Skip to main content

Kynurenine 3-Monooxygenase/KMO Antibody - BSA Free

Novus Biologicals, part of Bio-Techne | Catalog # NBP1-86335

Novus Biologicals, part of Bio-Techne
Catalog #
Availability
Size / Price
Qty
Loading...
NBP1-86335
NBP1-86335-25ul

Key Product Details

Validated by

Orthogonal Validation, Independent Antibodies

Species Reactivity

Human

Applications

Immunohistochemistry, Immunohistochemistry-Paraffin

Label

Unconjugated

Antibody Source

Polyclonal Rabbit IgG

Format

BSA Free

Concentration

Concentrations vary lot to lot. See vial label for concentration. If unlisted please contact technical services.

Product Specifications

Immunogen

This antibody was developed against Recombinant Protein corresponding to amino acids: GLVGSLQACFLAKRNFQIDVYEAREDTRVATFTRGRSINLALSHRGRQALKAVGLEDQIVSQGIPMRARMIHSLSGKKSAIPYGTKSQYILSVSRENLNKDLLTAAEKYPNVKMHFNHR

Reactivity Notes

Immunogen displays the following percentage of sequence identity for non-tested species: Mouse (82%), Rat (84%)

Clonality

Polyclonal

Host

Rabbit

Isotype

IgG

Description

Novus Biologicals Rabbit Kynurenine 3-Monooxygenase/KMO Antibody - BSA Free (NBP1-86335) is a polyclonal antibody validated for use in IHC. Anti-Kynurenine 3-Monooxygenase/KMO Antibody: Cited in 1 publication. All Novus Biologicals antibodies are covered by our 100% guarantee.

Scientific Data Images for Kynurenine 3-Monooxygenase/KMO Antibody - BSA Free

Kynurenine 3-Monooxygenase/KMO Antibody

Western Blot: Kynurenine 3-Monooxygenase/KMO Antibody [NBP1-86335] -

Western Blot: Kynurenine 3-Monooxygenase/KMO Antibody [NBP1-86335] - Western blot analysis of function protein expression on primary human renal cortical epithelial cells challenged with cytokines. Primary human renal tubular epithelial cells are challenged with cytokine cocktail (15nM IFN gamma, 6nM TNF alpha, & 3nM IL1 beta). (A, B) Expression of Snail, E-Cad, TJP1, SMA. AhR, IDO, KMO, KY, MHCI & II. (C, D) Densitometric quantitation of protein in (A, B). All Western blots are representative of at least three independent experiments. *P < 0.05, ***P < 0.0001 versus to cells without treatment, analysis is multiple t-tests, pairwise comparison of individual time-point to control indicated same p-value. Image collected & cropped by CiteAb from the following publication (https://pubmed.ncbi.nlm.nih.gov/34305900), licensed under a CC-BY license. Not internally tested by Novus Biologicals.
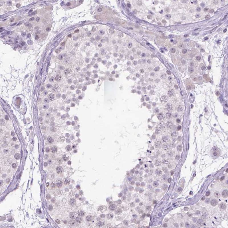
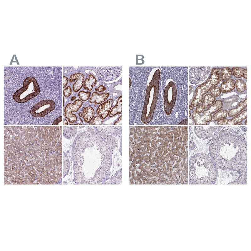
Kynurenine 3-Monooxygenase/KMO Antibody Immunohistochemistry-Paraffin: Kynurenine 3-Monooxygenase/KMO Antibody Antibody [NBP1-86335]

Immunohistochemistry-Paraffin: Kynurenine 3-Monooxygenase/KMO Antibody Antibody [NBP1-86335]

Staining of human endometrium, kidney, liver and testis using NBP1-86335 (A) shows similar protein distribution across tissues to independent antibody NBP2-54915 (B).
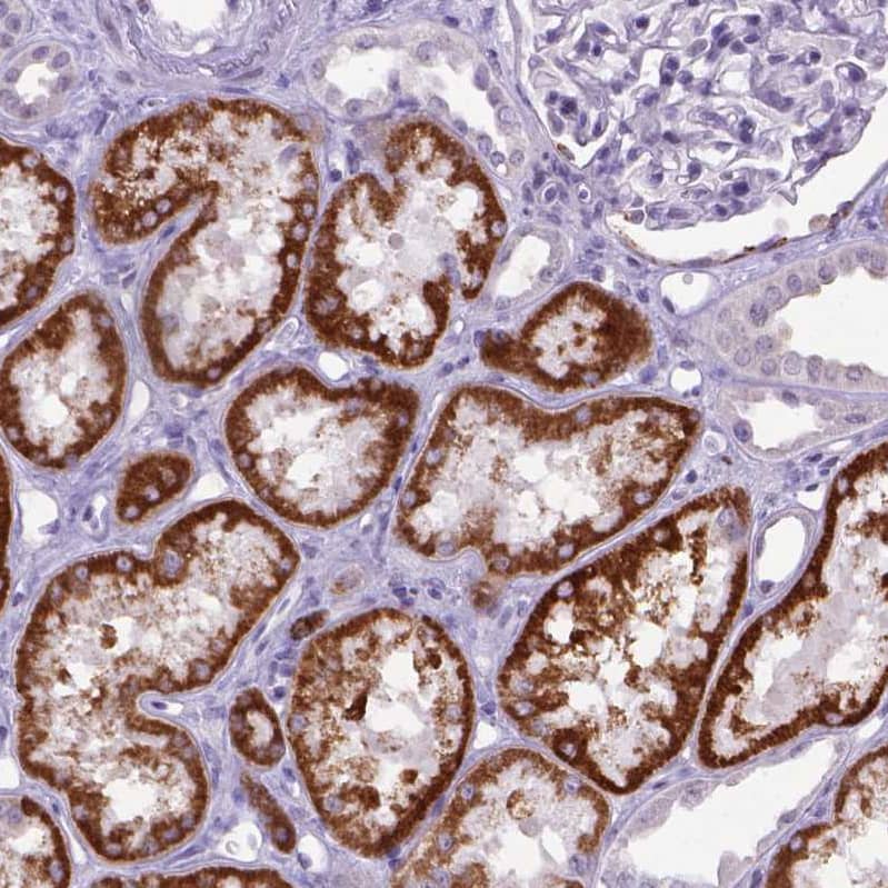
Kynurenine 3-Monooxygenase/KMO Antibody - BSA Free Immunohistochemistry-Paraffin: Kynurenine 3-Monooxygenase/KMO Antibody - BSA Free [NBP1-86335]

Immunohistochemistry-Paraffin: Kynurenine 3-Monooxygenase/KMO Antibody - BSA Free [NBP1-86335]

Analysis in human liver and testis tissues Corresponding KMO RNA-seq data are presented for the same tissues.

Applications for Kynurenine 3-Monooxygenase/KMO Antibody - BSA Free

Application
Recommended Usage

Immunohistochemistry

1:2500 - 1:5000

Immunohistochemistry-Paraffin

1:2500 - 1:5000
Application Notes
For IHC-Paraffin, HIER pH 6 retrieval is recommended.

Formulation, Preparation, and Storage

Purification

Affinity purified

Formulation

PBS (pH 7.2) and 40% Glycerol

Format

BSA Free

Preservative

0.02% Sodium Azide

Concentration

Concentrations vary lot to lot. See vial label for concentration. If unlisted please contact technical services.

Shipping

The product is shipped with polar packs. Upon receipt, store it immediately at the temperature recommended below.

Stability & Storage

Store at 4C short term. Aliquot and store at -20C long term. Avoid freeze-thaw cycles.

Background: Kynurenine 3-Monooxygenase/KMO

Kynurenine 3-monooxygenase (KMO; EC 1.14.13.9) is an NADPH-dependent flavin monooxygenase that catalyzes the hydroxylation of the L-tryptophan metabolite L-kynurenine to form L-3-hydroxykynurenine.[supplied by OMIM]

Alternate Names

KMO, Kynurenine 3Monooxygenase

Entrez Gene IDs

8564 (Human)

Gene Symbol

KMO

UniProt

Additional Kynurenine 3-Monooxygenase/KMO Products

Product Documents for Kynurenine 3-Monooxygenase/KMO Antibody - BSA Free

Certificate of Analysis

To download a Certificate of Analysis, please enter a lot number in the search box below.

Product Specific Notices for Kynurenine 3-Monooxygenase/KMO Antibody - BSA Free

This product is for research use only and is not approved for use in humans or in clinical diagnosis. Primary Antibodies are guaranteed for 1 year from date of receipt.

Loading...
Loading...
Loading...
Loading...