. Lactoferrin has been shown to have a role in the immune system and in early development of the embryo. A specific receptor for lactoferrin binding has been implicated in the human fetal intestine. Early embryonic localisation of lactoferrin by IHC has suggested its presence in various tissues including intestinal epitheliuem, kiney, and various regions of the brain.

Alternate Names

GIG12, HEL110, HLF2, Kaliocin-1, Lactoferricin, Lactoferroxin, Lactotransferrin, LF, LTF, Talalactoferrin

Gene Symbol

LTF

Additional Lactoferrin Products

Product Documents for Lactoferrin Antibody (LTF/4082) - Azide and BSA Free

Certificate of Analysis

To download a Certificate of Analysis, please enter a lot number in the search box below.

Product Specific Notices for Lactoferrin Antibody (LTF/4082) - Azide and BSA Free

This product is for research use only and is not approved for use in humans or in clinical diagnosis. Primary Antibodies are guaranteed for 1 year from date of receipt.

Loading...
Loading...
Loading...
Loading...
Loading...