Skip to main content

Lactase Antibody (CL14133) - Azide and BSA Free

Novus Biologicals, part of Bio-Techne | Catalog # NBP3-44273

Novus Biologicals, part of Bio-Techne

Key Product Details

Validated by

Orthogonal Validation

Species Reactivity

Human

Applications

Immunohistochemistry-Paraffin

Label

Unconjugated

Antibody Source

Monoclonal Mouse IgG2A Clone # CL14133

Format

Azide and BSA Free

Concentration

LYOPH mg/ml

Product Specifications

Immunogen

This antibody was generated using a synthetic peptide of P09848, with the exact immunogen sequence remaining proprietary.

Clonality

Monoclonal

Host

Mouse

Isotype

IgG2A

Description

Novus Biologicals Mouse Lactase Antibody (CL14133) - Azide and BSA Free (NBP3-26844) is a monoclonal antibody validated for use in IHC. All Novus Biologicals antibodies are covered by our 100% guarantee.

Scientific Data Images for Lactase Antibody (CL14133) - Azide and BSA Free

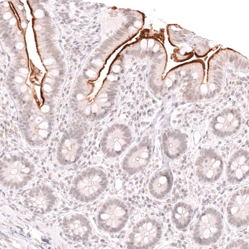
Lactase Antibody (CL14133) - Azide and BSA Free Immunohistochemistry-Paraffin: Lactase Antibody [NBP3-44273]

Immunohistochemistry-Paraffin: Lactase Antibody [NBP3-44273]

Analysis in human small intestine and liver tissues using NBP3-44273 antibody. Corresponding Lactase RNA-seq data are presented for the same tissues.
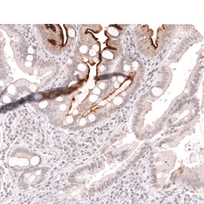
Lactase Antibody (CL14133) - Azide and BSA Free Immunohistochemistry-Paraffin: Lactase Antibody [NBP3-44273]

Immunohistochemistry-Paraffin: Lactase Antibody [NBP3-44273]

Staining of human duodenum shows strong membranous positivity in the intestinal brush border.
Lactase Antibody (CL14133) - Azide and BSA Free Immunohistochemistry-Paraffin: Lactase Antibody [NBP3-44273]

Immunohistochemistry-Paraffin: Lactase Antibody [NBP3-44273]

Staining of human cerebral cortex shows no positivity in neurons as expected.

Applications for Lactase Antibody (CL14133) - Azide and BSA Free

Application
Recommended Usage

Immunohistochemistry-Paraffin

1:2500 - 1:5000
Application Notes
For IHC-Paraffin, HIER pH 6 retrieval is recommended.

Formulation, Preparation, and Storage

Purification

Protein A purified

Reconstitution

Centrifuge the vial of lyophilized antibody at 12,000 x g for 20 seconds. Reconstitute by adding sterile, distilled water to achieve a final antibody concentration of 1mg/ml.

Formulation

Lyophilized from a 0.2 um filtered solution in PBS with Trehalose

Format

Azide and BSA Free

Preservative

No Preservative

Concentration

LYOPH mg/ml

Shipping

The product is shipped at ambient temperature. Upon receipt, store it immediately at the temperature recommended below.

Stability & Storage

Store at 4C short term. Aliquot and store at -20C long term. Avoid freeze-thaw cycles.

Background: Lactase

Lactase encodes a gene belonging to family 1 of gylcosyl hydrolases. This protien has phlorizin hydrolase activity aas well as lactase activity. The protien is also integral to the plasma membrane.

Alternate Names

EC 3.2.1, LAC, lactase, lactase-glycosylceramidase, lactase-phlorizin hydrolase, LPH1, LPHlactase-phlorizin hydrolase-1

Gene Symbol

LCT

Additional Lactase Products

Product Documents for Lactase Antibody (CL14133) - Azide and BSA Free

Certificate of Analysis

To download a Certificate of Analysis, please enter a lot number in the search box below.

Product Specific Notices for Lactase Antibody (CL14133) - Azide and BSA Free

This product is for research use only and is not approved for use in humans or in clinical diagnosis. Primary Antibodies are guaranteed for 1 year from date of receipt.

Loading...
Loading...
Loading...
Loading...
Loading...