Skip to main content

lactamase, beta 2 Antibody (OTI2F9) - Azide and BSA Free

Novus Biologicals, part of Bio-Techne | Catalog # NBP2-71901

Novus Biologicals, part of Bio-Techne
Catalog #
Availability
Size / Price
Qty
Loading...
NBP2-71901

Key Product Details

Species Reactivity

Human, Canine, Monkey, Primate

Applications

Immunohistochemistry, Immunohistochemistry-Paraffin, Western Blot, Flow Cytometry, CyTOF-ready

Label

Unconjugated

Antibody Source

Monoclonal Mouse IgG1 Clone # OTI2F9

Format

Azide and BSA Free

Concentration

LYOPH mg/ml

Product Specifications

Immunogen

Human recombinant protein fragment corresponding to amino acids 78-288 of human LACTB2(NP_057111) produced in HEK293T cell.

Clonality

Monoclonal

Host

Mouse

Isotype

IgG1

Theoretical MW

32.6 kDa.
Disclaimer note: The observed molecular weight of the protein may vary from the listed predicted molecular weight due to post translational modifications, post translation cleavages, relative charges, and other experimental factors.

Description

Novus Biologicals Mouse lactamase, beta 2 Antibody (OTI2F9) - Azide and BSA Free (NBP2-00509) is a monoclonal antibody validated for use in IHC, WB and Flow. All Novus Biologicals antibodies are covered by our 100% guarantee.

Scientific Data Images for lactamase, beta 2 Antibody (OTI2F9) - Azide and BSA Free

Western Blot: lactamase, beta 2 Antibody (OTI2F9)Azide and BSA Free [NBP2-71901]

Western Blot: lactamase, beta 2 Antibody (OTI2F9)Azide and BSA Free [NBP2-71901]

Western Blot: lactamase, beta 2 Antibody (OTI2F9) - Azide and BSA Free [NBP2-71901] - HEK293T cells were transfected with the pCMV6-ENTRY control (Left lane) or pCMV6-ENTRY lactamase, beta 2 (Right lane) cDNA for 48 hrs and lysed. Equivalent amounts of cell lysates (5 ug per lane) were separated by SDS-PAGE and immunoblotted with anti-lact
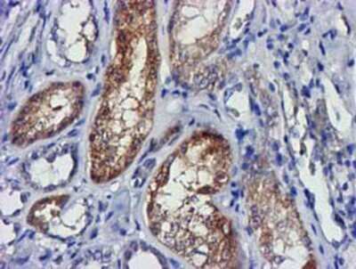
Immunohistochemistry: lactamase, beta 2 Antibody (OTI2F9) - Azide and BSA Free [NBP2-71901]

Immunohistochemistry: lactamase, beta 2 Antibody (OTI2F9) - Azide and BSA Free [NBP2-71901]

Immunohistochemistry: lactamase, beta 2 Antibody (OTI2F9) - Azide and BSA Free [NBP2-71901] - Staining of paraffin-embedded Human breast tissue using anti-lactamase, beta 2 mouse monoclonal antibody.
Flow Cytometry: lactamase, beta 2 Antibody (OTI2F9) - Azide and BSA Free [NBP2-71901]

Flow Cytometry: lactamase, beta 2 Antibody (OTI2F9) - Azide and BSA Free [NBP2-71901]

Flow Cytometry: lactamase, beta 2 Antibody (OTI2F9) - Azide and BSA Free [NBP2-71901] - HEK293T cells transfected with either overexpression plasmid (Red) or empty vector control plasmid (Blue) were immunostaining by anti-lactamase, beta 2 antibody, and then analyzed by flow cytometry.

Applications for lactamase, beta 2 Antibody (OTI2F9) - Azide and BSA Free

Application
Recommended Usage

Flow Cytometry

1:100

Immunohistochemistry

1:150

Western Blot

1:500-2000

Formulation, Preparation, and Storage

Purification

Immunogen affinity purified

Reconstitution

we recommend adding 100uL distilled water to a final antibody concentration of about 1 mg/mL. To use this carrier-free antibody for conjugation experiment, we strongly recommend performing another round of desalting process.

Formulation

Lyophilized from PBS (pH 7.3) with 8% Trehalose

Format

Azide and BSA Free

Preservative

No Preservative

Concentration

LYOPH mg/ml

Shipping

The product is shipped with polar packs. Upon receipt, store it immediately at the temperature recommended below.

Stability & Storage

Store at -20C. Avoid freeze-thaw cycles.

Background: lactamase, beta 2

Alternate Names

beta-lactamase-like protein 2, CGI-83, EC 3.-, lactamase, beta 2

Gene Symbol

LACTB2

Additional lactamase, beta 2 Products

Product Documents for lactamase, beta 2 Antibody (OTI2F9) - Azide and BSA Free

Certificate of Analysis

To download a Certificate of Analysis, please enter a lot number in the search box below.

Product Specific Notices for lactamase, beta 2 Antibody (OTI2F9) - Azide and BSA Free

This product is for research use only and is not approved for use in humans or in clinical diagnosis. Primary Antibodies are guaranteed for 1 year from date of receipt.

Loading...
Loading...
Loading...
Loading...
Loading...
Loading...