Skip to main content

Lactalbumin Alpha Antibody - BSA Free

Novus Biologicals, part of Bio-Techne | Catalog # NBP2-56836

Novus Biologicals, part of Bio-Techne
Catalog #
Availability
Size / Price
Qty
Loading...
NBP2-56836-25ul
NBP2-56836

Key Product Details

Validated by

Independent Antibodies

Species Reactivity

Human

Applications

Immunohistochemistry, Immunohistochemistry-Paraffin, Western Blot

Label

Unconjugated

Antibody Source

Polyclonal Rabbit IgG

Format

BSA Free

Concentration

Concentrations vary lot to lot. See vial label for concentration. If unlisted please contact technical services.

Product Specifications

Immunogen

This antibody was developed against a recombinant protein corresponding to the following amino acid sequence: KCELSQLLKDIDGYGGIALPELICTMFHTSGYDTQAIVENNESTEYGLFQISNKLWCKSS

Clonality

Polyclonal

Host

Rabbit

Isotype

IgG

Description

Novus Biologicals Rabbit Lactalbumin Alpha Antibody - BSA Free (NBP2-56836) is a polyclonal antibody validated for use in IHC and WB. All Novus Biologicals antibodies are covered by our 100% guarantee.

Scientific Data Images for Lactalbumin Alpha Antibody - BSA Free

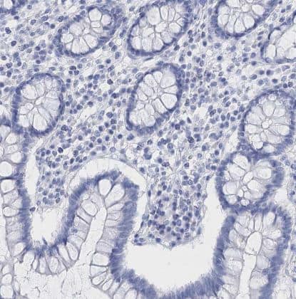
Lactalbumin Alpha Antibody Immunohistochemistry-Paraffin: Lactalbumin Alpha Antibody Antibody [NBP2-56836]

Immunohistochemistry-Paraffin: Lactalbumin Alpha Antibody Antibody [NBP2-56836]

Staining of human cerebral cortex, colon, lactating breast and testis using NBP2-56836 (A) shows similar protein distribution across tissues to independent antibody NBP1-87715 (B).
Western Blot: Lactalbumin Alpha Antibody [NBP2-56836]

Western Blot: Lactalbumin Alpha Antibody [NBP2-56836]

Western Blot: Lactalbumin Alpha Antibody [NBP2-56836] - Western blot analysis in control (vector only transfected HEK293T lysate) and LALBA over-expression lysate (Co-expressed with a C-terminal myc-DDK tag (3.1 kDa) in mammalian HEK293T cells).
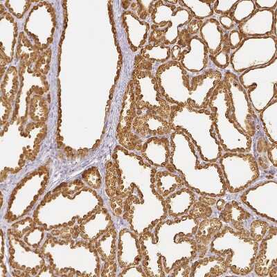
Immunohistochemistry-Paraffin: Lactalbumin Alpha Antibody [NBP2-56836]

Immunohistochemistry-Paraffin: Lactalbumin Alpha Antibody [NBP2-56836]

Immunohistochemistry-Paraffin: Lactalbumin Alpha Antibody [NBP2-56836] - Staining of human lactating breast shows moderate cytoplasmic positivity in glandular cells.

Applications for Lactalbumin Alpha Antibody - BSA Free

Application
Recommended Usage

Immunohistochemistry

1:500 - 1:1000

Immunohistochemistry-Paraffin

1:500 - 1:1000

Western Blot

0.04-0.4 ug/ml
Application Notes
IHC-Paraffin, HIER pH 6 retrieval is recommended.

Formulation, Preparation, and Storage

Purification

Affinity purified

Formulation

PBS (pH 7.2) and 40% Glycerol

Format

BSA Free

Preservative

0.02% Sodium Azide

Concentration

Concentrations vary lot to lot. See vial label for concentration. If unlisted please contact technical services.

Shipping

The product is shipped with polar packs. Upon receipt, store it immediately at the temperature recommended below.

Stability & Storage

Store at 4C short term. Aliquot and store at -20C long term. Avoid freeze-thaw cycles.

Background: Lactalbumin Alpha

Alpha-LA is the B protein of lactose synthetase secreted by the mammary epithelial cells. a-LA is a potent Ca(2+)-elevating and apoptosis-inducing agent with broad, yet selective, cytotoxic activity. Multimeric a-LA kills all transformed, embryonic, and lymphoid cells tested but spared mature epithelial elements. It suggests that milk contributes to mucosal immunity not only by furnishing antimicrobial molecules but also by policing the function of lymphocytes and epithelium. a-LA may be helpful in ascertaining the site of origin of metastatic breast tumors

Alternate Names

alpha-lactalbumin, lactalbumin, alpha-, Lactose synthase B protein, Lysozyme-like protein 7, LYZL7, MGC138521, MGC138523

Gene Symbol

LALBA

Additional Lactalbumin Alpha Products

Product Documents for Lactalbumin Alpha Antibody - BSA Free

Certificate of Analysis

To download a Certificate of Analysis, please enter a lot number in the search box below.

Product Specific Notices for Lactalbumin Alpha Antibody - BSA Free

This product is for research use only and is not approved for use in humans or in clinical diagnosis. Primary Antibodies are guaranteed for 1 year from date of receipt.

Loading...
Loading...
Loading...
Loading...