Skip to main content

lactamase, beta 2 Antibody - BSA Free

Novus Biologicals, part of Bio-Techne | Catalog # NBP3-46047

Novus Biologicals, part of Bio-Techne
Catalog #
Availability
Size / Price
Qty
Loading...
NBP3-46047

Key Product Details

Species Reactivity

Human, Mouse, Rat

Applications

Immunohistochemistry, Western Blot, ELISA, Immunocytochemistry/ Immunofluorescence, Immunoprecipitation

Label

Unconjugated

Antibody Source

Polyclonal Rabbit IgG

Format

BSA Free

Concentration

Please see the vial label for concentration. If unlisted please contact technical services.

Product Specifications

Immunogen

lactamase, beta 2. (Uniprot# Q53H82)

Clonality

Polyclonal

Host

Rabbit

Isotype

IgG

Theoretical MW

33 kDa.
Disclaimer note: The observed molecular weight of the protein may vary from the listed predicted molecular weight due to post translational modifications, post translation cleavages, relative charges, and other experimental factors.

Description

Novus Biologicals Rabbit lactamase, beta 2 Antibody - BSA Free (NBP3-46047) is a polyclonal antibody validated for use in IHC, WB, ELISA, ICC/IF and IP. All Novus Biologicals antibodies are covered by our 100% guarantee.

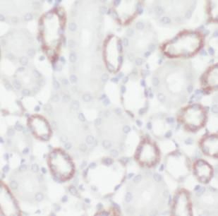
Scientific Data Images for lactamase, beta 2 Antibody - BSA Free

lactamase, beta 2 Antibody - BSA Free

Western Blot: lactamase, beta 2 Antibody - BSA Free [NBP3-46047] -

Western Blot: lactamase, beta 2 Antibody - BSA Free [NBP3-46047] - HeLa cells were subjected to SDS PAGE followed by western blot with (lactamase, beta 2 antibody) at dilution of 1:4000
lactamase, beta 2 Antibody - BSA Free

Immunocytochemistry/ Immunofluorescence: lactamase, beta 2 Antibody - BSA Free [NBP3-46047] -

Immunocytochemistry/ Immunofluorescence: lactamase, beta 2 Antibody - BSA Free [NBP3-46047] - Immunofluorescent analysis of HepG2 cells, using (lactamase, beta 2 antibody) at 1:25 dilution
lactamase, beta 2 Antibody - BSA Free

Immunoprecipitation: lactamase, beta 2 Antibody - BSA Free [NBP3-46047] -

Immunoprecipitation: lactamase, beta 2 Antibody - BSA Free [NBP3-46047] - IP Result of anti-lactamase, beta 2 (IP:, 3ug; Detection: 1:700) with A549 cells lysate 520ug.

Applications for lactamase, beta 2 Antibody - BSA Free

Application
Recommended Usage

Immunocytochemistry/ Immunofluorescence

1:10-1:100

Immunohistochemistry

1:20-1:200

Immunoprecipitation

1:500-1:1000

Western Blot

1:1000-1:8000

Formulation, Preparation, and Storage

Purification

Immunogen affinity purified

Formulation

PBS, 50% Glycerol, pH (7.3)

Format

BSA Free

Preservative

0.02% Sodium Azide

Concentration

Please see the vial label for concentration. If unlisted please contact technical services.

Shipping

The product is shipped with polar packs. Upon receipt, store it immediately at the temperature recommended below.

Stability & Storage

Store at -20C. Avoid freeze-thaw cycles.

Background: lactamase, beta 2

Alternate Names

beta-lactamase-like protein 2, CGI-83, EC 3.-, lactamase, beta 2

Gene Symbol

LACTB2

Additional lactamase, beta 2 Products

Product Documents for lactamase, beta 2 Antibody - BSA Free

Certificate of Analysis

To download a Certificate of Analysis, please enter a lot number in the search box below.

Product Specific Notices for lactamase, beta 2 Antibody - BSA Free

This product is for research use only and is not approved for use in humans or in clinical diagnosis. Primary Antibodies are guaranteed for 1 year from date of receipt.

Loading...
Loading...
Loading...
Loading...